| 作者:苑可心
| 单位:河北省人民医院
➤ 患者:男,86岁,身高180cm,体重75kg。
➤ 主诉:主因间断喘憋、气短10余年,加重2天于2019-07-08 00:04入院。
➤ 现病史:患者10余年前无明显诱因开始出现喘憋、气短,伴咳嗽,咳痰,伴喘息,曾于我院呼吸内科住院治疗,给予抗感染、平喘等治疗好转后出院。2天前因着凉后上述症状加重,伴胸闷,伴意识模糊,无发热,无胸痛,无明显咳嗽、咳痰,就诊于当地医院查心电图示“快速房颤”,NT-proBNP“11992pg/ml”,血液分析“WBC10.68mmol/L”,生化示“酶学、肌酐”增高,考虑“心衰”,转我院。起病以来,精神可,进食如前,二便如前,体重未发生明显变化。
➤ 既往史:肺结核病史60余年;左下肢静脉曲张术后20余年,慢支病史10余年;前列腺增生病史7年,右下肢动脉闭塞术后1年等。
➤ 个人史:生于原籍,久居于河北藁城,无地方病或传染病流行区居住史,无毒物、粉尘及放射性物质接触史,吸烟史40年,已戒10年,无饮酒史。
➤ 家族史:否认家族遗传性疾病史、传染病史,父母已故,死因不详。

神清,未见颈静脉怒张,呼吸略急促,双肺呼吸音粗,双肺可闻及干湿啰音,心率125次/分,心律不齐,第一心音强弱不等,三尖瓣瓣膜听诊区可闻及舒张期杂音,未闻及心包摩擦音,腹部平软,肝脾未及,双下肢中度水肿。


入院:EF34% LA49 EDD60 RA42 RV45

治疗后:EF42% LA46 EDD61 RA 39 RV37

入院

治疗后
➤ 诊疗思路
心脏结构:入院 LVEF34%,EDD60mm,LA49mm
治疗原则:抗凝、扩冠、减轻心脏负荷,稳定内皮,抗感染,改善心功能、监测心率及节律、控制危险因素
➤ 专科评分
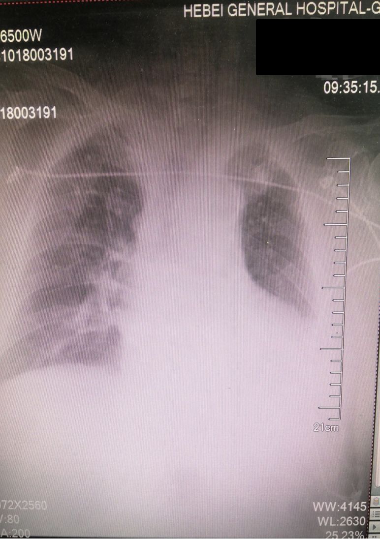
➤ 2019.07.08
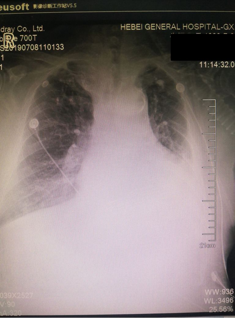
➤ 2019.7.11-15 病情好转 心衰症状明显缓解
➤ 2019.7.18 出院

2018中国心衰指南—— 诊断流程图
➤ 一般治疗
✦ 寻找并去除诱发因素
感染,心肌缺血,心动过速,贫血,肾功能损害,过量补液,药物等
✦ 调整生活方式
限水:轻中度心衰常规限液无益,血钠<130mmol/L,摄水<2L/d
休息和运动:失代偿期卧床,被动运动。稳定后康复训练
➤ 心衰治疗观念的变迁

2、改善心肌重塑
作用机制:强心—Ca2+增敏作用增强心肌收缩力,不增加心肌内Ca2+浓度
推荐剂量:0.05-0.2μg/kg/min,时间为6-24h。专家共识中肾小球率过滤的临界推荐值:GRF大于30ml/min/1.73m2有可能是一个安全阈值。
严重的肝、肾(肌酐清除率<30ml/min)功能损伤的患者
✦ 重组人脑利钠肽:
推荐剂量:负荷剂量:1.5-2.0μg/kg,3-5分钟缓慢、匀速推注;
维持剂量:0.0075-0.015μg/kg/min,一般3~7天。
✦ 沙库巴曲缬沙坦:
沙库巴曲 – 一种前体药物,进入体内后代谢成活性NEP抑制剂LBQ657
-
脑啡肽酶通过多种途径代谢Ang I和Ang II1,2
-
仅抑制脑啡肽酶是不够的,因为这会引起Ang II水平的升高,从而抵消脑啡肽酶抑制的潜在获益2
-
脑啡肽酶抑制必须伴随同步的RAAS阻滞(例如AT1受体拮抗剂)2
✦ 治疗重点:去除诱因(加强抗感染),改善心功能,抗凝、改善冠脉供血、稳定内皮功能。急性期给予重组人脑利钠肽持续泵入,抑制神经内分泌系统过度激活。出院口服沙库巴曲缬沙坦。