➤ 以“反复胸闷、气短4年,加重3天”之主诉入院。
➤ 4年前因突发胸痛,于外院诊断为急性前壁心梗,急诊冠脉造影(LAD 100%闭塞)及冠脉支架植入术。其后规律服药,但每遇劳累、感冒后反复因心衰加重入院治疗,查心动超声提示左室大,左室收缩功能减低,室壁瘤形成,于阜外医院评估心脏移植术。3天前劳累后感气短明显,伴夜间阵发性呼吸困难,双下肢肿胀,无粉红色泡沫痰、无黑矇、晕厥等。
➤ 查体:T 36.7℃,BP 100/60mmHg,P 67次/分,R 19次/分。平卧位,双肺呼吸音粗,肺底可闻及少量湿啰音。心界左下扩大,心尖搏动于左侧第5肋间锁骨中线外1cm处,律齐,心脏各瓣膜听诊区未闻及明显杂音,双下肢轻度凹陷性水肿,余无明显异常。
➤ 辅助检查:HBG 133 g/L,NT-proBNP 6888 pg/ml,肌酐 87 umol/L,血钾 4.06 mmol/L,白蛋白 42 g/L,余血常规、肝肾功、凝血功能、甲功等无明显异常。


LA 42 mm LV 66 mm LVEF 30%

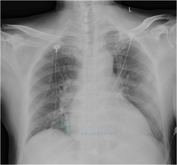
两肺纹理增重
心影增大

4.目前虽规律抗心衰药物治疗,但仍反复心衰加重入院治疗。
1.强化心衰药物治疗(利尿、扩管、抑制心室重构等),纠正肺部感染;

2.周期性左西孟旦泵入(0.1ug/kg/min for 24 hours every 4weeks)



➤ 左西孟旦是一种钙增敏剂,具有正性肌力、血管扩张和心肌保护作用,是目前临床上常用的正性肌力药物之一。
➤ 与心肌肌丝中钙传感器肌钙蛋白C分子的特异性相互作用有关。其活性代谢产物OR-1896具有持久作用,与药物的作用相似;半衰期约为1个小时,活性代谢产物的血浆峰值浓度在给药后2至3天,可以持续几天。
➤ 因心力衰竭加重,需要正性肌力药物支持住院时,左西孟旦比接受多巴酚丁胺治疗可能更好,尤其对β-受体阻滞剂靶剂量患者。

输液方案均未标准化:LION-HEART研究中使用的方案(每两周门诊输注0.2 μg/kg/min,持续6 h)和LAICA方案(0.1 μg/kg/min,持续24 h,每月重复输液)
Pellicori P, etal.Eur J Heart Fail. 2015;17:979–83.3.
García-GonzálezMJ, et al. Cardiovasc Drugs Ther.2013;27:573–9.

➤ 左西孟旦间断重复治疗可显著降低患者全因死亡或心衰相关住院风险(P=0.002)
➤ 对心衰住院的竞争风险回归分析显示,与安慰剂相比,左西孟旦与整个研究期间心衰住院风险显著降低具有相关性(HR 0.40,95% CI 0.199–0.822;P =0.012)
➤ 晚期心衰患者间断重复使用,可显著降低NT-proBNP水平,减少住院率,降低全因死亡或心衰住院风险,改善健康相关生活质量。
—— 短期缓解血流动力学,降低NT-proBNP水平及减少临床事件;
—— 心肌保护效应阻止了进一步血流动力学恶化,延缓疾病进展。
心内科,医学博士,主治医师,助理研究员,11年的心脏专科工作经验,9年的心脏电生理临床工作与研究经验,曾在阜外医院、英国帝国理工大学、新西兰奥克兰大学进修学习;主持国家自然科学基金1项;主持陕西省科技项目1项;主持西安交通大学基金1项;以第一作者发表SCI共计12篇(包括共同第一作者3篇);擅长心力衰竭药物及器械治疗,长期从事心脏起搏电生理临床及基础研究,房颤、室上速及室性心律失常的射频消融术、起搏器植入术等。
➤ 病例特点
从中国心衰患者注册登记研究(China-HF)的数据提示:我国心衰合并冠心病的比例是49.4%,该患者既往有明确的陈旧性前壁心肌梗死的病史,虽然急性期曾行PCI治疗,但是缺血坏死心肌范围大,后期反复查心脏超声提示:左室舒张末内径扩大,左室心尖部室壁瘤形成,LVEF30%,是一个典型的心梗后心衰的患者,具有一定的代表性,治疗上,给予了ARNI、袢利尿剂、醛固酮拮抗剂以及β受体阻滞剂等标准的心衰治疗药物后心衰仍反复发作,通过反复静脉给予左西孟旦后,患者心脏超声提示射血分数改善,NT-proBNP进行性下降。
➤ 有待讨论的问题
患者PCI四年了,心衰反复发作,患者是否存在冠脉病变进展的问题,是否复查过冠脉造影,治疗上如果加用硝酸酯类药物或者尼可地尔能否改善患者的胸闷,也可以考虑加用曲美他嗪这类改善心肌能量代谢的药物改善患者的运动耐量。
患者心脏超声提示肺动脉压增高,心衰本身容易导致肺动脉高压,同时这类患者活动量减少,也容易合并肺栓塞,建议完善下肢血管超声、血气分析,以排除此类情况。
该患者心脏超声提示室壁瘤形成,拟等待心脏移植,可能需要等待的时间比较长,可考虑行左室降落伞装置,减少左室容积改善心衰。
此外,建议完善心肺功能测定,制定相应的心脏康复方案,在药物治疗的同时协助患者改善运动耐量和生活质量。
医学博士,主任医师,硕士研究生导师,新疆维吾尔自治区人民医院心血管内科副主任,心衰中心医疗主任,中华医学会心血管病分会精准医学学组委员,新疆医学会心血管病分会青年委员。2006年毕业于新疆医科大学心血管内科博士研究生,研究方向心脏病的分子生物学,2005年至2006年期间曾在日本大学医学部先端医学研究所的分子医学实验室学习,参与国家自然科学基金项目多项,主持自治区自然科学基金两项,发表核心期刊论文十余篇,SCI论文一篇,在长期从事心血管内科的医疗、教学和科研过程中,积累了丰富的临床经验和扎实的理论基础。