
ACS合并急性心力衰竭的临床诊断



I 级: 无AHF
II 级: HR>100bpm 啰音<50%
III 级:急性肺水肿
IV 级:心源性休克
----急性肺水肿

严重呼吸困难、端坐呼吸、喘息不止、烦躁不安并有恐惧感,呼吸频率可达30~50次/min;频繁咳嗽并咯出大量粉红色泡沫样血痰;听诊心率快,心尖部常可闻及奔马律;两肺满布湿啰音和哮鸣音。
合并Ⅰ型或Ⅱ型呼吸衰竭
----低血压、休克
1. 持续低血压,收缩压降至90mmHg以下,或原有高血压的患者收缩压降幅≥60 mmHg,且持续30min以上
2. 组织低灌注状态:①皮肤湿冷、苍白和紫绀,出现紫色条纹;②心动过速>110次/min;③尿量显著减少(<20ml/h),甚至无尿;④意识障碍:烦躁不安、焦虑、恐惧和濒死感;收缩压低于70mmHg时,可出现神志恍惚、表情淡漠、反应迟钝,逐渐意识模糊甚至昏迷
3. 低氧血症和代谢性酸中毒
4. 血流动力学障碍:心脏指数(CI)≤2.1L·min-1·m-2。由左心衰引起者,肺毛细血管楔压≥18mmHg,由单纯右心衰引起者,肺毛细血管楔压<18mmHg
ACS合并急性心力衰竭的临床救治策略
病在冠脉,殃及心肌,表为心衰
依据心衰时的血流动力学特点选择治疗
尽早急诊PCI或溶栓治疗
针对冠脉病变的药物和非药物治疗
保护心肌,缓解缺血、减少心肌坏死
改善心功能状态和整体病情,改善预后




ACS合并急性心力衰竭的临床救治方法

轻度心力衰竭(Killip II级)时:
吗啡或杜冷丁
呋塞米20-40mg静脉缓慢注射
扩血管药物
无低血压、低血容量患者或明显肾衰患者24h内应用ACEI(I,A),不能耐受改为ARB(I,C)
尽早使用机械辅助通气(I,C)
吗啡或杜冷丁
呋塞米20-40mg静脉缓慢注射
扩血管药物
血压明显降低时,可静脉滴注多巴胺(5-15ug/kg/min)(II b,C)和多巴酚丁胺(IIa, B);如存在肾灌注不良时,可使用小剂量多巴胺(<3ug/kg/min )
氨茶碱:严重支气管痉挛
激素:严重支气管痉挛

呼吸机的使用和调整,72小时后拔除气管插管
心律失常的治疗:阵发性房颤(心室率130-150bpm):西地兰,艾司洛尔3-5mg/min
营养支持、控制血糖、保护肝功能等
预防应激性溃疡:质子泵抑制剂呼吸道感染的治疗:抗菌、化痰
抗血小板:阿司匹林100mg qd、替格瑞洛90mg Bid或氯吡格雷75mg qd
抗凝:低分子肝素 0.6ml H Q12h
硝酸异山梨酯10mg tid+单硝酸异山梨酯50mg Qn
阿托伐他汀:20mg Qn
根据病人心率及血压情况等,调整ACEI和β受体阻滞剂的用药情况
针对冠脉病变的非药物治疗——血运重建
1.急诊PCI:针对STEMI(出现缺血症状12小时内,发生心源性休克和严重心衰时)
2.择期PCI:出院前的无创运动试验有心肌缺血的中高危表现、自发性或轻微活动即诱发的心肌缺血者
3.急诊外科手术:
CABG:左主干或三支病变
CABG+室间隔修补:室间隔穿孔
4.择期外科手术:左主干或三支病变
CABG、或 +左室成形术、或+二尖瓣成形

1.血管活性药物:多巴胺、肾上腺素或去甲肾上腺素iv泵入
2.机械循环支持:IABP提高冠脉灌注压,保证心室舒张期冠脉灌注;降低主动脉内收缩压,减轻收缩期心脏负荷


荟萃分析:3088例缺血性心衰,平均EF32%,平均随访25月,35%血运重建,65%药物治疗。
有存活心肌者血运重建治疗死亡率下降79.6%, 无存活心肌者血运重建治疗死亡率无下降。
血运重建组,有存活心肌者较无存活心肌者死亡率低。
药物治疗组,有存活心肌者较无存活心肌者死亡率高。
J Am Coll Cardiol.2002;39:1151-8.
ACS合并急性心力衰竭的临床病例
患者周xx,女,64岁
主诉:间断胸闷、胸痛1月,再发加重3小时
➤ 现病史:患者1月前无明显诱因出现胸闷、胸痛,胸痛位于胸骨后,拳头大小范围,伴出汗,程度可忍受,不伴心悸、呼吸困难、恶心、呕吐、反酸,持续5分钟左右自行缓解。近来患者症状发作较前频繁,疼痛程度较前加重,伴心悸,持续十余分钟不等,五天前就诊于我院门诊,考虑“冠心病”,给予康忻、施慧达、百普乐、依姆多、尼可地尔等治疗,要求患者住院行冠脉造影,患者拒绝。昨日再次就诊于我院,行心电图提示:V1-V3导联ST段抬高,T波正负双向,下壁、侧壁导联ST-T改变。再次建议住院治疗,患者仍拒绝。
➤ 3小时前患者睡眠中突发胸闷、胸痛,伴大汗、气短、心悸,就诊于蔡甸人民医院,行肌钙蛋白0.369ng/mL。考虑“急性心肌梗死”,转我院行介入治疗
➤ 既往史:高血压病史1年,最高收缩压>180mmHg,服用药物不详;糖尿病病史10余年,采用优泌林治疗,血糖控制情况不详。否认肝炎、结核等病史,否认手术,否认吸烟、饮酒史
➤ 入院体检:
T36.4℃ Bp148/85mmHg P 71bpm R 18次/分。神清,全身皮肤巩膜无黄染,浅表淋巴结无肿大。颈部无静脉怒张,颈软,双肺听诊呼吸音清,双侧下肺可闻及少量湿性啰音。心率71次/分,律尚齐,心音稍低顿,心脏各瓣膜区未闻及明显杂音。腹部检查(-)
辅助检查:2017年11月27日同济医院心电图提示:V1-V3导联ST段抬高,T波正负双向,下壁、侧壁导联、ST-T改变。2017年11月28日蔡甸区人民医院肌钙蛋白0.369ng/mL。2017年11月28日同济心电图提示V1-V4导联ST段抬高
入院诊断:
1.冠心病
急性前壁ST段抬高型心肌梗死
心功能KillipII级
2.高血压病3级极高危组
3.2型糖尿病
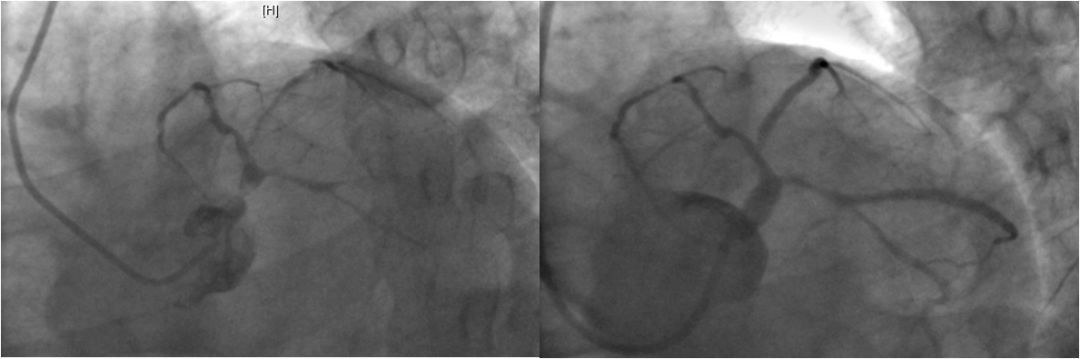
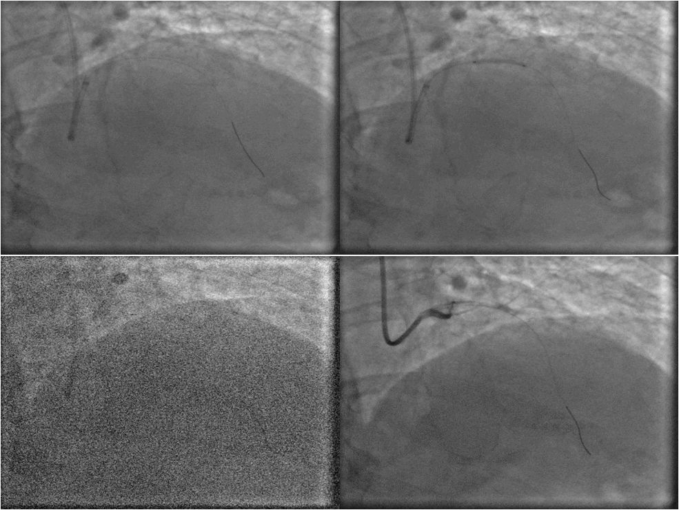
LM狭窄约50%,LAD近段完全闭塞,LCX中远段弥漫性病变,最重90%以上,RCA粗大,全程可见粥样硬化斑块。与家属沟通后拟对LAD行PCI术,EBU3.5/GC至左冠开口,Runthrough导引导丝通过LAD近段闭塞病变部位至远端,抽吸导管反复抽吸近段,再造影见远段显影,2.5*20mm球囊以8atm压力扩张病变部位,于病变部位植入3.0*21mm涂层支架一枚。术中顺利,冠脉内推注欣维宁10ml



术后患者呼吸急促,不能平卧。体检:双肺呼吸音粗,双侧中、下肺可闻及湿性啰音、哮鸣音。考虑患者急性左心功能不全
立即调整患者为半卧位、立即给予吗啡3mg静推、速尿20mg静推、硝酸甘油静脉泵入
地塞米松10mg静推
BiPAP呼吸机辅助通气,患者血氧饱和度可维持在99-100%,症状好转
总 结
ACS合并急性心衰病在冠脉,殃及心肌,表为心衰
急性肺水肿的治疗:氧疗、镇静剂、利尿、扩管剂、强心
心源性休克的治疗:IABP、ECOM、血管活性药、呼吸机
IABP的获益:改善心功能,保证冠脉灌注,稳定血流动力学
介入治疗:时机、风险,获益
抗血小板和抗凝治疗,β阻滞剂和硝酸酯的应用
心衰的诱因:感染、容量、紧张等
郭小梅教授
华中科技大学同济医学院附属同济医院
主任医师,教授,医学博士,美国国家健康卫生研究院心血管博士后,博士生导师,特需门诊专家;德国埃森大学心脏中心访问教授;介入心脏学专家、分子心脏病学家、卫生部&湖北省卫生厅医疗质控专家、国家健康教育专家;武汉市心血管学会委员、秘书;武汉市心血管中西医结合学会副主任委员;湖北省心血管学会委员、《临床心血管病杂志》、《医药导报》《医学新知》等5家杂志编委。
主持完成或在研国家自然科学基金5项、卫生部科研项目3项,教育部教学项目1项,湖北省科委攻关项目3项,武汉市100名跨世纪人才项目1项,并参与国家973项目1项,国家“十一五”科技重点项目“冠心病早期诊断和综合治疗技术体系”、“高血压病防治”5个子课题研究。获湖北省科技进步二等奖及卫生厅科技成果一等奖各1项。
主编卫生部医学视听教材2部《急性心肌梗死的诊断与治疗》、《急性心肌梗死的救治程序》;主编专著5部,参编专著6部,在国内外发表学术论文80余篇,其中2篇发表在国际著名期刊Nature Cell Biology(影响因子23分)和Circulation Research(影响因子9.8分)。