

在2019中国国际心力衰竭大会暨中国医师协会心力衰竭专业委员会第四届年会上,中国人民解放军总医院董蔚教授为我们分享了关于《心室致密化不全的诊断-ECHO vs CMR》的精彩报告,现将其精华内容整理如下。

✦ 2008年欧洲心脏病协会心肌病和心包病工作组(European Society of Cardiology Working Group onMyocardial and Pericardial Diseases)将LVNC归为“未分类”的心肌病


✦ 在心力衰竭(heartfailure, HF)的患者中,LVNC的患病率为3%-4%。
▶▷ 基因与非基因因素共同作用的结果

▶▷ 分型

▶▷ 临床表现

心力衰竭–25%
心脏检查异常–19%
心电图或胸片检查异常–16%
超声心动图筛查异常–14%(但所有患者在后续评估中经超声心动图诊断为LVNC)
心律失常–10%
胸痛–9%
晕厥–5%
心搏骤停–2%

✦ 心律失常 — 一项系统评价中,33%的患者发生了非持续性室性心动过速,5%的患者发生了持续性室性心动过速。研究记录到10%的患者有心房颤动。目前尚无有关LVNC运动员心脏性猝死(sudden cardiac death, SCD)风险的数据。有关SCD运动员的尸检研究未报道过LVNC。

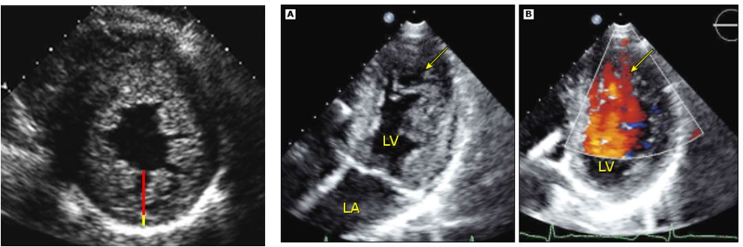
超声心动图可用于诊断LVNC,并可在随访中作为辅助检查。各中心已提出了下列关于LVNC的超声心动图标准:
左心室壁增厚,包括2层:一层较薄的致密化心外膜层和一层显著增厚的非致密化心内膜层,内层有数目众多的突出小梁形成和深陷的小梁间隐窝,并且胸骨旁短轴切面上收缩末期非致密化心肌与致密化心肌(non-compacted to compacted, NC:C)的最大比值大于2:1
彩色多普勒成像可见深陷的小梁间隐窝内血流的证据
左心室下壁和侧壁的心尖段或中段有明显的小梁网状组织

X与Y的比值小于等于0.5;X代表的是心外膜表面与小梁隐窝底部间的距离,Y代表的心外膜表面与小梁顶端间的距离。此诊准应用于剑突下或心尖四腔切面上舒张末期左心室心尖部的小梁。
在单个成像平面中,从心尖水平到乳头肌水平可以见到3条以上从左心室壁突出的肌小梁。
彩色多普勒成像可见小梁间隙来自心室腔的血液灌注
一项回顾性研究纳入199例转诊至心力衰竭诊所的收缩功能障碍患者和60例正常对照者,发现大多数上述超声心动图LVNC标准都缺乏特异性。这项研究中,24%的心脏收缩功能障碍患者和60例正常对照者中的5例(包含4例黑人)满足上述3组LVNC超声心动图标准中的1组或多组。
一项研究纳入了1146例运动员,发现8.1%的运动员符合LVNC标准,但在平均4年的随访期间并没有发生不良事件。因此,运动员中LVNC的诊断应谨慎。
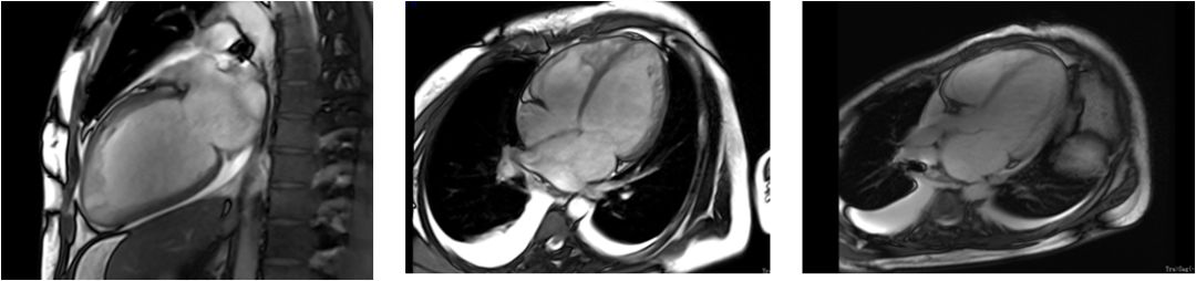
✦ 若根据超声心动图表现不能确定诊断,可使用CMR
✦ CMR可为左室所有节段提供良好的空间分辨率,包括心尖部和侧壁。
(2) 在舒张末期左心室长轴位, 非致密化心肌层厚度与致密化心肌层厚度之比>2.3。发现其诊断LVNC的敏感性为86%,特异性为99%。
✦ 一项研究纳入了16例LVNC患者、16例肥厚型心肌病和16例对照受试者,左心室小梁化质量占左心室总质量的比例大于20%被确定为LVNC的诊断标准。该度量标准的敏感性为94%,特异性为94%。
✦ 作为定量测定小梁化的方法,分形维数在LVNC患者中的值较高,且结果可能十分准确并具有可重复性。然而,健康黑人个体的左心室心尖1/3段的分形维数高于白人。
✦ 一项在16例LVNC患者中比较CMR和超声心动图的小型研究表明了这一点。在舒张末期CMR与超声心动图无差异。与CMR相比,超声心动图在收缩末期低估了心肌NC:C比值。
有研究在LNVC中观察到小梁LGE。在满足LVNC标准的患者中,LGE的分布可非常不均匀,这可能表明存在几种不同的心肌病进程导致了LVNC。








LVEF降低
LGE+与联合终点、心脏事件升高有关,建议LVNC患者应行CMR检查

▶▷ 2018年10月29日-31岁男性,心力衰竭入院







中国人民解放军总医院