

在2019中国国际心力衰竭大会暨中国医师协会心力衰竭专业委员会第四届年会上,兰州大学第一医院姚亚丽教授为我们分享了关于《限制性心肌病的诊断要点》的精彩报告,现将其精华内容整理如下。

限制性心肌病(RCM)是一种以心肌僵硬度升高导致心室舒张功能严重受损为特征的心肌病;由心内膜心肌和(或) 心肌病变导致心室充盈受限和心室舒张功能障碍,引起心室舒张末压增高和心房扩大, 而心室大小、室壁厚度和心室收缩功能大致正常的一类心肌病


特发性限制性心肌病
◈ 目前被识别的致病基因:
淀粉样变
◈ 分为四型

▪ 充血和心室舒张压增高,体循环、肺循环淤血
▪ 血流动力学和临床表现与缩窄性心包炎的极其相似
▪ 还可表现为室内传导延迟、心脏传导阻滞、房颤,或表现为骨骼肌疾病
◈ 形态学改变与肥厚型心肌病相互重叠


◈ 心内膜增厚,回声增强

◈ ASE/EACVI推荐超声心动图评价舒张功能标准:

A图:二维超声左室长轴显示左室壁肥厚和心包积液 RA,右心房;RV,右心室;LV,左心室;LA,左心房;AO,主动脉;
B图:心尖四腔示左房及右房明显扩大,左房容积120ml,LA容积指数 =120ml/1.75m2=68.57 mL/m2

A图:二尖瓣口血流频谱显示为限制充盈异常,高E峰,小A峰,E/A比值>2
B图:二尖瓣组织多普勒(TDI)显示左室E’=3cm/s,E/E’=25.63(正常人E’>8cm/s)

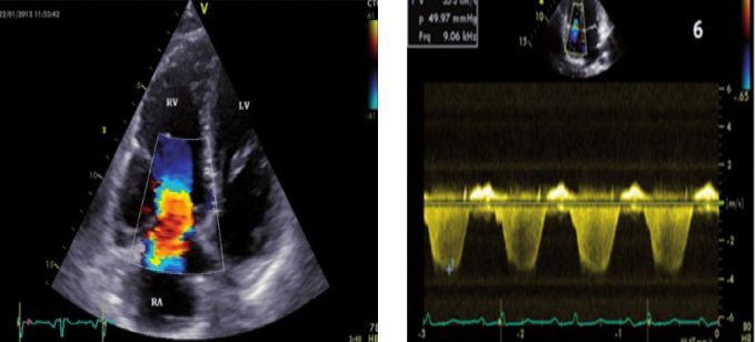
三尖瓣大量返流及三尖瓣反流速度(3.5m/s,压差49mmHg)
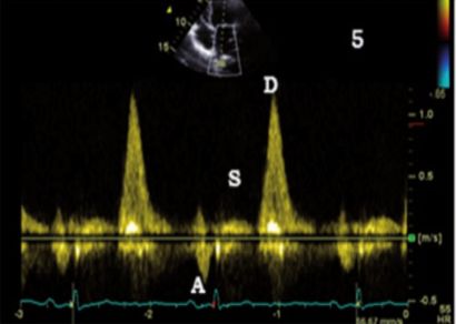
肺静脉血流频谱改变


(C)斑点追踪技术是一种无创、可靠、定量的心肌运动评估方法,可发现各种病理状况下早期的心功能障碍。
RCM的晚期表现为
◈ 二尖瓣内流E/A比值>2.5
◈ E速度DT<150 ms (二尖瓣E峰减速时间)
◈ IVRT<50 ms (等容舒张期正常>60ms)
◈ E’速度下降(3-4cm/s),E/e比值>14
◈ LA容积指数(>50 ml/m2)明显增加

准确测量心脏体积,心室腔大小,室壁厚度

◈ 心功能评估


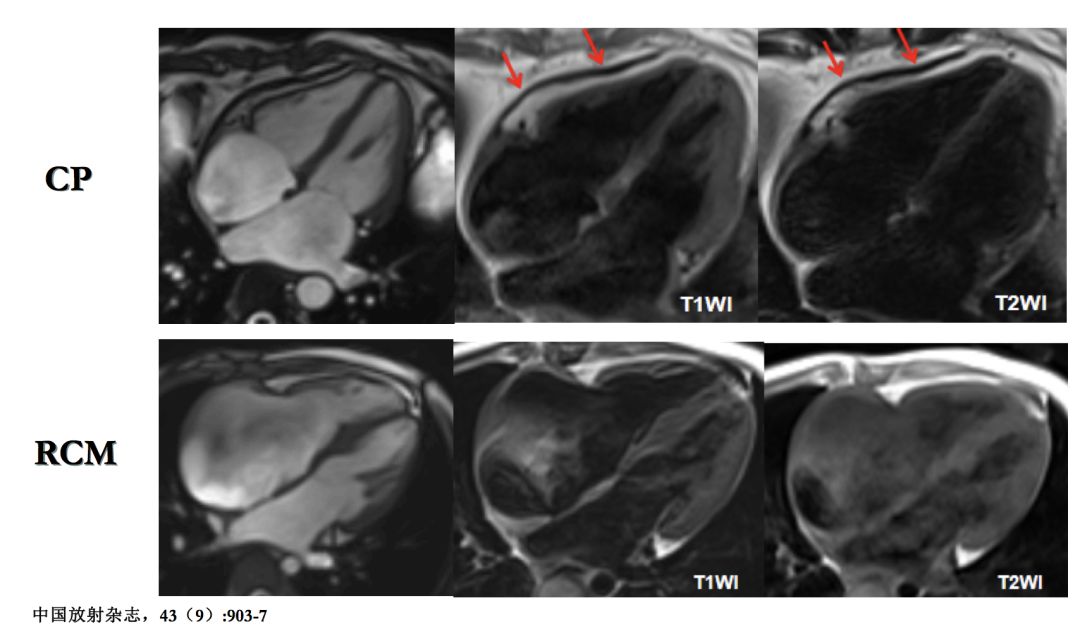
不同的LGE表现可鉴别RCM的类型



◈心导管能够检测心室或心房收缩压和舒张压的变化及呼吸对压力的影响,提供诊断和鉴别诊断的依据
◈两个心室之间舒张末压相差大于5mmHg
◈肺动脉收缩压常大于50mmHg
◈呼吸时左室和右室收缩峰压水平变化一致
◈右心导管同时可以进行心内膜心肌活检,是诊断一些特殊的继发性心肌病的金标准



限制型心肌病诊断流程图

ASE-EACVI推荐RCM与CP的鉴别


◈ RCM是舒张型心力衰竭的集中体现,RCM的血流动力学和临床表现与CP极为相似
◈ RCM可以表现为室内传导延迟、心脏传导阻滞、房颤或表现为其他系统疾病使诊断困难
◈ RCM诊断标准未被普遍接受,且若干形态学表现与HCM相互重叠
◈ 超声表现无特异性,主要依赖舒张功能异常指标,全面的超声多普勒评估已成为重要的非损伤性方法
◈ MRI“一站式”扫描特点是诊断RCM及病因较理想的检查方法
◈ 漂浮导管及BNP有助于RCM和CP的鉴别 心肌活检及实验室检查可诊断特定类型RCM
◈ 多种征象+病史+随诊,综合分析判断
兰州大学第一医院
兰州大学第一医院心脏中心二病区主任,主任医师、教授、硕士生导师。中国医师协会心力衰竭专业委员会委员,甘肃省中西医结合心血管学会副主委;中国心血管病杂志编委。从事心血管内科诊疗工作近三十年,积累了丰富的临床经验。在心血管疾病领域有较深造诣,擅长心力衰竭、心律失常、冠心病的诊治及心律失常的介入治疗。发表学术论文40篇,其中SCI论文6篇。培养硕士研究生30名。擅长心力衰竭的诊疗及心律失常心电生理射频与起搏治疗。