










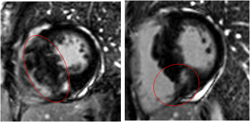
Liwen术式病例介绍



T波: Ⅰ Ⅱ ⅢaVF V3-V6 倒置

(2)24小时心电图 无非持续性室速
室性早搏1次





(数据来源于西京医院HCM中心)

















|作者:李静 刘丽文
|单位:空军(第四)军医大学西京医院