
容量内稳态(Fluid Homeostasis)很重要
● 不咸不淡
● 不酸不碱:

心衰是体液潴留的主要原因
● 特发性

心衰晚期更多水份在细胞内

心源性水肿定义
● 可以呈现全身性或局限性的水肿
心源性水肿的特点
● 右心衰竭时:体循环淤血,可以出现颈静脉充盈,肝颈反流症,肝大,腹胀,胸腔积液,腹水等
心源性水肿的病因
● 其他
心衰的病因

心源性水肿的发生机制
● 钠水储留
◆ 钠水潴留

➤ 心衰时体液负荷增加机制

➤ 液体潴留钠起主导作用

➤ 心衰既有钠潴留也有水潴留

◆ 其他因素
1.血浆胶体渗透压下降,低蛋白血症,组织液生成增多
充血:从血液动力学至症状性

容量超负荷临床评估方法


1. 详细采集临床症状


心衰患者需要完善的检查

诊断流程:有利于早期诊断心衰

生物学标志物
● BNP或NT-proBNP
急性心衰的排除标准:BNP100 pg/ml、NT-proBNP300pg/ml
慢性心衰的排除标准:BNP35 pg/ml、 NT-proBNP125pg/ml
出院前利钠肽水平测定有助于评估出院后结局(I,B)
急性心衰辅助检查——BNP和NT-proBNP
● 诊断和鉴别诊断(Ⅰ,A) :
50岁以下,NT-proBNP>450pg/ml
50岁以上;NT-proBNP >900pg/ml
75岁以上, NT-proBNP >1800pg/ml
肾功能不全, NT-proBNP > 1200pg/ml
● 经住院治疗后利钠肽水平无下降者预后差
血浆利钠肽影响因素

体液潴留导致多个器官功能损害

全身性水肿的鉴别诊断(1)

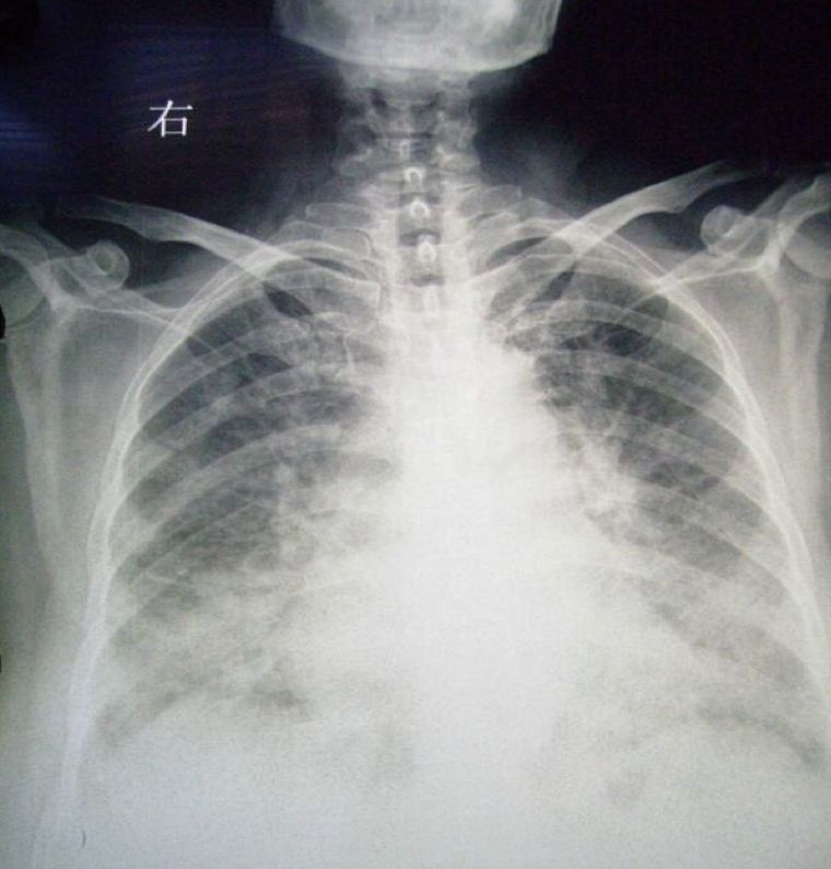
➤ 急性肺水肿




➤ 心源性水肿与肾源性水肿的区别



全身性水肿的鉴别诊断(2)

局限性水肿的鉴别诊断
● 变态反应性水肿:血管神经性水肿、激素性皮炎等
心衰时体液潴留的治疗目标
● 能快速消除器官淤血
● 不刺激神经内分泌

容量管理的措施

其他药物治疗


2018中国心衰诊断与治疗指南—急性心衰治疗流程

慢性HFrEF患者的治疗流程(2018)

急性右心衰处理流程


沈璐华教授
首都医科大学附属北京友谊医院