
• 病例特点:38周足月新生儿,BW 3690g,宫内超声提示胎儿心包积液
• 查体:双肺少许湿罗音,心率140-160次/分,肝肋下2cm、全身轻水肿
— 感染指标:血WBC14.2×109/L、CRP17mg/L、PCT正常
— 病原体:细小病毒B19 IgG>46Index(0-0.9)
• 超声心动图:LVED 16mm,EF 79%,右心比例增大
• 病例特点:女性幼儿,咳嗽1周就诊时发现心脏扩大,发病后有活动后大汗
— 感染指标:血WBC11.26×109/L、CRP正常
— 病原体:MP-IgM +、MP-IgG 1:320、流感病毒B+、细小病毒B19 IgG 3.7Index
— 心肌标志物:cTnI 0.25ng/ml(0-0.04)
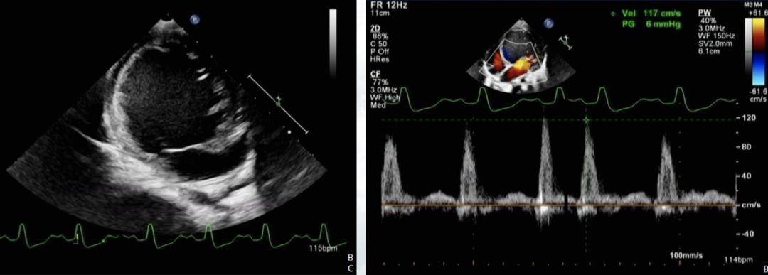
— 左室舒末内径:50mm,收末内径:43mm,EF 15%,E峰95cm/s,A峰 26cm/s
— 左室壁运动弥漫性减低,左室收缩功能减低,左心增大
• 病例特点:学龄期男童,以发热、乏力、不能平卧为主要表现
• 查体:双肺可闻及小水泡音,心音低钝、律齐,肝肋下3cm
— 感染指标:CRP 90mg/L↑,PCT 0.5ng/ml↑
— 左房:50×43×65mm,右房:44×54mm,室间隔厚度:7mm,运动幅度9mm,左室舒末径:42mm,收末内径25mm,EF 75%,E峰:47cm/s,A峰:31cm/s
➤ 上述3个病例的特点
• 年龄:新生儿、幼儿、学龄期儿童
• 起病:病程短、起病急
• 心脏形态:心脏明显扩大
• 心脏功能:Case1、3 EF值正常;Case 2 EF值明显降低;BNP显著升高
心力衰竭(heart failure,HF)是多种原因导致心脏结构和/或功能的异常改变,使心室收缩和/或舒张功能发生障碍,从而引起的一组复杂临床综合征。



• 婴儿–最常见的症状是喂养时呼吸过速和出汗、易疲劳、易激惹性、喂养量减少及体重不增
• 幼儿–不典型、可能被误认为是常见的儿童期疾病,包括胃肠道症状(腹痛、恶心、呕吐及食欲不振)、生长迟滞、易疲劳及反复或慢性咳嗽伴喘鸣、甚至是行为问题
• 儿童-可能出现运动不耐受、厌食、腹痛、喘鸣、呼吸困难、水肿、心悸、胸痛或晕厥
取决于心输出量的减少及容量负荷过度(肺和/或全身静脉淤血征象)的程度
• 心输出量减少:心率增快;外周灌注不良:皮肤发花、CRT延长、脉搏减少、BP下降
• 肺循环淤血:呼吸状态改变;呼吸增快;小婴儿:鼻扇、三凹征;儿童:肺部湿啰音
• 体循环淤血:肝大;颈静脉充盈/怒张(婴幼儿少见),外周性水肿
• 其他:提示病因;心脏杂音
采用实验室检查和非侵入性影像检查确定HF的严重程度、明确潜在的病因,或在某些情况下证实诊断。
• 心电图
• 超声心动图
• 血液检查
• 确定心肌病病因的检查包括甲状腺功能、肉碱水平、代谢筛查等
• 病原学检查:明确心肌病和心肌炎感染性原因,包括EB病毒、巨细胞病毒、细小病毒B19、腺病毒、柯萨奇A和B病毒、人疱疹病毒6型、肺炎支原体等
• 心脏磁共振(cardiac magnetic resonance imaging,CMR):明确心脏结构、功能、心肌组织的特征
➤ 本病例3例患儿在初始评估后均行CMR检查
✦ Case 1

CMR:右心房、室增大,左心房前后经13.7mm,右心房前后径16.5mm,右心室舒张末期内径约18.3mm,EF 58%。右心室及间隔壁可见室壁增厚,间隔壁可见摆动。

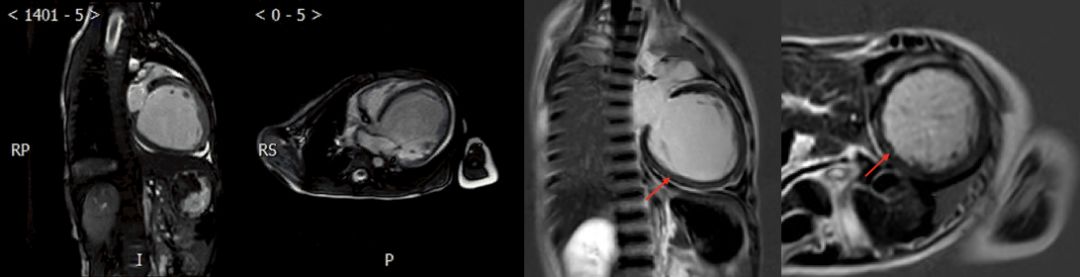
CMR:左心室增大,左心室舒张末期内径59.4mm,EF 13.3%
电影MRI:左心室室壁运动减低,收缩功能下降。心包内见少量液性信号影。
心肌延迟强化成像:中央段-心尖段下壁及前壁可见心肌中层线样高信号影
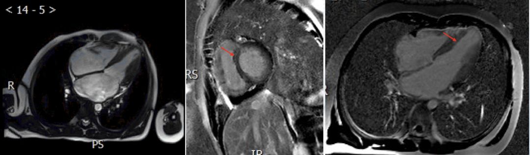
✦ Case 3

CMR:左心房前后径约50mm,右心房前后径约42cm,左心室舒张末期内径约43mm,右心室舒张末期内径约35mm,EF 71%
电影MRI:右心室外侧壁形态不规则。左心室及右心室室壁运动减低,舒张功能下降;心包略增厚,心包腔见液性信号影
✦ 临床诊断依据
①安静时心率增快,婴儿>180次/分,幼儿>160次/分,不能用发热或缺氧揭示
②呼吸困难,青紫突然加重,安静时呼吸>60次/分以上
③肝肿大,达肋下3cm以上,或短期内较前增大,不能以横膈下移等原因解释
④心音明显低钝,或出现奔马律
⑤突然烦躁不安,面色苍白或发灰,不能用原有疾病解释
⑥尿少、下肢水肿,除外营养不良、肾炎、维生素B1缺乏等原因
✦ 其他检查
前4项为临床诊断的主要依据,可结合其他几项以及下列1-2项检查综合分析
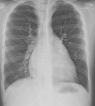
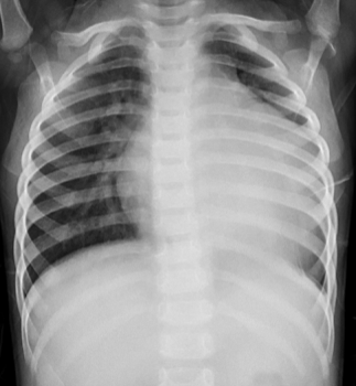
①胸部X线:心影多呈普遍性扩大,肺纹理增多,肺门或肺门附近阴影增加,肺部淤血
②心电图:心律、QRS形态,有助于病因诊断及指导洋地黄的应用
③超声心动图:可见心室及心房腔扩大,心室收缩时间延长,心脏舒张功能不全,射血分数降低
✦ 治疗目标:
• 缓解症状
• 减少并发症(包括住院风险)
• 延缓病情进展
• 改善生存和生活质量
✦ 儿科HF治疗中的特点,一般治疗
镇静:新生儿及婴幼儿,哭闹、烦躁明显时
吸氧
护理:注意轻拿轻放,避免突然纵膈摆动
营养支持:大约1/4的心肌病患儿会在病程中出现生长障碍,注意能量与液量平衡
活动:参加日常活动、避免剧烈运动
• 先天性心脏病-采用手术或心导管来纠正先天缺陷前,通过内科治疗来稳定病情或缓解症状
肺动脉闭锁、大动脉转位等易在出生后早期(7天内)出现心力衰竭,应尽早手术
• 特殊体位

• 心室收缩功能障碍的患者或进行手术或经导管干预措施前需要稳定病情的患者,根据HF分期给予治疗


✦ 根据分期调整药物治疗
• 利尿剂 — 促进尿钠排泄而降低前负荷,缓解肺水肿及外周性水肿等症状。用于治疗C期或D期HF儿童
• ACEI — B期和C期HF儿童的一线治疗可采用ACEI,用药期间应密切监测血压和肾功能,尤其是新生儿 。可抑制血管紧张素Ⅱ(angiotensin Ⅱ,Ang Ⅱ )生成, Ang Ⅱ是一种强效的血管收缩剂,其也能促进心肌细胞肥大、纤维化和醛固酮分泌,首先是降低后负荷,提高心输出量,长期使用时可介导逆转左室重塑
• 地高辛 — 不推荐无症状的心室功能障碍儿童使用地高辛;常用于治疗C期HF婴儿和儿童,特别是利尿剂和ACEI等其他药物治疗后症状仍持续者
• β受体阻滞剂 — 通常会在已确定的利尿剂、地高辛和ACEI治疗方案基础上加用β受体阻滞剂治疗,也可能在B期HF的单纯ACEI或ARB治疗基础上加用这类药物。β受体阻滞剂用于以下患儿:经其他HF药物治疗病情稳定、具有收缩功能障碍的C期HF,且为左室体循环(相对于某些右心室体循环的先天性心脏缺陷)。失代偿性HF患者应停用β受体阻滞剂。儿童HF的常用β受体阻滞剂包括卡维地洛和美托洛尔,频繁心室异位起搏的患者可能首选美托洛尔
✦ 晚期HF的药物治疗 — 静脉用利尿剂和正性肌力药一般用于D期HF住院患者
• 儿茶酚胺类 — 儿茶酚胺类药物的拟交感神经刺激可改善心肌收缩性,可能对外周血管床也有益处。多巴胺是失代偿性心力衰竭优选的药物,通常联合静脉用米力农。多巴酚丁胺有进一步降低后负荷的作用。低剂量肾上腺素用于难治性低血压和/或终末器官灌注不良时
✦ 晚期HF的非药物性干预 — 药物治疗效果不佳的部分晚期HF(D期)患者可采用下述干预:
➤ 治疗方案及预后
✦ Case 1,新生儿,急性心力衰竭,心肌炎,细小病毒感染
一般治疗:镇静(水合氯醛×2d)、吸氧
心脏治疗
— 减轻心脏负荷:呋塞米 0.5-1mg/kg iv;出入量维持负平衡,每日负100-200ml
— 扩血管:未应用
— 改善微循环:5%NaHCO3 1-2ml/kg,必要时可予小剂量肝素治疗
— 减轻心肌耗氧量:未应用
— 正性肌力药:未应用
• 原发病治疗:抗感染、能量支持
• 其他支持治疗
— 地塞米松:0.1-0.3mg/kg×5d(减少渗出)
— IVIG:400mg/kg×5d(中和病毒)

6个月复查CMR

入院时CMR可见右室明显增厚,经积极治疗,6个月复查右室心肌厚度基本恢复正常

✦ Case 2,幼儿,扩张型心肌病?HF、支原体感染、细小病毒B19感染、流感病毒B感染
— 减轻心脏负荷:① 呋塞米 2mg/kg bid;② 氢氯噻嗪 2mg/kg bid;③螺内酯 2mg/kg bid ;④液量负平衡:每日负100-300ml
— 改善微循环:5%NaHCO3 1-2ml/kg
— 正性肌力药:地高辛 0.5ml(25ug) qd
✦ Case 3,学龄儿童,急性心力衰竭、暴发性心肌炎
— 减轻心脏负荷:① 呋塞米 2mg/kg bid;② 氢氯噻嗪 2mg/kg bid;③螺内酯 2mg/kg bid ;④液量负平衡:每日负1000-1500ml
— 改善微循环:5%NaHCO3 1-2ml/kg
• 病程1年,期间3次因感染加重住院

复查CMR

• 儿童HF病因多由感染诱发,新生儿期常见的病因为先天性心脏病,婴幼儿及儿童期HF多为感染诱发的心肌炎、心肌病等
• 儿童HF治疗重点:减轻心脏负荷,维持液量负平衡
• 感染是儿童HF最主要的诱因,应积极治疗并预防感染
• 恢复期护理重点:轻拿轻放,避免出现突然纵膈摆动
• CMR检查能够清晰显示心肌的情况并帮助医生判断预后,建议生命体征稳定的HF患儿行CMR检查,并定期随诊
刘桂英教授
首都医科大学附属北京安贞医院
北京安贞医院儿科主任、教研室主任、首都医科大学硕士研究生导师。一直工作在儿科医疗、教学、科研的第一线。曾获2004年长春市科学技术进步奖二等奖,获2005年吉林省科学进步一等奖。承担并完成吉林省科委课题2项、横项联合课题2项、北京市科委课题1项、首医教改课题1项。曾多次承担研究生、七年制、医疗系、儿科系的教学任务,多次参与儿科系、医疗系教学大纲的修订与编写工作。在核心杂志发表科研论文30余篇,教学论文2篇。参编教材1部。作为硕士研究生导师,指导硕士研究生9名,已毕业8人。现承担北京市科委项目2项,国家科技部项目2项。北京市自然科学基金项目评审专家,北京市科学技术奖励评审专家,国家发展和改革委员会药品价格评审中心专家,国家科技奖励评审专家,北京市儿科专业质量控制与改进中心专家委员会专家。