

性别:男性
年龄:47岁
主诉:发作性胸闷6年余,加重半年余

高脂血症6年
左肾结石取石术后
否认高血压、糖尿病病史
否认吸烟、饮酒史
无心脏病家族史
血常规:HB 120.00g/L↓, HCT 0.380L/L↓,余正常
甲状腺功能:正常
生化全套:ALP 134IU/L↑, GGT 314IU/L↑,
TB 16μmol/L↑, DB 5μmol/L↑,
URIC 543.64umol/L↑,
心肌酶正常
尿微量白蛋白 97.79mg/L↑
尿常规 蛋白— 潜血2+ 余正常
TNI (—)
BNP 1020pg/ml ↑
NT-ProBNP 4781pg/ml ↑
血气分析 大致正常

窦性心律,完全性右束支传导阻滞,房型早搏,HR80次/min

两肺纹理大致正常,未见实变; 主动脉结不宽; 肺动脉段平直; 左室圆隆; 心胸比:0.51

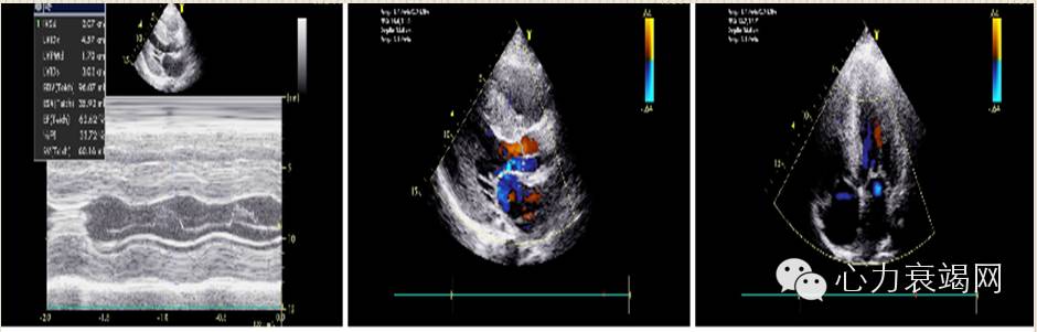
心脏超声:左房轻度增大,余房室内径正常范围。室间隔与左室壁各阶段普遍均匀性增厚,室壁回声粗糙,呈斑点样改变,心肌纹理排列紊乱。室间隔及左室壁运动幅度及收缩期增厚率尚可。左室流出道未见狭窄。二尖瓣未见SAM现象,各瓣膜形态、结构及活动未见明显异常。心包腔未见异常。 多普勒检查:左室流出道血流速度正常,无明显压差。 二尖瓣口探及微量返流。
超声诊断:左房轻大,左室壁均匀肥厚,考虑非梗阻性肥厚型心肌病(对称性),左室舒张功能减低,左室收缩功能基本正常

心肌活力评价:左室各节段血流灌注/代谢均大致正常,未见透壁性心肌梗死改变
窦性心律
频发交界区早搏,室性早搏
室内传导阻滞
平均心率73次/分,最慢心率58次/分,最快心率104次/分,

可能引起心肌肥厚、舒张功能不全病因:
I. 高血压性心脏病
II. 肥厚型心肌病
III. 限制型心肌病
A. 浸润性心肌病
1. 淀粉样变性
2. Gaucher病-脑苷脂类浸润
3. Hurler病-粘多糖沉积
4. 脂肪浸润
B. 贮积性疾病
1. 血色病-铁沉积
2. Fabry病-细胞内鞘糖脂累积
3. 糖原累积症

左室压力超负荷引起左室壁增厚而没有心脏容积的相应扩大,即向心性肥厚。心衰可表现为舒张功能不全,但基本条件是有高血压病病史。本例患者无高血压病史,并且高血压心肌肥厚心脏超声肥厚的心肌为均匀的低回声。对称性多见。

肥厚型心肌病是室间隔和心室壁肥厚、心室腔变小,心室充盈受阻,舒张期顺应性下降为基本特点的心肌病,病因尚不清楚。

以基底部室间隔肥厚为主伴有流出道梗阻者,称之为肥厚梗阻型心肌病(Hypertrophic Obstruc tive Cardiomyopathy,HOCM);而大部分患者心肌为对称性或非对称性肥厚,不伴有流出道梗阻,称为肥厚非梗阻型心肌病(Hypertrophic Nonobstructive Cardic myopathy,HNCM);以心尖心肌肥厚为主者称之为心尖肥厚型心肌病。分型目前临床有不同的分型方法。
1﹒按肥厚型心肌病分为左室肥厚型和右室肥厚型。左室肥厚型常见,其主要分为:
(1)非对称性左室肥厚
a)室间隔肥厚为主型:①左室流出道梗阻型。②左室流出道非梗阻型。
b)左室中部肥厚为主型。
c)心尖部肥厚为主型。
d)后部室间隔和侧壁肥厚型。
(2)对称性左室肥厚:又称向心性肥厚。
肥厚型心肌病-临床特点:
起病多缓慢
约1/3有家族史
症状大多出现于30岁~40岁
男性较女性发病率略高
临床表现多样,绝大多数症状轻或无症状,症状不一定与心肌肥厚的程度平行。
如,劳力型呼吸困难、胸痛、乏力、头晕与昏厥、心悸、猝死。
通常都有收缩期杂音,但心尖及对称性肥厚型心肌病的病人可没有杂音

限制型心肌病-临床特点:
发病率相对低、诊断困难
主要症状体征(无特异性):呼吸困难、心悸、乏力、颈静脉怒张、胸腹水、水肿
超声心动图:常见双心房明显扩大,心室壁厚度正常或增厚,收缩功能一般无异常
心脏核磁有特异性
某些类型可合并免疫疾病或血液恶性肿瘤(如淀粉样变)

左右房内径扩大,左室壁普遍增厚(室间隔中段24mm,侧壁15-18mm),左室整体收缩功能大致正常,舒张欠佳。心肌灌注延迟扫描示左室大部弥漫性强化,以心内膜下强化为著,室间隔可见“轨道征”; 右室游离壁亦见多发斑片状强化
心脏MRI示双室心肌病变,符合限制型心肌病改变(包括心脏淀粉样变性)

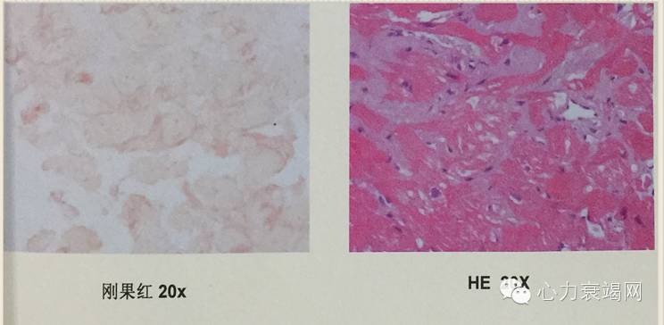
刚果红染色(+)心肌淀粉样变性
1.心脏淀粉样变性
a)心脏扩大
b)心律失常
完全性右束支传导阻滞
室性期前收缩
室内传导阻滞
c)心力衰竭
心功能III级
2.冠状动脉粥样硬化性心脏病
PTCA+支架植入术后
3.高脂血症
4.肾结石(已纠正)
淀粉样物质在心脏中沉积、浸润,多种蛋白质形成独特的铰链状β褶形片层纤维沉着
男性多于女性
在30岁以前很少见到
淀粉样变性是一大类疾病,通过不同的发病机制,由多种蛋白质形成独特的铰链状β褶形片层纤维沉着所致。淀粉样蛋白几乎可见于任何器官,但一般不会发生广泛的浸润,不会产生明显的疾病表现。

心脏淀粉样变性-临床表现
心脏淀粉样变性性临床少见,预后不良,其临床表现如下:
1﹒类限制性心肌病
患者可出现颈静脉怒张、肝肿大、下肢水肿,且呈进行性加重。
2﹒低血压
心脏淀粉样变性是高血压“自愈”的原因。10%的患者可出现体位性低血压,这可能由于病变侵犯血管、自主神经及肾上腺所致。
3﹒心律失常
室上性心律失常和房室传导阻滞常见,少数患者表现为猝死。
4﹒心外淀粉样变性的表现
舌体增大,吞咽和发音困难。胃肠道功能障碍,腹泻,出血,偶可引起肠梗阻。如病变侵犯肾脏,可有肾病综合征表现。部分患者可出现紫癜、浅表淋巴结肿大、肝脾肿大及腕管综合征等。
心脏淀粉样变性-辅助检查
1﹒心电图
3/4的患者出现低电压,部分可出现类似陈旧性心肌梗死样图形及各种心律失常。心律失常很常见,特别是心房颤动约占20%,50%有室性心律失常,后者可能是猝死的预兆。1/3的患者有各种传导阻滞,房室传导阻滞在家族性淀粉样变性尤为普遍,窦房结受累也很常见,可表现为病态窦房结综合征。
2﹒胸部X线
心脏增大,搏动减弱。
3﹒超声心动图
超声心动图表现室壁增厚,心室腔变小,心房扩大以及左室功能不全征象。心包积液也很常见,但很罕见引起心包压塞。部分患者在增厚的心壁内可见闪烁的颗粒状结构,可能是因为含有淀粉和胶原体所致。
4﹒心脏CT
弥漫性心室壁肥厚伴低密度心肌显像,提示心脏淀粉样变性性。
5﹒组织病理检查
20世纪60年代以前,系统性淀粉样变性死前能明确诊断者不多,近年对此病已有长足认识,利用活检技术对大多数病例能够作出明确诊断。直肠活检、舌肌活检是最简单而有用的诊断措施,特异性和敏感性均很高,而且又安全。齿槽、骨髓、肝、肾和其他组织也可用于活检。右心或左心心内膜心肌活检在确立该诊断也是十分有帮助的。组织用苏木精染色可鉴别淀粉样沉积,刚果红或结晶紫罗兰染色可进一步证实。
心室腔不大但呈进行性难治性心力衰竭
左室肥厚伴心电图低电压
左室壁均匀肥厚
既往有高血压伴进行性低血压
舌体宽大肥厚
确诊需要通过心内膜心肌活检和组织化学染色诊断
对于心脏淀粉样变性性合并慢性充血性心力衰竭的治疗,一般不宜用洋地黄,因为心脏淀粉样变性性对洋地黄特别敏感,易导致心律失常。这可能与洋地黄在心肌里对淀粉样纤维选择性结合有关。同样,钙通道阻滞剂如硝苯地平也易与淀粉样纤维结合,它可因负性肌力作用而使充血性心力衰竭恶化。心力衰竭患者可用利尿剂、ACEI、β受体阻滞剂和血管扩张剂治疗。对于有症状的传导异常,置入永久起搏器是有益的。心脏移植对原发性淀粉样变视为禁忌,因在同种异体移植心脏可发生早期淀粉样物质沉积而复发
原发性淀粉样变性
预后差
不经治疗中位生存期13个月,10年生存率5%
出现充血性心力衰竭后中位生存期6个月
老年性淀粉样变
预后较其他类好
出现心力衰竭后中位生存期5年
家族性淀粉样变性
肝脏移植可以改善终末器官衰竭
继发性淀粉样变
预后不佳
有赖于对原发疾病的控制
辅助检查-免疫相关检查
抗可溶性核抗原(ENA) 抗体(—)
抗核抗体谱(—)
ANKA(—)
血浆蛋白电泳(—)正常
血免疫固定电泳(IgA+G+M)(—)
尿免疫固定电泳(—)
托拉塞米片
氯化钾缓释片
培哚普利片
琥珀酸美托洛尔缓释片
硫酸氢氯吡格雷片
单硝酸异山梨酯片
瑞舒伐他汀钙片
血液科
骨髓穿刺+活检
怀疑浆细胞病
地塞米松+万科+环磷酰胺 35dx4
随访
NTproBNP 3500pg/ml(1周前)
心脏超声较前无明显变化
心功能II级
心肌进行性肥厚应排除异常物质浸润及贮积性心肌病
诊断最重要,不要仅凭单项检查做诊断,综合判断避免误诊
心脏淀粉样变临床少见,但因其预后差不容忽视