
右心衰竭(RHF)是指任何原因引起的右心室收缩和(或)舒张功能障碍,不足以提供机体所需的心输出量时所出现的临床综合征
RHF可以单独存在,但更常见与左心衰竭并存
RHF分为急性和慢性心衰,急性RHF包括如下两类:
1. 新发急性心力衰竭
2. 急性失代偿心力衰竭--多见
流行病学:美国患病率估计为5%,与左心衰竭相当我国目前尚无确切数据
病因复杂,涉及多个学科;
不同病因,处理和预后差异性较大。
RHF病残率和病死率高于左心衰,日益重视
2009年《加拿大心血管病学会心力衰竭更新共识》列出RHF诊断与治疗内容
2010年我国《急性心力衰竭诊断和治疗指南》关于急性RHF的内容
2012年《右心衰竭诊断和治疗中国专家共识》
2014年《中国心力衰竭诊断和治疗指南2014》列出RHF诊断与治疗内容

存在可能导致右心衰竭的病因
有右心衰竭的症状和体征
存在右心结构/功能异常/或有心腔压增高的客观证据
急性右心衰竭可根据病因(如急性肺栓塞或急性右心室梗死)导致急性发作的低血压和休克而诊断
---目前无国际公认的诊断标准
右心室压力/容量超负荷
压力超负荷:APE、PH…
容量超负荷:TI、PI…
右心室心肌自身病变
AMI、心肌疾病、严重感染
其他:复杂性先天缺陷
心脏手术围术期…
右室舒张和收缩功能不全、低心排
症状:呼吸困难、心悸…
体征:颈静脉怒张、肝大、腹水…
运动不能耐受和疲乏…
低血压低心排
(尤其伴房性和室性心律失常)…
超声心动图:简便 易行
心脏磁共振(MRI):准确 耗时
放射性核素显像
右心导管检查:血流动力学指标
生物标记物:脑钠肽、cTn、血尿酸、可溶性ST2、半乳糖凝集素3 …
超声心动图:三尖瓣环收缩位移、Tei指数 、左室偏心指数、右室面积变化分数 、估测心排血量
血清标记物: BNP、TNT、尿酸…
血流动力学:右房压、肺动脉压力肺血管阻力、心指数
MRI:金标准 射血分数 右室容积 右室心肌重量
运动耐量: 6min步行距离、心肺运动试验
RV整体功能: Tei 指数 (RIMP)

2015 ASE成人心腔定量测量指南
RV整体收缩功能:

FAC(右室面积变化分数) 三维RVEF
2015 ASE成人心腔定量测量指南
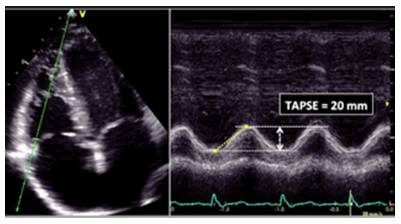
RV纵向收缩功能:
TAPSE(三尖瓣环收缩位移)


S/ S’( 三尖瓣环收期峰值速度)
2015 ASE成人心腔定量测量指南
Normal values for parameters of RV function

2015 ASE成人心腔定量测量指南
三尖瓣反流峰值速度结合超声征象对PAH可能性进行分层以指导诊断和治疗

2015版ESC 肺动脉高压指南

出现列表中至少2类不同(A/B/C)UCG 信号
PAH概率水平发生变化
Rudski LG et al J Am Soc Echocardiogr 2010;23:685-713
Lang RM et al Eur Heart J Cardiovasc Imaging 2015;16:233-71.
积极治疗原发病,减轻心脏前后负荷,增强心肌收缩力
维持窦律、房室正常顺序和间期、左右心室收缩同步
针对不同阶段给予相应的防治措施
控制液体潴留、限盐、监测体重…
氧疗:SaO2<90%常规氧疗,PO2<60mmHg持续 低流量吸氧,必要时予以 呼吸机辅助
识别/去除诱因
40%的右心衰患者存在诱发因素
Sztrymf B,et al.EurRespir J 2010 :35 :1286
积极控制感染
低心排/静脉压↑→肠粘膜屏障功能↓
肠内细菌和内毒素是感染的主因
纠正心律失常,恢复窦性心律至关重要
房速、房扑和房颤较常见
胺碘酮/电复律/RFCA
避免使用或禁用B-受体阻断剂纠正心律失常
急性肺栓塞所致RHF:再灌注、抗凝…
肺动脉高压所致RHF:强心利尿、靶向药、外科…
急性右室心肌梗死导致RHF :PCI、扩容、IABP…
右心瓣膜病变所致RHF:介入 、外科…
肺实质病变或低氧血症所致:抗炎、通气、氧疗…
先心病导致RHF :矫正畸形、强心利尿…

PE+RVHF 住院 期间和30d死亡率增加---荟萃分析

3283例(血流动力学稳定),RVHF 组短期
死亡率增加2.29倍
加强心衰患者管理
BMC Cardiovasc Disord ,2014,14:64



左右心室相互影响

左心回心血流量减少,CO减少导致低血压,RCA低灌注致右心缺血加重DHF
改善前负荷:合理使用利尿剂避免过度利尿导致血压降低
改善后负荷:治疗PAH
改善心肌收缩力:正性肌力药
地高辛:可提高CO,降低心室率长期应用资料有限
防治心律失常、维持体循环血压…
正性肌力药


PAH的治疗靶点
内皮素

初始单药治疗

2015 ESC/ERS Guidelines for the Diagnosis and Treatment of Pulmonary Hypertension


ACEI、ARB
非选择性扩血管药
硝酸酯类、硝普钠、肼苯达嗪等
β受体阻制剂
机理:降低RV负荷,增加LV负荷,增加CO和周围组织灌注,使组织氧摄取绝对量增加
手术效果取决于SaO2降低与CO增加之间的平衡
存在一定危险性
方法:球囊,支架
适于CHD以外PAH患者
( IIb,C 2015 ESC Guidelines )
34例患者,50次手术
单纯造口:21例
造口+药物:11例
操作死亡率:2%
存活中位数:60m
单纯造口:53m
造口+药物:83m
Eur Resp J 2011,38:1343

内科药物:综合治疗,包括抗凝及改善右心功能
手术治疗:肺动脉血栓内膜剥脱术 (I B) 手术死亡率2.3-24%。一组441例患者围手术期生存率为97.7%,6年及以上存活率为75%-92.3%。
介入治疗:经皮肺血管成形术 (IIb C) Broch K等报道BPA可改善右心功能*
*Broch K,et al.J Heart Transplant.2015,Sep 3
ESC/ERS Guidelines 2015