

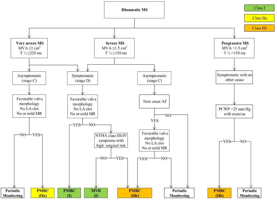
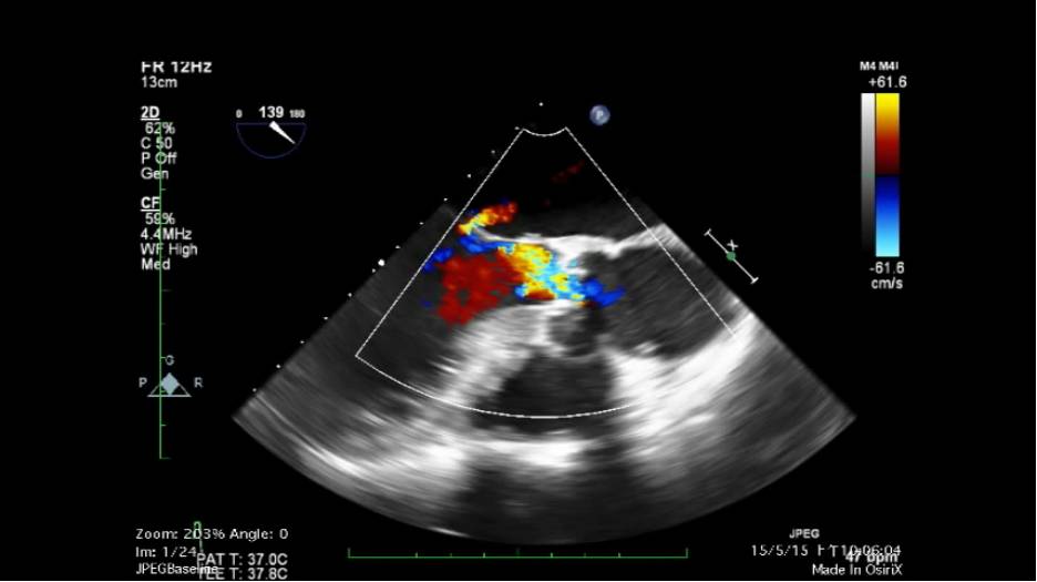
瓣膜狭窄(Stenosis):血流梗阻瘀滞于上一级脉管系统,心脏腔室的后负荷增加

瓣膜反流(Regurgitation):血流逆流入上一级腔室,导致心脏腔室前负荷增加

心脏的收缩功能和(或)舒张功能发生障碍,不能将静脉回心血量充分排出心脏,导致静脉系统和(或)肺循环血液淤积,动脉系统血液灌注不足,引起心脏循环障碍症候群,此种障碍症候群集中表现为肺淤血、腔静脉淤血。
降低脉管系统后负荷,增加有效输出量
减少脉管系统血容量,降低心脏腔室负荷
解除瓣膜病变,改善心脏有效搏出量
瓣膜病变后单向阀门作用的散失,导致以肺淤血和腔静脉淤血为症候群的心力衰竭的发生。
解除瓣膜病变,改善心脏有效搏出量



(EuroScore, STS, SinoScore……)

综合风险评估

小切口
胸腔镜辅助
全腔镜心脏手术(机器人手术)




球囊扩张/闭式分离
不停跳直视心脏瓣膜置换手术
TAVR/TMVR
人工心脏/心脏移植
瓣膜姑息手术


(2014.03.24 华西医院 )

TAVR Device

TMVR

(Valve-in-Valve)


Trans-catheter Mitral Valve for Native Valve
More challenge Anatomy



Transcatheter Mitral Valve Procedure
Repair or Replacement ?

Repair Device



Repair the Chorda –Neo/Chord


Trans-catheter Mitral valve repair - Annuloplasty






Replacement





体外膜肺(ECMO)、心室辅助装置(VADs)等装置能够提供暂时的左心或全心功能支持,人工心脏甚至可以完全替代心脏功能。


人工心脏(适用于全心衰竭)

心脏移植

cardiac resynchronization therapy, CRT

LV-Ao Valvular Tunnel