

在2017中国国际心力衰竭大会(CIHFC)暨中国医师协会心力衰竭专业委员会年会上,来自首都医科大学附属北京安贞医院的董建增教授为我们带来了“合并心衰心房颤治疗策略”的精彩报告。

房颤与心衰共同危险因素
Hazard Ratio of Incident AF and HF
[1]

AF & HF:互为因果
[2]

心衰临床试验患者中房颤患病率

CHF/AF对死亡率的相互影响
[3]

房颤心衰机制
◆心房泵功能丧失
◆心室内不同步
◆心室废用性改变
◆二尖瓣/三尖瓣反流
◆心动过速性心肌病
◆神经内分泌因素
Frank-Starling Law





窦律心室同步
[4]



房颤致心室激动不同步

房颤致心室激动不同步

房颤致心室激动不同步

房颤与二尖瓣反流
[5]

房颤与二尖瓣反流

二尖瓣反流加重二尖瓣反流
[6]

心室废用

醛固酮受体拮抗剂增加AF伴HF死亡率
[7]

地高辛增加AF伴HF患者死亡率?
AFFIRM研究再分析
[8]

β受体阻滞剂不改善AF伴HF患者预后
[9]

◆4项研究,8680例HF患者
◆ β受体阻滞剂不降低HF伴AF患者死亡率和住院率
胺碘酮增加 NYHA III 级患者死亡率
SCD-HeFT研究 ( LVEF ≤35%)
[10]

NYHA Ⅲ 胺碘酮使死亡相对危险增加 44%
ANDROMEDA研究决奈达龙增加心衰患者的死亡率
[11]

使用决奈达隆是最强的死亡预测因素:HR 2.19
导管消融治疗合并心衰房颤
[12]

导管消融治疗心衰合并房颤
[13]

合并心衰房颤导管消融5年结果
[14]

合并心衰房颤导管消融荟萃分析
26 studies, 1838 patients,average LVEF 35%-46%

HFpEF合并AF患者导管消融有效
[15]

AF导管消融改善心功能
[16]

PABA-CHF研究前瞻、多中心、随机对照
[17]

导管消融组无房颤率

生活质量改善

LVEF改善

6分钟步行测试改善

Ablation vs. Amiodarone for Treatment of Atrial Fibrillation in Patients with Congestive Heart Failure and an Implanted ICD/CRTD
(AATAC-AF in Heart Failure)
[18]
◆≥18岁 (101 VS. 102)
◆持续房颤+ ICD/ CRTD
◆NYHA II-III
◆LV EF
◆ ≤40% (6月内)
AATAC-AF
Kaplan–Meier curves comparing success rate

AATAC-AF
◆随访结束时无复发患者(n=105) 临床参数改善明显优于复发患者 (n=98) 无复发 复发
LVEF 增加 9.6±7.4% vs. 4.2±6.2% (p<0.001)
6MWD 增加 27±38 vs. 8±42 (p<0.001)
MLHFQ 降低 14±18 vs. 2.9±15 (p<0.001)
◆再住院与死亡 消融组 胺碘酮组
再住院率 31% 57% (p <0.001)
全因死亡 8% 18% (p <0.037)
HFrEF + 房颤 导管消融
55F CAF 4 years ,CHF 6 months,NYHA III
LVED:58mm EF:28%

Ablations: PVIs 、 Roof、MI、CTI (2C3L)
6 Months Post Ablation


SHFM 消融前(上)后(下)

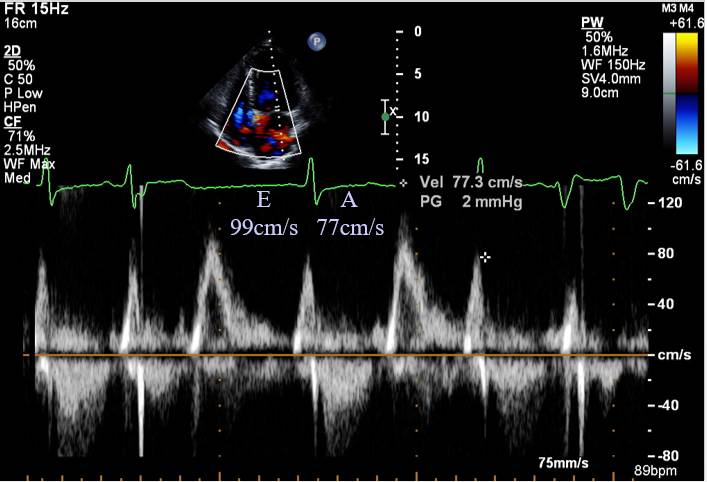
HFpEF + 房颤 导管消融

心室率控制


随访
◆消融后心功能正常,阵发房扑
◆3年后因阵发房扑行第二次消融
◆随访9年

SHFM 消融前(上)后(下)

[19]

房颤与心衰处理策略

小结
◆房颤通过多种机制导致心衰
◆恢复窦性心律后心衰具有可逆性
◆药物治疗效果局限
◆导管消融是合并心衰房颤恢复窦性心律的有效措施
[1]JACC 2014; 64: 710-21
[2]Maisel WH,Am J Cardiol 2003; 91(suppl): 2D–8D
[3]Circulation 2003;107:2920-5
[4]Circ AE 2009;2;249-257
[5]JACC 2011;58: 1474–81
[6]Am J Physiol Heart Circ Physiol 2008; 294: H2106–H2111
[7]Circ Heart Fail 2012; 5:586
[8]EHJ 2013; 34:1481
[9]JACC HF 2013;1:23
[10]Bardy. NEJM. 2005: 225
[11]NEJM 2008;358:2678
[12]Hsu. NEJ M.2004: 2372
[13]Hsu . NEJM, 2004: 2372
[14]Circ Arrhythm Electrophysiol. 2014;7:1011-1018
[15]JACC 2013; 62:1857
[16]JCE 2013 ;24:1224
[17]NEJM 2008; 1778
[18]LBCT ACC 2015
[19]JACC 2014;64:2246-80 ESC 2016 HF/AF
专家简介

董建增,男,主任医师、教授,首都医科大学博士生导师,北京安贞医院心脏内科中心副主任。1988年获河南医科大学(现郑州大学)医学学士学位后经过了规范的内科住院医师和心血管专业医师培训,1993年获河南医科大学心血管专业硕士学位,2004年获华中科技大学同济医学院心血管专业在职博士学位。自1993年起从事心血管病介入治疗工作,熟练掌握并广泛开展了冠心病、心律失常、起搏、瓣膜病及外周血管病介入治疗技术;自2003年起工作重点聚焦在心律失常的射频导管消融治疗,尤其是房颤和复杂心动过速的导管消融,建立了一套安全、高效、具有原创性的房颤导管消融技术体系。有关SCI论文30余篇,主持国家自然科学基金4项,主持北京市教委重点项目1项,主持并完成十一五“863”项目1项(房颤导管消融模拟器,用于医生培训),主持十二五科技支撑项目1项,国家科技进步二等奖1项。