

在2017中国国际心力衰竭大会(CIHFC)暨中国医师协会心力衰竭专业委员会年会上,来自东南大学附属中大医院的马根山教授为我们带来了“心脏瓣膜病心力衰竭的器械治疗新进展”的精彩报告。

心脏瓣膜病是指各种致病因素或先天发育畸形导致一个或多个瓣膜解剖结构和功能异常,表现为瓣膜口狭窄和或关闭不全的临床症候群。主要累及二尖瓣和主动脉瓣,三尖瓣和肺动脉瓣受累较少。
[1]
◆由瓣膜机械性损害造成血流动力学异常,使心脏压力负荷(瓣膜狭窄)或容量负荷(瓣膜关闭不全)发生改变,最终发展为失代偿性心衰。
◆瓣膜性心衰占18%-29%
瓣膜性心脏病器械治疗热点

经导管主动脉瓣置换术-TAVI

◆2002年Alain Cribier成功施行第一例经导管植入主动脉瓣手术
◆2016年底,TAVI手术量全球突破 25 万例
两种常见瓣膜系统

手术路径

手术适应症:经典
2012美国心脏病学会及美国胸外科协会
◆重度主动脉瓣狭窄:主动脉瓣口面积<0.8cm2,主动脉跨瓣压差≥40mmHg或瓣口血流速度≥4.0 m/s
◆有心血管疾病症状,NYHA分级Ⅱ级以上
◆2名外科专家认为不能耐受外科手术或存在手术禁忌症: EuroScore >20/STS>10
◆解剖学指标在特定范围内(18~29mm)
手术适应症:拓宽
◆外科生物瓣膜置换术后再狭窄:自膨胀装置或球囊扩张装置
◆主动脉瓣关闭不全:自膨胀装置
◆二叶式主动脉瓣:自膨胀装置
PARTNER(1B)研究
全因性死亡
[2]

PARTNER 1A: High Risk

TAVR non-inferior to SAVR in high risk pts
Established TAVR as reasonable alternative
心源性死亡率
[3]

心功能
[4]

再次入院率
[5]

脑卒中
[6]

CoreValve US Pivotal: High Risk

Possible Superiority of TAVR in High-Risk Patients
All-Cause Mortality at 30 Days
Edwards SAPIEN Valves (As Treated)

Strokes (All) at 30 Days
Edwards SAPIEN Valves

TAVR in 2016
New performance benchmarks for high-risk AS patients (@ 30 days)
| All-cause mortality | < 3% |
| Major (disabling) strokes | < 2% |
| Major vascular complications | < 5% |
| New permanent pacemakers | < 10% |
| Mod-severe para-valvular regurgitation | < 5% |
The severe AS-TAVR
◆Old…very old…
◆Frail…very frail
◆Lots of co-morbidities…
◆Prior CABG (poor LV function)
◆CKD
◆Severe COPD
◆PVD
◆Chronic AF
◆Cancer in remission
TAVR Systems with CE-Approval (2007-15)

◆患者,男,77岁
◆因“反复胸闷、气喘一年” 2014年12月16日入院
◆患者近一年前劳累后出现胸闷、气喘不适,休息后症状可逐渐缓解,患者就诊于鼓楼医院,TTE示重度AS伴AR
◆建议外科治疗,患者及家属拒绝。
◆予利尿、强心等药物治疗,症状稍好转,但易反复。
◆患者一年来,胸闷、气喘症状反复发作,自感症状逐渐加重,曾数次住院治疗。

入院后治疗
◆静脉西地兰0.4mg IV
◆地高辛0.125mg/d PO
◆华法林2.5mg/d
◆立普妥20mg/d
◆氯吡格雷75mg/d
◆特苏尼2mg/d IV
◆安体舒通20mg/bid
◆症状缓解不明显。
◆仍心率快,呼吸急促。
CAG
◆2014年12月19日于我院行CAG检查:左主干未端至LAD开口80%狭窄;RCA近段60%狭窄。
◆于一周后行冠脉介入治疗,于左主干跨前降支近段植入3.5x36mm支架。
◆术后症状有所缓解,但仍有反复心衰发作。
主动脉及瓣膜CTA
◆Annulus (mm)
◆Min 24.3mm
◆Max 28.3mm
◆Mean 26.3mm
◆Perimeter 82.5mm
THV 29mm





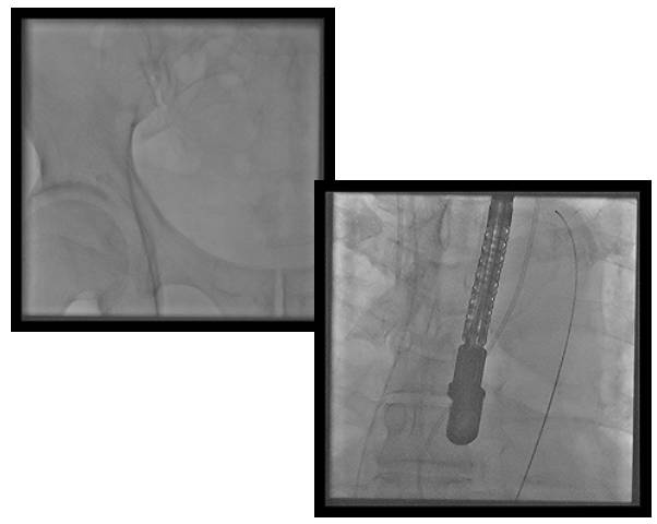
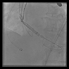
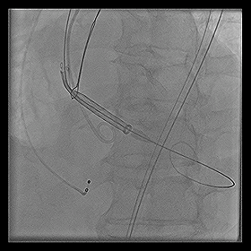
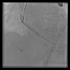
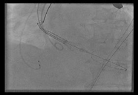
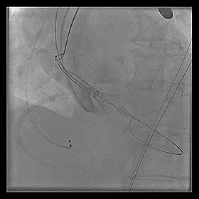
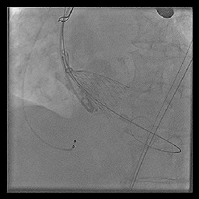
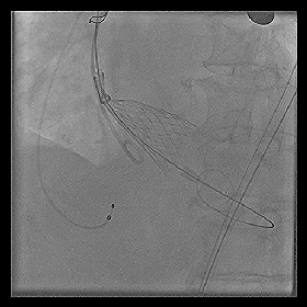
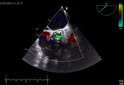
◆2015年1月17日行TAVI术。
◆植入29mm CoreValve人工支架瓣膜一枚。











术后症状明显缓解,近一年未因心衰住院;
一年期复查心超,未见主动脉瓣狭窄和关闭不全。
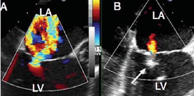
经导管二尖瓣修复术-MitraClip

技术原理:使用特制的二尖瓣夹合器,经股静脉进入,穿刺房间隔,进入左心房及左室,在三维超声及DSA引导下,使用二尖瓣夹合器夹住二尖瓣前、后叶的中部,使二尖瓣在收缩期由大的单孔变成小的双孔,从而减少二尖瓣反流
手术流程

Percutaneous Mitral Valve Repair
MitraClip? System
[7]

MitraClip技术过程

超声评价

超声提示严重MR

释放Clip后反流明显减轻
三维超声下显示二尖瓣呈双孔
手术适应症
◆功能性或者器质性中、重度二尖瓣反流
◆患者具有症状,或者有心脏扩大、房颤或肺动脉高压等并发症
◆左室收缩末内经≤55mm、左室射血分数>25%,心功能稳定,可以平卧耐受心导管手术
◆二尖瓣开放面积>4.0 cm2(避免术后出现二尖瓣狭窄)
◆二尖瓣初级腱索不能断裂(次级腱索断裂则不影响)
◆前后瓣叶A2和P2处无钙化、无严重瓣中裂
◆二尖瓣反流主要来源于A2、P2之间,而不是其它位置
◆瓣膜解剖结构合适:对于功能性二尖瓣反流患者,二尖瓣关闭时,瓣尖接合长度大于2mm,瓣尖接合处相对于瓣环深度小于11mm;对于二尖瓣脱垂呈连枷样改变者,连枷间隙小于10mm,连枷宽度小于15mm
MitraClip System: US Clinical Trial Experience

一年生存率
[8]

EVEREST II Randomized Clinical Trial
Surgical and Percutaneous Therapy for
Mitral Regurgitation

EVEREST II Randomized Clinical TrialStudy Design

30 Day Modified * MAE Intent to Treat, Hierarchical Events

Primary Effectiveness

MR Reduction
Baseline vs. 12 Months, Per Protocol

NYHA Functional Class
Baseline vs 12 Months, Per Protocol, Matched Cases

LV Volumes
Baseline vs. 12 Months, Per Protocol, Matched Cases

Mitral Regurgitation Grade at 5 Years

EVEREST II: NYHA Class at 5 Years
145 surviving pts with serial assessment at bl, 1 year, 5 years

Quality of Life Score (MLHFQ) and 6-minute Walk Distance

Worldwide Experience Using the MitraClip

The new Paradigm: Ongoing trials of MitraClip vs Optimal Medical Therapy

治疗MR的其他方法
[9]
◆Functional MR
—Coronary sinus annular devices
—Direct annuloplasty
—Septal shortening devices
◆Degenerative MR
—Percutaneous neochords
◆Both
—TMVR
Direct Annuloplasty Approaches
Cardiac Dimensions Carillon XE 2Device
[10]



Mitralign CEMark Study (64 pts)

Valtech Cardioband


Millipede
Transcatheter mitral annular reduction with a self-centering, positioning, and attaching device



Cordal Approaches
Transapical Neochord Repair
[11]

Trans-catheter Mitral Valve Replacement TMVR
◆TS and TA access approaches
◆All self expanding
◆All in the FIM or Phase 1 trials

Acute Human Use, February 2013
[12]

◆瓣膜性心力衰竭经导管器械治疗是药物治疗和外科治疗的有效补充
◆经导管瓣膜置入 / 修复术逐渐成熟并广泛应用
◆TAVI与MitraClip循证学依据较为充分,指南推荐
[1]2003年欧洲心力衰竭调查
[2]Samir R. Kapadia et al. Circulation. 2014
[3]Martin B. et al , NEJM 2010
[4]Samir R. Kapadia et al. Circulation. 2014
[5]Martin B. et al , NEJM 2010
[6]Kodali SK, et al. NEJM 2012
[7]DRAFT - EVEREST II REALISM – SCAI 2011
[8]Whitlow PL, et al. J Am Coll Cardiol. 2012
[9]AMADEUS Trial. Circulation. 2009;120:326-333
Adapted from Hermiller TCT 2011
[10]Adapted from F. Maisano TCT 2014
[11]Bajona et al; J Thorac Cardiovasc Surg. 2009;137:188-93.
[12]Tendyne product is currently in development at Abbott. Neither approved or available for sale.
专家简介

马根山,心血管内科科主任,主任医师,教授,博士研究生导师 卫生部冠心病培训基地负责人,导师。美国心脏病学学会委员、中华医学会心血管分会冠脉介入心脏病学组委员、中国医师协会心血管内科医师分会常务委员、江苏省医学会心血管病分会常务委员、江苏省中西医结合心血管学会副主任委员 长期从事心血管病临床医疗工作,擅长各种心血管疾病的诊疗,对危重病人的抢救有丰富的经验。