

在2017中国国际心力衰竭大会(CIHFC)暨中国医师协会心力衰竭专业委员会年会上,来自上海交通大学医学院附属瑞金医院的陶蓉教授为我们带来了“超滤治疗在急性心力衰竭治疗中的应用”的精彩报告。

一、概述
心衰: CVD领域尚未被征服的“挑战”
[1]

心力衰竭:全球患病率约2%;中国发表的数据为1.2%
[2]

液体潴留是心衰患者住院的主要原因

容量超负荷临床评估方法

利尿剂在急性心力衰竭中的推荐级别:Ⅰ级

利尿剂不能充分解决心力衰竭的液体滞留

袢利尿剂剂量和死亡率
[3]

利尿剂面临的挑战
♦利尿剂抵抗(35%)
♦电解质紊乱
♦损害肾功能,降低肾小球滤过率
♦神经内分泌激活(RAAS、SNS)
♦增加心肌组织醛固酮的摄取
♦间接降低心排量
♦增加血管阻抗
♦与利尿治疗相关的致残或死亡
……
关于利尿剂在心衰中应用总结
没有随机对照长期临床试验证明利尿剂在心衰中的有效性和安全性

二、血液超滤概念的提出
[4]
♦血液超滤是全血通过半透膜时利用跨膜压力梯度分离得到血浆水分的一种过程
♦1974年Silverstei首次使用泵驱动的体外超滤技术治疗长期血液透析患者
♦1979年Gerhardt第一次使用血液超滤治疗心力衰竭患者
超滤原理示意图

心衰专用超滤设备
♦ 小膜面积滤器0.1-0.3m²
♦ 低血流速度 (血泵10-50ml/min)
♦ 低体外循环容积 33-65ml
♦ 外周浅表静脉或中心静脉

三、超滤技术的优势
超滤是清除钠水潴留的金标准
[5]

钠在CHF中的重要作用

体外超滤从血浆抽出水和低分子量溶质,形成与血浆等张的超滤液。各种利尿剂均产生低张尿,尿钠浓度低于血浆。因此,超滤清除钠的能力优于利尿剂。

超滤的血液动力学作用
[6]


四、超滤技术的安全性
超滤清除体液
♦Ultrafiltration can remove fluid from the blood at the same rate that fluid can be naturally recruited from the tissue
♦The transient removal of blood elicits a compensatory mechanism, called plasma or intravascular refill (PR), aimed at minimizing this reduction1,2
[7]

超滤中血浆容量和再充盈率的变化
Ultrafiltration can be done safely without significant changes in plasma volume
Plasma refill rates may decrease as volume removal continues

心力衰竭时肾功能恶化与CVP, CI, SBP, PCWP的关系
[8]

超滤在多个环节阻断心肾恶性交互
[9]

♦ 超滤液晶体渗透压与血浆相等,超滤治疗不影响血浆电解质浓度和酸碱平衡。超滤器的半透膜允许血浆小分子溶质自由通过,阻挡大分子物质通过,等渗清除钠、水,不改变血浆小分子溶质浓度。多个文献报道显示,超滤前后血浆钾钠氯、碳酸氢、pH无明显变化。单纯超滤不影响电解质和酸碱平衡,超滤治疗期间不需反复检测电解质和血气分析。
♦ 超滤需要辅以全身抗凝治疗,与此相关的出血并发症可能是超滤唯一的安全肝素抗凝,调整aPTT靶值在全身肝素化要求的范围内,UNLOAD研究,超滤组出血发生率与药物对照组相似。
UNLOAD研究
[10]

【Principal Findings】
♦ At 48 h after randomization early Ultrafiltration compared with IV Diuretics produces:
—— greater weight loss
(5.0±0.68 Kg vs. 3.1±0.75 Kg; p=0.001)
—— greater fluid loss
(4.6±0.29 L vs. 3.3±0.29 L; p=0.001)
—— similar changes in sCr
(0.12±0.42 mg/dL vs. 0.07±0.41 mg/dl; p=0.356)
五、超滤技术的适应症

中国心力衰竭诊治指南2014

心力衰竭超滤治疗建议
♦(1)心力衰竭伴利尿剂抵抗或利尿剂缓解淤血症状效果不满意的患者。
♦(2)心力衰竭伴明显液体潴留的患者,即有下肢或身体下垂部位凹陷性水肿同时具备以下2项或以上的患者:劳力性呼吸困难、阵发性夜间呼吸困难或端坐呼吸;肺部湿罗音;淤血性肝肿大或腹水;颈静脉怒张>10cm;X线胸片示肺淤血、肺水肿或胸水。
♦(3)因近期液体负荷明显增加,导致心力衰竭症状加重的患者。
六、超滤技术的禁忌症
♦(1)收缩压≤90mmHg,且末梢循环不良;
♦(2)肝素抗凝禁忌证;
♦(3)严重二尖瓣或主动脉瓣狭窄;
♦(4)急性右心室心肌梗死;
♦(5)需要透析或血液滤过治疗者;
♦(6)全身性感染,有发热、全身中毒症状、白细胞升高等表现。
七、超滤技术的实施规范
职责和要求
♦1.启动超滤治疗前,必须进行心内科评估。心内科医师评估患者适应症和禁忌症、签署知情同意书、开具超滤治疗医嘱。
♦2.首选8 FR 双腔中心静脉导管,股静脉或颈内静脉穿刺置管。标称主腔和副腔流量不低于90ml/min。外周静脉条件良好者,也可以采用16G或18G静脉留置针,经头静脉、肘正中静脉建立体外循环。
♦3.建立常规超滤医嘱单,包括治疗前实验室检查内容、抗凝治疗方法、液体清除速度、治疗持续时间、血压、心率等生命体征监护以及治疗后实验检查。
♦4.所有治疗应遵医嘱,由通过设备使用技能培训的注册护士实施。在严格无菌技术条件下,建立和维护治疗全程。
♦ 5.一旦开始治疗,责任护士要负责心衰超滤设备的维护、治疗期间的病人监护,并根据医嘱中止治疗。
临床评估及护理
♦1. 治疗前,按照医嘱获取病人体重和治疗前的实验室检查。向病人或家属解释,尽管病人可以在病床上活动,保持舒适体位,活动受限于卧床休息。
♦2. 外周静脉建立输液/药物通道。
♦3. 遵医嘱实施抗凝治疗。使用普通肝素时,aPTT范围应保持在70~90之间。
♦4. 设置、预冲、连接和固定心衰超滤装置管路。预冲液为500ml生理盐水+5000单位肝素,预冲时间不少于30分钟。
♦5. 遵医嘱开始治疗,评估血流速度,设置超滤泵速度。初始血泵速度为30ml/min,根据压力判断静脉穿刺导管是否能够满足流量要求,并相应增减速度。
♦6. 治疗期间,病人保持血流动力学稳定。在治疗的第一个小时内,每15分钟监测生命体征;之后每小时监测一次,或按医嘱更严密监测。
♦7. 如血压下降或心率加快(通常收缩压<90),应通知医生,并降低超滤速度。
♦8. 在超滤治疗单上记录每小时液体出入量。
♦9. 治疗期间每四个小时监测并记录病人体温。
♦10. 根据医嘱停止治疗,并且根据导管使用指南冲洗或者维护静脉插管。
♦11. 按医嘱进行治疗后实验室检查。
♦12. 根据医嘱,继续限制液体入量。
♦13. 在工作流程记录表上,记录生命体征、液体出入量、血流速度以及超滤设置参数。
抗凝方案
♦1.使用普通肝素之前,要评估出血和血栓风险,排除肝素抗凝禁忌症。了解遗传性出血性疾病史(如血友病等),活动性消化道溃疡,痔疮出血,脑出血病史,严重创伤或心肺复苏,近期大手术病史。了解口服抗凝和抗血小板制剂。需要做凝血、血小板等相关的实验室检查。
♦2.抗凝目标:使aPTT保持在基础值或正常对照值的1.5-2.5倍。
♦3. 用法:开始治疗前30分钟,首剂负荷量30-50IU/Kg脉注射。然后持续静脉输注5-15U/kg/h,4小时后测aPTT,根据化验结果调整肝素的剂量,每6小时复查aPTT直到治疗水平。
八、超滤技术的局限性
Cardiorenal Rescue Study in Acute Decompensated Heart Failure ,
CARRESS-HF
♦188例ADHF伴近期肾功能恶化(肌酐升高),随机分为阶梯药物治疗或血液超滤治疗组,药物治疗组调整利尿剂和其他药物直到每日尿量达到3-5L。
♦研究主要终点为96 h患者体重和血肌酐水平的变化。
CARRESS-HF结果
♦1.两种治疗策略在体重减轻方面作用相似
♦2.超滤组肌酐明显升高
♦3.死亡率和心衰住院率方面无差别
分析:针对心肾综合征这一特定的患者人群,无论采取哪种治疗策略,总体预后都很差,1/3的患者在60天因心衰死亡或再次住院,实际上,达到CARRESS-HF研究药物阶梯治疗的每日3-5L尿量不太现实
超滤时机的选择
♦对于何时开始超滤治疗(治疗时机),近年来的研究倾向于早期使用。一旦到了顽固性心衰的阶段,将超滤作为一种“挽救性”的治疗措施,患者不能获益。
♦体外超滤采用的是对流机制实现溶剂和溶质同步转移,心衰专用超滤设备主要用于脱水和清除小分子溶质。不能清除代谢终产物(如肌酐),也不能像血液滤过设备那样纠正严重电解质紊乱(如高血钾)。而血液透析或血液滤过设备采用的是弥散或置换机制,能清除代谢终产物和毒素,实现肾脏替代治疗。
九、病例
♦患者,女性,65岁
♦主诉“反复胸闷、气急15年,加重2月余”,于2016年5月19日入院。
♦患者于15年前出现胸闷,气急,后症状逐渐加重,当地医院诊断为“扩张型心肌病,心功能不全”,平日服用ACEI,B阻滞剂,利尿剂 。
♦入院前2月,患者上述症状加重,伴咳嗽、咳痰,夜间出现端坐呼吸。外院应用抗感染治疗,效果不佳,收入我院。
♦既往史:否认高血压,糖尿病史。
♦个人史:否认烟酒不良嗜好。
♦家族史:否认家族遗传疾病史。
♦体检: T: 36.5 ℃,R: 20 次/分,BP: 90/65mmHg,神志清,体形消瘦,慢性病容,颈静脉怒张,双肺呼吸音低,双肺可闻及湿罗音,HR 110次/分,心律绝对不齐,第一心音强弱不等,腹软,双下肢可及凹陷性水肿。
【血常规】
白细胞计数 4.97×109/L
中性粒细胞% 73.6%
红细胞计数 3.09×1012/L
血红蛋白 105g/L
血小板计数 164×109/L
【心肌蛋白】
谷草转氨酶 40IU/L
乳酸脱氢酶 164IU/L
肌酸激酶 46IU/L
CK-MB质量 1.2ng/mL
肌红蛋白定量 56.2ng/mL
肌钙蛋白I 0.04ng/mL
【生化】
糖 4.52 mmol/L
前白蛋白 216mg/L
谷丙转氨酶 90IU/L
碱性磷酸酶 65IU/L
γ-谷氨酰转肽酶 59IU/L
总胆红素 41.5μmol/L
直接胆红素 13.0μmol/L
总蛋白 68g/L
白蛋白 29g/L
尿素 11.6mmol/L
肌酐 176μmol/L
尿酸 618μmol/L
钠 132mmol/L
钾 4.14mmol/L
氯 95mmol/L
二氧化碳 24.0mmol/L
钙 2.33mmol/L
磷 1.62mmol/L
估算肾小球滤过率26.8ml/min/1.73m²
甘油三酯 1.45mmol/L
胆固醇 3.8mmol/L
高密度脂蛋白 0.89mmol/L
低密度脂蛋白 2.22mmol/L
【氨基末端B型利钠肽前体 】
9000 pg/mL
【尿六联蛋白】
尿视黄醇结合蛋白 1.29mg/L
尿液肌酐 11.48 mmol/L
尿免疫球蛋白G 2.02mg/dl
尿转铁蛋白0.30 mg/dl
尿微量白蛋白 6.71mg/dl
尿α1微球蛋白 2.20mg/dl
NAG活性 25.20 U/L
尿白蛋白比肌酐 5.84
【血气分析】
酸碱度 7.49
氧分压 9.67kpa
二氧化碳分压 3.60kpa
氧饱和度 96%
氢离子浓度 32.6nmol/L
标准碳酸氢根 22.4mmol/L
实际碳酸氢根 20.0mmol/L
标准剩余碱 -2.4mmol/L
细胞外液剩余碱 -3.4mmol/L
缓冲碱 43.7mmol/L
血浆二氧化碳总量 46.6mmol/L
氧总量 13.9mmol/L
肺泡动脉氧分压差 6.15kpa
碳氧血红蛋白 1.3%
高铁血红蛋白 0.4%
【C反应蛋白(高敏)(hsCRP) 】
14 mg/L。

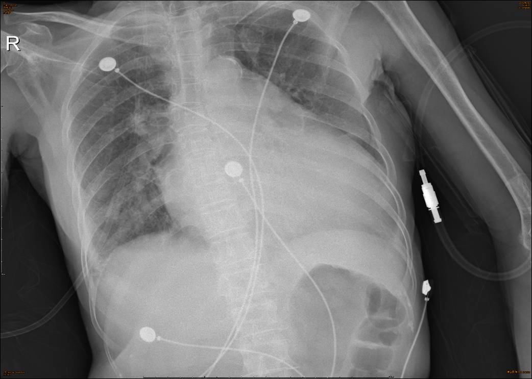
【胸片】:
♦影像描述: 所示胸廓骨骼及胸壁软组织未见异常。纵隔及气管居中未见移位。
♦纵隔未见增宽。
♦心影明显增大,主动脉壁钙化。
♦两膈光整,右肋膈角欠清,左肋膈角变钝。
♦两侧肺门影增大模糊。
♦两下肺纹理增多,两下肺斑片状模糊影。
诊断意见:
心影明显增大,主动脉壁钙化。两下肺渗出,两侧胸腔积液;两侧肺门影增大模糊。

【心脏超声】:
一、M型主要测值(单位mm)
| 名称 | 测量值(正常 ) | 参考值 |
| 主动脉根部内径 | 33 | 20-37 |
| 左房内径 | 56 | 9-40 |
| 左室舒张末期内径 | 67 | 35-56 |
| 左室收缩末期内径 | 56 | 20-37 |
| 室间隔厚度 | 8 | 6-11 |
| 左室后壁厚度 | 8 | 6-11 |
二、二维超声心动图描述:
♦1.左房、左室增大。
♦2.左室壁不增厚,静息状态下左室壁收缩活动普遍减弱,LVEF低下。
♦3.各心瓣膜未见明显增厚,开放不受限。
三、彩色多普勒超声描述:
♦1.房、室间隔水平未见明显分流。
♦2.二尖瓣中重度反流。
♦3.主动脉瓣轻微反流。
♦4.轻度三尖瓣反流,估测肺动脉收缩压约43mmHg。
四、左心功能测定:
| 名称 | 测量值 | 名称 | 测量值 |
| 左室舒张末期容量(ml) | 238 | 左室收缩末期容量(ml) | 156 |
| 左室射血分数(%) | 34 | 左室短轴缩短率(%) | 17 |
| 每搏输出量(ml) | 82 |
♦左心增大伴中重度二尖瓣关闭不全
♦肺动脉高压伴轻度三尖瓣关闭不全
♦心功能不全
♦扩张型心肌病
♦心功能Ⅳ级(NYHA分级)
♦心律失常
——持续性心房颤动
♦胸腔积液
♦电解质紊乱
♦贫血
♦低蛋白血症
♦患者入院后使用大剂量静脉襻利尿剂、托伐普坦,小剂量多巴胺,近期联用新型利尿剂(心活素)依然利尿效果不满意,每日尿量400ml。患者昼夜处于半卧位至端坐位体位,休息严重不佳,精神差,神情焦虑,皮肤干,肢端冷,血压90/60mmHg,心率120次/分,房颤律,双肺少量湿罗音,双下肢浮肿。与家属沟通后考虑给予超滤治疗。
♦用8F双腔管经股静脉穿刺建立体外循环,20ml/min血泵速度,由于血压较低,超滤速度从150ml/h开始,逐渐加快到250ml/h超滤速度。
♦同时给予白蛋白,营养支持等治疗。
♦超滤过程中,患者呼吸困难开始缓解,当日共计超滤1080ml。
♦期间血压稳定在90/60mmHg左右,心率稳定在90-100分/次。
♦患者连续超滤3天。
♦病人能平卧,静息时无呼吸困难,心功能稳定。
♦患者中心静脉压由24cm水柱降至8cm水柱。
♦停止超滤后,患者病情平稳,尿量由每日400ml增加至1500ml,转当地医院继续治疗。
♦心衰治疗首先考虑原发病的治疗及诱因的控制
♦超滤时机,策略
♦长期预后
♦后续治疗,几乎无生活质量
♦定期超滤?
十、小结
♦超滤作为治疗CHF的新方法,临床研究显示了有希望的治疗前景。对于有明显的容量超负荷的患者,体外超滤能可控可预测地清除过剩的体液,能比较快速缓解呼吸困难等充血症状,消除水肿,缩短住院时间。对于超滤治疗的远期疗效,也显示了降低3个月再住院率的可喜苗头。
♦但是仍有诸多问题有待回答,如超滤的最佳指征和超滤治疗的最佳时机,针对心力衰竭病因的异质性,什么类型病人获益最大?超滤治疗对心力衰竭的远期预后影响需要更多、更大规模临床试验来回答。
[1]JACC: Heart Failure 2013;Vol. 1, No. 1:1-20.
[2]ESC Heart Failure 2014; 1: 4–25.
[3]Eshaghian, S. et al.: Am. J. Cardiol., 97(12), 1759-1764, 2006
[4]Silverstei, et al. NEJM,1974,291(15): 747-751.
Gerhardt, et al. Arch Intem Med,1979,139(3):358-359.
[5]Circulation (Heart Fail).2009;2;499-504
[6]Marenzi et al. J Am Coll Cardiol. 2001;38:963-968.
[7]. Lauer et al. Arch Intern Med. 1983;99:455-460.
2. Marenzi et al. J Am Coll Cardiol. 2001;38:4
[8]Mullens, W. et al. J Am Coll Cardiol 2009;53:589-596
[9] Pathophysiologic pathways underlying CHF and renal dysfunction. UF could potentially counter certain adverse
cardiorenal Interactions and break the vicious cycle
[10]Costanzo MR et al. J Am Coll Cardiol 2007; 49:675-83
专家简介

1994年毕业于上海第二医科大学临床医学系,2005年获得博士学位。目前为主任医师,博士生导师。曾在2005年至2008年到美国加州大学旧金山分校(USCF)进修工作。目前任上海医学会心衰学组委员,中华医学会女性心脏健康学组委员。承担国家自然科学基金面上项目,上海市科委重大基础科研项目,上海浦江人才计划。