

在2017中国国际心力衰竭大会(CIHFC)暨中国医师协会心力衰竭专业委员会年会上,来自国家心血管中心阜外医院的黄燕教授为我们带来了“重获新生的年轻心肌病一例”的精彩报告。

12
患者情况
►男性,18岁
►主诉:胸闷,浮肿1年
►现病史:近1年出现活动后胸闷,颜面、下肢浮肿。当地医院心电图:窦速、频发房早、短阵房速,HR123bpm。超声心动图:LA44mm,LV75mm,LVEF27%.诊断“扩张型心肌病”,给予地高辛、速尿、倍他乐克等治疗。患者未规律服药。症状反复发作,活动耐量进行性下降。
►既往史:无心肌炎,风湿热、免疫病等特殊病史
►个人史:无长期吸烟、饮酒史
►入院查体:一般情况可,血压102/86mmHg,心率116次/分,双肺未闻及干湿罗音,心界扩大,心律不齐,心尖部闻及II/6级柔和收缩期杂音,双下肢不肿。
►化验:
血常规正常
生化:GPT 76 IU/L,GOT 29 IU/L,肾功能,电解质,心肌酶,血脂等大致正常
MYO,CK-MB,TNI正常
甲状腺功能正常
NT-proBNP : 8787.94pg/ml
BNP: 1130pg/ml
12
入院心电图

12
入院胸片

12
超声心动图

►超声心动:LA 36mm,LV 86mm,LVEF 20%,RV 24mm

►左房轻度增大,左室明显扩大成球形,左室壁弥漫性运动减弱,右房室不大,二尖瓣中大量返流
12
核素静态心肌灌注+PET显像

►左室心腔显著扩大,室壁运动弥漫减弱
►左室各节段血流灌注/代谢大致正常,放射性分布均匀,未见明显心肌受损
结论:支持扩心病改变
12
HOLTER


12
MRI



►左室腔明显扩大,室间隔及左室壁普遍变薄,各节段运动减弱
►心肌延迟强化未见明显异常
►考虑符合扩心病、心衰
12
诊断

►扩张型心肌病?
►心室增大显著,心房扩大不明显
►无休止房速,与常见扩心病心律失常类型不符
►其他继发因素?
►酒精×
►心肌炎×
►心动过速
12
追问病史
7年前心电图

7年前超声心动图

结果:
LA 20.7mm
LV 43.7mm
LVEF 56%
RV 11.3mm
各房室内径正常,收缩舒张功能大致正常
7年前HOLTER

全程心率166,354次
最慢91次/分
最快198次/分
平均135次/分
全程可见频发房速,房早,成对房早,可见窦律。
2年前心电图
房速 心率115次/分

12
病情分析
►该患者临床特点:
►心动过速发生前心功能正常
►频繁或持续的心动过速发作后心功能进行性损害
►考虑为心动过速心肌病
12
心动过速性心肌病
(Tackycardiomyopathy,TCM)
指长期慢性、快速心律失常(不规则/心动过速)引起心脏结构及功能发生改变,最终引发心力衰竭的临床综合征;在心率或节律控制后,心功能可部分或全部恢复
心动过速心肌病概念由Brugada 1991年提出
2006年美国心脏病协会(AHA)将其与围产期心肌病,酒精性心肌病等一并归为“获得性心肌病”
2008年欧洲心脏病协会(ESC)明确提出“心律失常性心肌病”的概念,将其归为 扩张型心肌病中的“非家族性心肌病”
分型:
单纯型
无基础心脏病+心动过速→心功能不全
终止后心功能可恢复
不纯型
基础心脏病+心动过速→ 心功能不全
终止后心功能仅部分恢复
各种类型的快速心律失常(规律/不规律)
房速,房扑,房颤,房室折返心动过速、房室结折返心动过速,频发房早
快速室性心律失常,如频发室早(>总心搏数10-20%),室速
不适当窦速
起搏器的快速的心房/心室起搏
房性心律失常所致的比例最高
发病机制

临床特点
►可发生于各个年龄,多见于青年或壮年男性
►基础心脏病:+ -
►全心扩大/不扩大、心力衰竭
►心肌病的发生高度依赖于心室率,心室率越快→心肌病越早
►出现时间:心动过速后几周~20年,不确定性
►可逆性或部分可逆
►恢复时间:心动过速终止后1个月开始,6-8个月达最大程度
►复发:心室率未有效控制是主要原因
与扩张型心肌病鉴别
►TCM心动过速显著,心脏扩大多数较慢,症状相对较轻
►在较低的射血分数,TCM更能耐受较快的心室率
►TCM患者在心脏大小和心脏功能相对正常时,即可出现水肿, 可能为持续的心动过速引起的内分泌改变。而DCM多在心脏扩大和射血分数降低时出现水肿
12
诊断
►无明确指南及特定标准,病史和临床特征是诊断的重要依据
►BNP、左室射血分数、心脏大小均不能用来鉴别
►观察心动过速与心衰发生的时间顺序及治疗后心功能恢复程度有助于诊断
►心动过速控制后,心功能得以改善或恢复。但不改善也不能否定该诊断
12
治疗
►目标:尽可能恢复窦律;控制心室率
►导管消融
►药物:
抗心律失常:根据心律失常类型选择,洋地黄、β受体阻滞剂、胺碘酮、索他洛尔、伊布利特等.I类抗心律失常药物慎用.
纠正心衰: β受体阻滞剂、ACEI、醛固酮拮抗剂、利尿剂等
尽可能矫正心动过速,即使考虑心动过速为继发因素,也可显著减慢基础心肌病的发展
12
治疗方案
建议行射频消融术,患者及家属拒绝 ,进行药物治疗

12
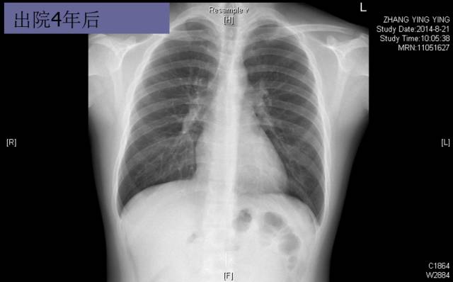
随访转归
► 7月后复查:心脏缩小,心功能好转
► 2年后病情平稳,复查超声心动图、NT-proBNP等大致正常。仅口服比索洛尔10mg qd+贝那普利5mg qd
► 3年后复查HOLTER:频发房早32925次,短阵房速。 患者心率控制在70-90bpm,超声心动图依然大致正常。未再出现胸闷,浮肿等症状。
► 6年内多次复查,UCG正常。无心衰症状。
► NT-proBNP 8787.94pg/ml(入院时)→540.1pg/ml(1年后)→ 378.4pg/ml(2年后),后多次复查均正常





超声心动图演变


12
思考
►年轻患者,在诊断扩张心肌病前需慎重,要考虑除外其他继发性因素
►有些疾病为回顾性诊断,观察患者的随访转归对于确定诊断非常重要
►坚持规范化治疗及随访,是慢性心力衰竭患者获得良好预后的重要因素
专家简介

黄燕
阜外医院心力衰竭中心主治医师
协和医学院临床医学硕士。中国医师协会心衰分会青年委员,北京生理学会心衰学组委员。从事心内科及急重症工作,对心力衰竭、心肌病、瓣膜病、冠心病、高血压等心血管疾病的预防、诊断、治疗和科研有丰富的理论功底和临床经验。熟悉掌握漂浮导管、床旁血滤、呼吸机等操作技能。参与十余项国际国内大规模临床研究,发表多篇论文。