

在2017年心力衰竭国际学院南京站活动中,来自南京市胸科医院的黄进教授为我们带来了题为“重症心肌炎合并多脏器功能衰竭”的精彩报告。

病史资料
◆男,39岁
◆发作性胸闷、气喘4天
◆一周前有淋雨后咽痛等症状,当地医院ECG提示:I、 avL、V2-5导联ST段抬高,心肌损伤标记物增高
◆既往否认高血压、糖尿病史
◆BP 80/50mmHg,双肺呼吸音粗,心界扩大,心率90次/分,二尖瓣区2/6级SM。
实验室检查

影像学资料
◆肺动脉CTA:肺动脉主干/左右肺动脉及大分支未及明显充盈缺损;两下肺及左舌叶感染性病变,心脏增大,两侧少量胸腔及叶间积液
◆床边心超:全心增大(LA 41mm,LV 64mm,RA 55mm RV 36mm),二尖瓣前叶脱垂伴轻中度返流,轻度主闭、三闭,EF 49%,少量心包积液(LVPW5mm)

初步诊断
◆急性充血性心力衰竭
①重症病毒性心肌心包炎?(可能性大)
②急性冠脉综合症?(可能性小)
◆I型呼吸衰竭
◆急性肾功能不全
◆急性肝功能损害
治疗措施
◆改善心功能,营养心肌(血管扩张剂、利尿剂、强心)
◆纠正呼衰(无创呼吸机辅助呼吸改善通气,抗感染)
◆改善肾功能(保持肾灌注,中心静脉压监测)
◆保护肝功能
◆支持治疗(胃管留置,肠内营养)
◆心电/血压/指脉氧监护、尿量监测

问题1
1.特殊用药:糖皮质激素?新活素?左西孟旦?…
2.特殊检查:肺CTA?床旁心超?CAG?
肾功能监测

心肌损伤标记物监测







一周后
1.症状:稍缓解
2.心功能: BNP15000 / 10254
EF 49% / 43%
3.肾功能: BUN 22 / 6.1
CRE 232 / 42
4.肺功能: PaO2 49 / 68
5.肝功能: AST 5256 / 195
LDH 12000 /1079
复查心超
◆全心扩大(LA41-44mm,LV64-66mm )
◆心功能不全(EF 40%-43%)
◆左室壁节段性运动异常(室间隔及前壁搏动明显减弱)
◆二尖瓣前叶脱垂伴中度关闭不全(小键索断裂可能)
◆少量心包积液
新的状况
1.肌钙蛋白:4.16 / >16
CK-MB: 16 / 52
2.ECG:V1-4 ST段再次抬高
问题2
◆起初诊断对or错
◆是否急性ACS?
◆治疗矛盾(激素用 or 不用)
◆是否进一步CAG检查
◆最终决定:暂停激素;强化抗栓治疗(双联抗血小板聚集,低分子肝素钠)
◆尽早CAG
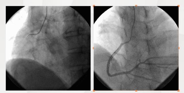
CAG


CAG排除ACS
◆停用抗血小板聚集药物
◆停用低分子肝素钠
◆继续营养心肌
◆改善心功能
◆激素应用
◆全身支持治疗
出院前心电图

出院前复查心超
◆左心增大(LA 41mm LV 64mm)
◆二尖瓣前叶脱垂伴轻中度关闭不全
◆左室功能减退,EF 53%
◆微量心包积液
问题3
1.病程中,一周后的心肌损伤标记物及ECG演变如何解释?
2.激素应用是否合理?
3.改善心功能的措施(IABP/ECOM)?

黄进教授
●南京市胸科医院心血管内科主任医师,硕士生导师
●中华医学会江苏省医学会心血管专科分会委员
江苏省中医药学会心系疾病专业委员
●南京医学会心血管专科分会委员曾获“南京市跨世纪学科带头人后备人员”“南京213人才工程培养对象”。曾在国内外心脏研究中心研修。擅长于冠心病、高血压、心律失常等心血管疾病的诊治,特别在冠脉介入方面有一定的造诣。曾获得南京市科技成果奖2项,承担并完成省市科研课题多项。