

在2017年心力衰竭国际学院南京站活动中,来自东南大学附属中大医院的金虹教授为我们带来了题为“高龄瓣膜病伴房颤心衰一例”的精彩报告。

病史
◆患者,孙××,女性,77岁,退休职工
◆主诉:胸闷、气喘两年,加重两周
◆现病史:两年前开始出现胸闷、气喘,伴有咳嗽、咳痰、双下肢浮肿。长期服用“呋塞米、缬沙坦、地高辛”等药物,症状时轻时重。两周前因劳累后症状加重,夜间不能平卧,双下肢浮肿明显,尿量减少
既往史
◆有“持续性房颤”病史7年,服用“华法林”抗凝治疗
◆3年前因“发作性晕厥”入院,排除神经源性晕厥,动态心电图示房颤心率,R-R最长间期3.5秒,植入VVI型起搏器

心电图(2013-01-13):心房纤颤 交界性逸搏、ST-T异常

24小时动态心电图(2013-01-13):心房纤颤,总心搏82450次,最慢心率32次/分,最长R-R间歇3.5秒。

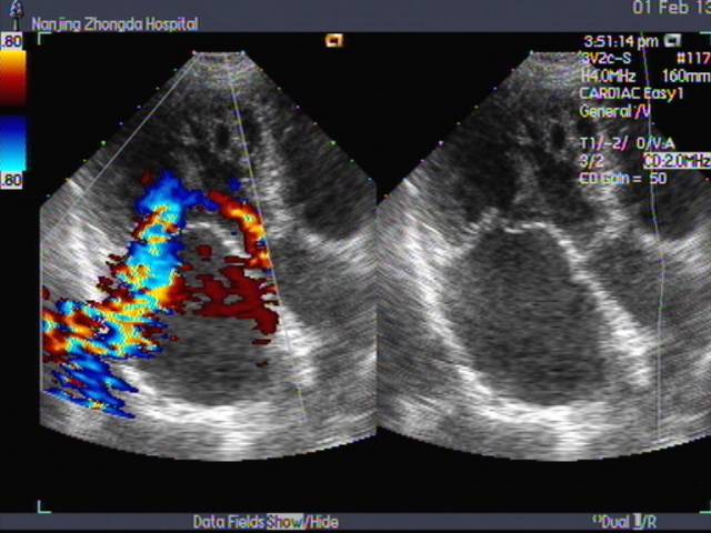
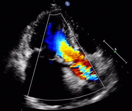
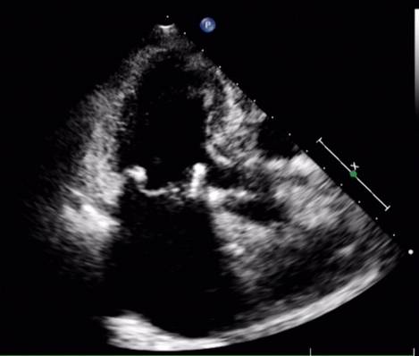
心超(2013-02-01)LA 5.3 RA 4.6 RV 2.7 LV 5.6 LVEF 0.60 TR 3.4(PG=45mmHg)二尖瓣前叶脱垂伴中-重度关闭不全 左心房、右心房、左心室扩大 主动脉瓣钙伴轻中度关闭不全 三尖瓣中度关闭不全 肺动脉高压。
既往史
◆“高血压病”病史22年,最高血压165/90mmHg,服用“络活喜”,血压控制在100/70mmHg左右。
◆“2型糖尿病” 病史5年,口服降糖药控制血糖,未规律监测血糖。
查体
◆BP:100/86mmHg R:21次/分
◆半卧位、呼吸略急促、口唇轻度紫绀、 颈静脉充盈、双肺呼吸音粗、双肺底可闻及明显细湿罗音。心界左下扩大,心率92次/分,房颤心律,心尖部可闻及3/6级粗糙的收缩期杂音,不伴有明显震颤。双下肢重度凹陷性浮肿
辅助检查
◆红细胞计数 3.26 ×1012 血红蛋白 103g/L
◆尿素氮 8.1mmol/L 肌酐 79 umol/L 钾4.38mmol/L
◆INR 3.06 TnI 0.01ng/ml
◆空腹血糖 7.79 mmol/L 糖化血红蛋白 7.3%
◆BNP: 2749ng/ml

心电图(2015-09-22):心房纤颤 右心室起搏心律 V1-V4 导联ST段压低,T波低平。
辅助检查


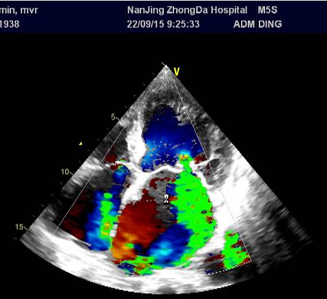
\u000b心超(2015-09-22):二尖瓣前叶脱垂伴中度关闭不全、主动脉瓣钙化,LA(5.4)、RA(4.2)、LV(6.4)、 LVEF 0.40,三尖瓣中度、主动脉瓣中度返流、肺动脉高压(PG=36mmHg)、心功能减低 。
辅助检查

冠状动脉造影提示:左前降支斑块浸润,回旋支远端50%狭窄,右冠瘤样扩张。
入院诊断
1、老年性瓣膜病 二尖瓣脱垂伴中度关闭不全 三尖瓣、主动脉瓣中度关闭不全 主动脉瓣钙化 心功能IV级
2、心律失常 心房纤颤 VVI起搏器植入术后
3、冠心病 心绞痛
4、高血压病2级(极高危)
5、2型糖尿病
入院治疗策略

入院治疗

问题一
β-阻剂作为慢性心衰的药物治疗基石之一,能有效改善预后,但它减慢心率,增加右心室起搏频率,而后者加重左心室收缩功能不全
β-阻剂或β-阻剂联合地高辛降低心衰伴房颤患者远期死亡率,改善预后

与窦律心衰患者相比,β-阻剂不能改善心衰伴房颤患者的预后,不能优先推荐

房颤伴心衰的心室率
◆房颤伴心衰的最佳心室率是不明确的,心室率低于70次/分与预后不良有关
◆β受体阻滞剂、地高辛及其联合可用于控制心室率
◆β受体阻滞剂作为一线药物是安全的,即使尚不明确它们能否降低房颤患者的发病率和死亡率

右心室起搏与左心室功能降低相关

问题二
慢性心衰伴房颤单腔起搏器植入术后右室起搏依赖可加重左心功能恶化,是否需要双心室起搏?
BLOCK-HF研究
BLOCK-HF研究证实NYHA I~Ⅲ, LVEF≤50%的心衰患者,如果有永久起搏器治疗指征,并且高比例右心室起搏,应首选双心室起搏治疗

房颤合并心衰起搏
永久性房颤、NYHA Ⅲ-Ⅳ级,QRS≥120ms、LVEF≤35%,考虑植入CRT。固有心室率缓慢需要起搏治疗(II b类,C级);静息心室率≤60次/min、运动时心率≤90次/min (II b类,B级)。需尽可能保证双心室起搏

心衰再同步化治疗推荐

问题三
心功能失代偿的原因之一是二尖瓣前叶脱垂合并中-重度反流,首选介入治疗还是外科手术?
外科治疗的手术时机?
欧美指南MitraClip的应用推荐

2014中国心力衰竭诊断和治疗指南
◆二尖瓣脱垂:不伴二尖瓣关闭不全时,内科治疗主要是预防心内膜炎和防止栓塞
◆二尖瓣关闭不全:分原发性和继发性,是否推荐手术治疗,应考虑症状、年龄、并存的房颤、左心室收缩功能、药物治疗反应、肺动脉高压和瓣膜修复的可行性等因素

瓣膜性心脏病管理指南

外科治疗
◆2015-09-30 转胸外科
◆2015-10-08 全麻下行“二尖瓣置换术+三尖瓣成形术+左心耳结扎术”
◆术后转ICU监护病房
◆2015-10-21 转回胸心外科普通病房
◆2015-10-29 出院
术后问题

改善心脏功能

增强心肌收缩

术后血流动力学等指标监测

辅助检查


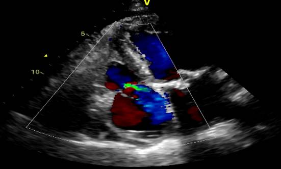
心超(2015-10-26)LA 4.6 (左右径×上下径:5.5×6.2)RA(左右径×上下径:3.7×5.0)RV2.2 LV 4.5 LVEF 0.47 TR 2.56(PG=26mmHg)心脏人工起搏器安装术后 二尖瓣人工生物瓣置换术后 双心房扩大 左室壁增厚 主动脉瓣钙化伴轻度关闭不全 三尖瓣轻度关闭不全 心功能降低 心包积液。
问题四
慢性心衰失代偿期及围手术期增强心肌收缩力药物的使用?
急性心衰患者药物治疗推荐


正性肌力药
◆适用低心排血量综合征,如伴症状性低血压(≤85 mmHg)或CO降低伴循环淤血,可缓解组织低灌注所致的症状,保证重要脏器血液供应
◆左西孟旦是一种钙增敏剂类的正性肌力药,通过结合心肌细胞上的TnC促进心肌收缩,还通过介导ATP敏感的钾通道而发挥血管舒张作用和轻度抑制磷酸二酯酶的效应

与多巴酚丁胺比,左西孟旦能减少慢性失代偿心衰心律失常发生,降低死亡率,改善预后和生活质量

慢性心衰使用左西孟旦的专家共识

左西孟旦在接受心脏手术的左室功能不全患者中的应用

LEVO-CTS研究[1,2]
◆在心脏手术之前给予左心室功能不全的患者左西孟旦治疗,对主要CV终点没有显著获益
◆左西孟旦可以增加左心功能不全患者的围手术期心输出量,且未产生不利影响。故对于期望增加心输出量的心脏手术患者中可以考虑使用左西孟旦治疗
随访



心超(2017-01-13)LA 4.4 (左右径×上下径:5.3×6.0)RA(左右径×上下径:4.2×5.0)RV 2.4(左右径 3.5)LV 4.6 LVEF 0.56 TR 3.3(PG=45mmHg)心脏人工起搏器安装术后 二尖瓣生物瓣置换术后 双心房扩大 主动脉瓣钙化伴轻-中度关闭不全 三尖瓣中度关闭不全 肺动脉高压 左室舒张功能降低。

心电图(2017-04-22):心房纤颤 右心室起搏心律

参考文献
[1]Am Heart J. 2016 Dec;182:62-71.
[2]N Engl J Med. 2017 Mar 19.

金虹教授
●医学博士,东南大学附属中大医院心血管内科副主任医师
●对冠心病、高血压病、心力衰竭、心律失常等常见心血管疾病的诊治有丰富的临床经验,尤其是心血管危急重症的诊断与治疗。
●曾在德国进修学习,有良好的心脏康复临床技能及相关理论研究背景。
●主要研究方向是冠心病和心力衰竭的心脏康复。主持并完成省级课题一项,先后参与国家自然基金课题研究两项,研究成果在国内外核心期刊发表,目前已累计发表SCI文章4篇,中文核心期刊论文2篇,参编著作一部。