

在2017中国国际心力衰竭大会(CIHFC)暨中国医师协会心力衰竭专业委员会年会上,来自南京医科大学第一附属医院的周蕾教授为我们带来了“左心相关肺动脉高压患者的右心功能超声评价 ”的精彩报告。

肺动脉高压定义
◆静息状态,成人正常平均肺动脉压(mPAP)为 14±3 mmHg,上限约为20 mmHg;
◆肺动脉高压(PH)血流动力学定义:
静息状态下经右心导管检查 mPAP > 25 mmHg;
肺动脉高压分类
[1]

肺动脉高压血流动力学定义
[2]

肺动脉高压分类图
[3]

病理生理图1
[4]

病理生理图2

流行病学
[5]
◆最新ESC/ERS指南示左心疾病(第2类)是PH最常见的原因;
◆慢性心力衰竭是左心疾病相关性PH(PH-LHD)的主要病因;
——射血分数保留的心衰(HFpEF)发生PH-LHD的比例高达70 %
——射血分数减低的心衰(HFrEF)发生PH-LHD的比例高达60 %
◆ PH-LHD发病率与心脏瓣膜病(二尖瓣或主动脉瓣)密切相关
PH-LHD诊断依据
[6]
◆ 1.存在左心疾病的临床证据
——心血管疾病危险因素
——端坐呼吸和夜间阵发性呼吸困难
——心电图/胸片/CT/肺功能
——BNP
◆ 2.伴有肺动脉压和肺毛细血管楔压升高
—— 超声心动图是最常用的检查手段
—— 确诊依赖于心导管检查
右心功能与肺动脉高压预后
[7]

扩张型心肌病和缺血性心肌病患者生存曲线
[8]

右心功能评估
【右心功能评价方法】
◆ 右心导管术
◆ 超声心动图
◆ 心脏磁共振
◆ 计算机断层扫描
◆ 放射性核素显像
◆ 生物标志物
心超:PH-LHD?
◆ 估测肺动脉压力
◆ 评估右心功能
——右心室形态(右心腔结构指标)
——右心室收缩功能
——右心室舒张功能
肺动脉压力超声评估
[9]

右心功能评估指标


右室增大指标

右室壁增厚指标

右室流出道内径增宽指标

左心室离散指数

TAPSE(三尖瓣环收缩期位移)
[10]

右室流出道缩短分数

组织多普勒右室壁S’波速度

右心室面积变化率 (FAC, %)

MPI 指数= (TCO-ET) / ET

◆MPI心肌综合指数,Tei指数,即心室等容收缩时间(ICT)与等容舒张时间(IRI)之和与射血时间(ET)的比值
◆正常右心室:0.28±0.04
◆反应心室整体功能,心室功能下降,MPI增加
局限:
◆不能反映单纯心脏舒张功能不全的变化
◆不能反映心功能不全的严重程度
◆胎儿到3岁儿童逐渐降低,需建立同年龄组的正常值
◆受多种血流动力学因素影响
等容加速度(IVA)

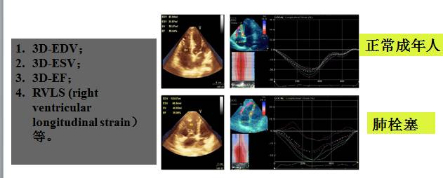
三维容积测定

经食管超声心动图评估右心收缩功能
[11]

四维右室功能法



超声新指标—斑点追踪超声心动图
[12]

右室舒张功能评估
[13]

不同方法右心功能评价比较

[14]

◆目前应用超声心动图准确评估右心室功能仍然存在很大的局限性
◆由于右心室形态不规则,RV容积和EF的测量非常困难。
◆通过M超、2D、多普勒超声测量右心室内径、流出道内径和三尖瓣血流速度等参数在临床应用较为广泛;
◆一些新技术如1D、2D应变以及3D超声也逐步应用于右心功能的评估
参考文献
[1]Eur Respir J, 2015,46(4): 903-975; 中华医学杂志, 2016,96(10):827-829.
[2]Eur Respir J, 2015,46(4): 903-975.
[3]Swiss Med Wkly. 2017,19;147:w14395
[4]Eur Heart J, 2016,37(12): 942–954.
[5]Eur Respir J, 2015,46(4): 903-975; Circ Heart Fail, 2011,4(5):6446-6450; Eur Heart J, 2012, 33(19):2451-2496;
Heart Fail Clin, 2012, 8(3):447-459.
[6]Circ Heart Fail, 2013,6(2):344-354.
[7]Coron Artery Dis, 2005,16(1):13-18.
[8]Coron Artery Dis, 2005,16(1): 5-11.
[9]J Am Soc Echocardiogr, 2010, 23(7):685-713.
[10]Prog Cardiovasc Dis, 2012,55(2):144-160.
[11]Ultrasound Med Biol. 2016, 42(2):596-606.
[12]J Am Soc Echocardiogr, 2014,27(3):329-338.
[13]Prog Cardiovasc Dis, 2012,55(2):144-160.
[14]Eur Respir J, 2002, 20(6):1519-1524.
作者简介

周蕾 教授
医学博士,主任医师,博士生导师
中华医学会江苏省心血管病学分会心衰组副组长、中国高血压联盟理事
中国医师学会老年医学科医师分会委员。
从事心血管内科专业18年,熟练掌握心内科常见病、多发病,如高血压、冠心病、心律失常、心肌病和心力衰竭等的诊断和药物治疗,同时精通先天性心脏病及心肌病的心脏超声诊断。