

在2017中国国际心力衰竭大会(CIHFC)暨中国医师协会心力衰竭专业委员会年会上,来自南京大学医学院附属鼓楼医院心内科的王涟教授为我们带来了“围产期心肌病的诊疗进展 ”的精彩报告。


◆少见,但发病率有增高趋势
◆发生于既往健康年轻女性,导致死亡的主要原因
◆伴发AHF的治疗仍是挑战,需考虑孕妇及胎儿的安全
◆危重者死亡率高,需机械循环辅助,甚至心脏移植
◆多数PPCM心功能恢复,但恢复的时间及程度难以预料
◆最初数月有恶性心律失常、心脏骤停、心脏血栓形成风险
◆缺乏随机的临床试验证据


◆1937年,妊娠相关的心力衰竭首次被描述成一种特殊心肌病
◆1971年,Demakis 命名PPCM(妊娠最后 1 个月或产后 5 个月内出现的心衰,妊娠最后 1 个月之前未发现心脏疾病并排除其他原因)
◆2000年,美国NIH定义: 增加了心超标准(LVEF< 45% 和/ 或LV缩短分数<30% )
◆2005年,Elkayam等报道PPCM还可发生于妊娠中晚期

[1]
2010年 ESC 心力衰竭 PPCM 工作组定义:
◆ 妊娠晚期或产后数月内出现的特发性心肌病,以左室收缩功能减低并引起心力衰竭为主要表现, LVEF <45% 伴或不伴左室扩张,需除外其他可引起心力衰竭的疾病。
◆ 排除性诊断

◆地区差异大,容易误诊及漏诊,确切发病率无法精确统计
◆发病率:海地 1/299,南非 1/1000,日本1/2 0000
◆美国: 1:4350 ~1/968 活胎分娩
◆2004~2011年发病率明显上升,与诊断意识、母亲年龄增加、人口学特征改变或多胎妊娠有关


◆不同假说:
— 病毒感染
— 自身免疫:胎儿细胞微嵌合
— 先天性因素
— 营养不良
— 激素失衡
— 乙醇损伤
— 隐匿扩张型心肌病
◆高危因素:
— 高龄产妇(>30岁多见)
— 多产
— 多胎妊娠
— 先兆子痫(增高4倍)
— 非洲裔
— 滥用可卡因
— 营养不良(硒缺乏)
— 长时间使用缩宫素

◆遗传因素:家族聚集性,遗传易感性
◆ N=172 PPCM, 对已知与扩心病相关的43个基因测序
◆PPCM基因截短突变率(15%)高于对照(4.7%),与扩张型心肌病(17%)相似,
◆TTN基因(编码肌联蛋白titin)截短突变占2/3
◆TTN基因突变是最常见的PPCM(10%)遗传易感性,与1年随访EF低有关

[3]
Figure . Sites within the TTN gene of truncating variants identifed in women with PPCM and comparison with variants found in patients with DCM and healthy control subjects.
血管-激素假说

Figure. Vasculo-hormonal hypothesis of the pathophysiolog of PPCM
◆氧化应激-组织蛋白酶 D-16 kd 泌乳素(PRL)级联反应
◆妊娠期氧化应激水平上升,在妊娠晚期达到顶峰,PPCM 患者 STAT3 表达下调, 氧化应激加强
◆23 kd泌乳素(促血管新生)被水解成16kd,诱导 miR-146a 在内皮细胞表达(抑制血管生成、促进细胞凋亡、促纤维化的作用,导致心肌病理性改变)
◆胎盘释放可溶性血管内皮生长因子受体1(sFlt-1),抑制VEGF功能
两次打击学说(A two-hit hypothesis)


◆大多数(80%)在产后3月内发病就诊,少数(10%)在妊娠晚期,产后4-5个月(10%)
◆起病方式2种:
-急性心衰需重症治疗
-数周缓慢起病
◆心衰部位:左心衰;全心衰(右心受累)
◆早期症状常与晚期妊娠的不适相似,容易忽视、漏诊
◆但延迟诊断与MACE有关
◆心衰症状:
◆呼吸困难
◆端坐呼吸
◆水肿
◆咳嗽
◆头昏
◆疲乏
◆胸痛
◆腹部不适
◆循环衰竭
◆血栓栓塞如肺栓塞、脑栓塞等

◆水肿
◆心动过速、心律失常
◆呼吸急促
◆颈静脉怒张
◆第3心音
◆新出现的心脏杂音(二闭、三闭)
◆肺部罗音
◆血压:正常、低、高

◆ECG: 非特异性改变(窦速、T波倒置、束支阻滞) 常规,排除鉴别诊断
◆血液检查: NT-proBNP, 血红蛋白,感染指标, 肝肾功能、甲状腺功能、血气分析
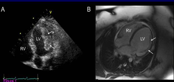
◆心脏超声: 诊断关键,LVEF <45%, 心室可能扩张.
◆其他:
胸片: 心影增大、肺淤血、胸腔积液 心内膜心肌活检:心肌炎表现,不常规推荐
心脏MRI :LGE与不良预后有关,妊娠期MRI+心肌钆增强有致畸作用,不推荐



◆对心力衰竭发生于妊娠晚期或产后数月内的患者,如经超声心动图证实左室收缩功能减低,应考虑围产期心肌病的诊断。
◆本病的诊断为除外性,需进一步检查除外其他可引起心力衰竭的疾病。





◆低盐饮食
◆限制液体摄入 <2L/d
◆戒烟酒
◆监测体重(>3-4磅/1-2d,需加强利尿)
◆体力活动取决于心衰的严重性

◆评估心肺窘迫
—血流动力学不稳定(SBP<90 mmHg, HR>130 bpm或<45 bpm)
—呼吸窘迫(RR>25/min;SaO2 <90%
—组织低灌注表现(血乳酸>2.0 mmol/L;ScvO2<60%;神志改变;皮肤湿冷, 花斑; 少尿<0.5 mL/kg/h
◆确定诊断
—ECG
—BNP
—UCG、肺部超声
—其他检查

◆5项主要措施
—1、优化前负荷 容量 vs. 利尿
SBP> 110mmHg时: 扩血管(硝酸酯) 静脉
—2、优化给氧(目标SpO2 > 95%): 无创通气, 有创通气(神志改变或持续低氧)
—3、正性肌力药和/或升压药
考虑左西孟旦0.1ug/kg/min 24h
—4、紧急分娩(剖宫产)
—5、考虑溴隐停(2.5mg bid)
如果难治性心肺窘迫、考虑机械循环辅助装置 ,断奶

1、应用时机:当药物治疗无效时,早期应用机械循环辅助装置

2、采用方法:取决于患者氧合状态、当地资源、医护经验

长期支持

短期支持: TandemHeart 左心房-股动脉通路PLVAD

短期支持:体外膜肺氧合ECMO

长期支持:左室辅助装置VAD/Bi-VAD


◆仅当患者无条件接受机械支持,或治疗6-12月心功能不能恢复时才考虑
◆PPCM心脏移植效果比其他疾病的受体差
◆PPCM死亡率高,短期排异率高,再次移植的比例高



妊娠期
◆ 禁忌:ACEI, ARBs, 醛固酮受体拮 抗剂
◆ 利尿剂:妊娠期慎用、减少胎盘血流
◆ 肼苯哒嗪和硝酸酯(分娩后改ACEI)
◆ 病情稳定患者使用β受体阻滞剂(美托洛尔)
◆考虑分娩(硬膜外麻醉经阴道分娩)

◆ACEI或ARB
◆β受体阻滞剂,推荐倍他乐克缓释片
◆醛固酮受体拮抗剂
◆利尿剂
◆伊伐布雷定:β受体阻滞剂不耐受,HR>75bpm时考虑使用,也可先于或同时使用
抗心衰治疗时间:至少12月,有心衰症状终身

◆妊娠期及产后 6~8 周内,易发生血栓栓塞
◆抗凝指征:急性PPCM接受溴隐停治疗者;或LVEF≤ 35%;心脏彩超发现有左室血栓者
◆妊娠期:肝素及低分子肝素均不能通过胎盘,安全。
华法林对胎儿有致畸作用,禁用
◆产后:华法林

PPCM患者左心室内附壁血栓


◆多巴胺D2受体激动剂,抑制泌乳,减少催乳素的生成
◆小样本的RCT:溴隐亭+传统的心力衰竭治疗可更好地改善患者LVEF及患者预后

[7]
◆德国一项PPCM 回顾性研究,n=96
◆溴隐停组 IMP(92 %, 59/64),NIMP(8 %, 5/64) ,非溴隐停组(IMP: 72 %, 23/32, NIMP: 28 %, 9/3
)
◆β受体阻滞剂+ACEI/ARB+溴隐停 (2.5 mg bid *2w+2.5mg qd *6w) 联合治疗恢复率高(达96%)


[8]
◆意见尚未统一
◆鉴于泌乳素片段参与发病机制,一般不推荐PPCM患者哺乳,但无临床医学证据
◆也有研究显示临床稳定的PPCM患者,母乳喂养预后较好
◆如发病时循环不稳定,LVEF持续<45%,产后立即需要使用ACEI及螺内酯,则不适合哺乳,建议溴隐亭缩短泌乳期

[9]
◆PPCM死亡率 报道不一:<5% ~50%
◆1/4 死于室性心动过速,多在头6个月内
◆LVEF≤35%+ 心衰,指南推荐ICD一级预防;伴血流动力学障碍的室性心律失常,ICD二级预防
◆新诊断PPCM的年轻女性,心功能可能完全恢复,故植入ICD 需慎重
◆PPCM患者心功能恢复时间很难预测,猝死风险如何降低?


◆PPCM 药物优化治疗3-6个月, LVEF ≤35% + LBBB(QRS >130 ms):CRT适应症
◆症状性心衰,非-LBBB (QRS 时限 >150 ms), 可考虑CRT

[10]
多数PPCM患者的心力衰竭可有不同程度的改善,预后好于扩张性心肌病或缺血性心肌病。

◆大部分预后良好,有部分进展为不可逆的心衰、心脏移植(4%)或死亡(5-10%)
N Engl J Med 2016;374:233-41
◆随访 6-12月LVEF ≥50–55%的比例在14~85%
◆预后不良的危险因素: 非洲裔、产后晚期起病、延迟诊断、血清肌钙蛋白升高、血浆 BNP浓度显著升高、起病时LVDD 较 大 ( >5.5 ~ 6.0 cm) 、LVEF 较低( LVEF < 30% ~ 35% )、右室功能不全、左室血栓形成
[11]
◆IPAC研究,N=100例, 平均年龄30 ±6 岁
◆结果:LVEF <30%,LVEDD < 6.0 cm , 黑人,就诊时间在产后 6 周以上者,与12月LVEF低有关
◆基线LVEF>30%且LVEDD<6.0 cm患者中91%在产后1年完全恢复,而LVEF<30%且LVEDD>6 cm者恢复比例为0%。

◆再次妊娠可能会引起心衰恶化或复发,一般建议避免
◆经心内科及高危产科会诊评估风险
◆如EF持续降低,心衰再发及死亡风险极大
◆如静息 EF 正常,负荷试验EF增加(即收缩力储备正常),则PPCM或心衰复发的风险较低
◆如患者选择妊娠,需停用ACEI等药物,并严密监护有无心衰及EF下降

◆PPCM是妊娠相关的一种严重心血管疾病
◆在治疗PPCM孕妇和胎儿时,需多学科合作
◆妊娠时避免使用胎儿毒性的抗心衰药物(ACEI/ARB、醛固酮受体拮抗剂)
HF标准治疗基础上加溴隐停(2.5mg bid×2w+2.5mg qd ×6w )
◆LVEF≤35% 或溴隐停治疗的PPCM患者,加抗凝治疗降低血栓栓塞风险(如无禁忌症)
◆心源性休克患者:考虑左西孟旦 (0.1μg/kg/min×24 h) 替代儿茶酚胺作为一线正性肌力药物,早期评估机械循环辅助装置
◆LVEF ≤35%的患者早期可考虑使用WCD预防猝死
参考文献
[1]Eur J Heart Fail 2010(12):767–778
[2]图:美国PPCM发病率:近8年发病率从每万人8.5上升至11.8 (P趋势<0.001)
[3]N Engl J Med 2016;374:233-41
[4]Circulation. 2016;133:1397-1409
[5]Trends Cardiovasc Med.?2015 Aug;25(6):499-504.
[6]J Card Fail.?2009 Oct;15(8):645-50.
[7]Karen Sliwa et al. Circulation. 2010;121:1465-1473
[8]Basic Res Cardiol (2013) 108:366
[9]Eur J Heart Fai 2014:16, 1331–1336
[10]N Engl J Med.2000;342:1077–1084
[11]J Am Coll Cardiol 2015;66:905–14
作者简介

王涟教授
主任医师,硕士生导师
◆2011年~2012年在美国Rochester大学Aab 心血管病研究所作访问学者。
◆现为中国医疗保健国际交流促进会心脏重症分会江苏省副主任委员、中国医师协会心衰专业委员会委员、江苏省微循环学会委员、江苏省心血管病学会心衰学组成员、江苏省“六大人才高峰”高层次人才。
◆从事心血管疾病诊疗21年,冠心病介入治疗16年。
◆2013年起开设心力衰竭专病门诊,组建心衰诊治团队。
◆主持省级课题两项、南京市重点课题两项,发表论文20余篇、SCI论文8篇。
◆获得江苏省新技术引进奖一等奖1次,南京市科技进步三等奖2次。