

在2017中国国际心力衰竭大会(CIHFC)暨中国医师协会心力衰竭专业委员会年会上,来自哈尔滨医科大学附属肿瘤医院的邵群教授为我们带来了“肿瘤治疗致心脏毒性一例 ”的病例分享。

病史&查体
◆吴某,女,70岁,因胸闷10余日于2016年10月24日收入院。
◆既往史:1999年右侧乳腺癌根治术,术后CEF方案(环磷酰胺+表柔比星+FT-207)化疗15周期,2003年左侧乳腺癌根治术,术后ND方案(长春瑞滨+顺铂)化疗9周期,(缺失部分资料)估算药物累计剂量环磷酰胺 8.5g/m2,表柔比星 425mg/m2。否认高血压病、糖尿病或冠心病史,否认烟酒史。
◆入院时查体:T36.5 ℃,P80次/分,R20次/分,BP136/82mmHg,一般状态良好,步入病房,双乳腺缺如,可见手术瘢痕,已愈合,右肺叩诊浊音,呼吸音减弱,心率80次/分,律齐,未闻及病理性杂音,腹平软,无压痛、反跳痛、肌紧张,肝脾肋下未触及,双下肢无水肿,生理反射存在,病理反射未引出。(身体质量指数BMI=28.5)
实验室检查

心电图

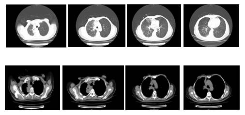
影像检查

PET-CT

病理报告

诊断&治疗方案
右肺癌(Ⅳ期)右侧胸腔积液 右肺炎 双侧乳腺癌术后
◆头孢哌酮舒巴坦钠 2.0g Bidivgtt,氨溴索30mg Bidiv
◆胸腔穿刺置管引流
◆胸腔注射:顺铂、甘露聚糖肽、地塞米松
◆经上述处置后患者胸闷缓解
◆给予胸部放射治疗
病情演变
放疗总剂量达到24.7Gy后,患者出现劳累性呼吸困难伴心悸,并逐渐加重,夜间有时需要高枕卧位方可入睡。

心电图

心脏彩超

病情演变
◆放疗科排除放射性肺炎。
◆T36.3 ℃ ,P120次/分,R21次/分, BP152/90mmHg,神清语明,球结膜无水肿,口唇无发绀,颈静脉无怒张,无三凹征、双肺底可闻及对称细湿啰音,心界不大,心律齐,120次/分,未闻及病理性杂音,腹平软,肝脾未触及肿大,双下肢无水肿。
实验室检查


冠脉CTA & 双下肢动静脉彩超

考虑补充诊断
射血分数保留的心力衰竭
NYHA心功能Ⅱ级
冠状动脉粥样硬化症
试验性治疗
[1][2]

实验性治疗
[3]

[4]

[5]

[6]



Radiation Induced Heart Disease (RIHD)
(1) Radiation-induced atherosclerosis
(a) Symptomatic
(b) Asymptomatic
(2) Pericardial disease
(a) Acute pericarditis
(b) Delayed pericarditis
(c) Pericardial effusion
(d) Constrictive pericarditis
(3) Myocardial and Endocardial disease
(a) Pancarditis
(b) Cardiomyopathy
(4) Valvular disease
(5) Conduction disturbances
(6) Atrial arrhythmia: Atrial fibrillation & atrial flutter
Risk Factors of RIHD
[7]
◆Anterior or left chest irradiation location
◆High cumulative dose of radiation (>30 Gy)
◆Younger patients (< 50 years)
◆High dose of radiation fractions (>2 Gy/day)
◆Presence and extent of tumors in or next to the heart
◆Lack of shielding
◆Concomitant chemotherapy (anthracyclines considerably increase the risk)
◆Cardiovascular risk factors (i.e. DM, smoking, overweight, ≥moderate HTN , hypercholesterolaemia)
◆Pre-existing cardiovascular disease
Radiation Effects on Myocardium
◆Acute
——Radiation-induced inflammation with transient repolarization abnormalities and mild myocardial dysfunction.
◆Long-term
——Diffuse myocardial fibrosis (often after a > 30-Gy radiation dose) with relevant systolic and diastolic dysfunction, conduction disturbance, and autonomic dysfunction.
——Restrictive cardiomyopathy represents an advanced stage of myocardial damage due to fibrosis with severe diastolic dysfunction and signs and symptoms of heart failure.
Pathology of RIHD
[8]


Radiotherapy Effects on Systolic Myocardial Function Detected by Strain Rate Imaging
[9]

Practical Use of Imaging Techniques for The Detection and Follow-up of Radiation Induced Myocardial Disease

Algorithm for Patient Management after Chest Radiotherapy

Management of RT-induced Heart Failure
[10]

本病例的局限性
◆缺乏放疗前的基线超声心动图。
◆我院开展超声心动检查时间短,报告的参数较少,所测的数值可能受到机器设备、操作者的变异等因素的影响,还需要进一步的提升。
◆缺乏心脏核磁影像。
参考文献
[1]Am J Pathol. 1973 Oct;73(1):131-46.
[2]Am J Pathol. 1974 Jan;74(1):125-36.
[3]Cardiovascular Surgery, 1996, Vol4, No2, pp.222-226
[4]Clin Radiol. 2014 Dec;69(12):1273-9.
[5]Am Heart J. 2005 Nov;150(5):977-82
[6]https://doi.org/10.1161/CIRCULATIONAHA.116.025434
[7]Eur Heart J Cardiovasc Imaging. 2013 Aug;14(8):721-40.
[8]J Egypt Natl Canc Inst. 2015 Dec;27(4):187-93.
[9]Eur Heart J. 2007 Dec;28(24):2966.
[10]Ann Thorac Surg. 2014 Dec;98(6):2115-21.
J Card Fail. 2016 Jun;22(6):475-8.
专家简介

邵群教授
哈尔滨医科大学附属肿瘤医院
心内科副主任
2003毕业于哈尔滨医科大学本硕连读临床医学专业,同年进入哈医大一院心血管内科工作,拥有十余年心内科工作经验,曾于美国Wake Forest大学医学院心内科访问学习近三年, 2016.10月调入哈医大肿瘤医院心内科工作。
专业特长:
擅长常见心血管疾病的诊治,尤其擅长冠心病、心力衰竭、静脉血栓栓塞的评估、诊断和治疗,在危重症抢救和疑难病诊治积累了较为丰富的经验
学术地位及成果:
美国心脏协会会员,黑龙江省医学会肿瘤心脏病分会委员兼秘书,黑龙江省医学会预防医学会心脏病预防与控制分会委员。主要从事心力衰竭、放化疗诱发心脏毒性的研究,研究成果在美国心脏协会科学年会获邀发言2次。