

在2016年心力衰竭国际学院苏州站活动中,来自南京医科大学第一附属医院的周蕾教授给我们带来了“射血分数保留性心力衰竭的诊断评价”的精彩报告。

1.心力衰竭的定义
①心力衰竭是任何心脏结构或功能异常导致心室充盈或射血能力受损的一组复杂临床综合征
②主要临床表现为呼吸困难、乏力及液体潴留
③主要死亡原因为左心功能衰竭(59%)、心律失常(13%)及猝死(13%)
2、心力衰竭—2012年ESC指南

3、心力衰竭—2016年ESC指南

1、HF—流行病学(死亡率)

①以LVEF ≥ 60%为参照组
②LVEF↓ 死亡率↑
2、HFpEF—流行病学(死亡率2)


3、HFpEF—流行病学(发病率)

HFpEF: 38%----54%↑ 住院人数↑
4、HFpEF—流行病学(生存率)

HFpEF生存率:舒张功能↓ 生存率↓
5、HFpEF—流行病学(患者特征)
与HFrEF患者相比:
①老年女性
②肥胖
③入院时低血红蛋白
④合并高血压,房颤,瓣膜病病史
⑤冠心病病史少见等
6、HFpEF—流行病学(预后)
影响预后的因素:
①NT-proBNP水平
②年龄,肥胖,糖尿病、房颤病史,心衰的住院次数
③慢性阻塞性肺病,中性白细胞计数,肾功能不全等
④超声指标:左室肥厚, 左房容积参数, E/ e’比值, 三尖瓣返流峰值流速,右室功能指标,整体左室长轴应变值等
1、HFpEF—2007年诊断标准
①心衰的症状or体征
②左室收缩功能正常or轻度异常(LVEF≥50%)
③左室舒张功能异常
2、HFpEF—2007年诊断流程

3、HFpEF—2016年ESC指南诊断标准
①心衰的症状or体征
②左室收缩功能大致正常:LVEF ≥50% or 40–49% for HFmrEF(灰色地带)
③BNP>35 pg/mL and/or NT-proBNP >125 pg/mL
④心脏结构及功能受损的客观依据(至少1项)
●相关结构性心脏病(LAE、LVH)
●舒张功能不全
⑤必要时,负荷实验或有创的评估左室充盈压
4、HFpEF—心衰症状与体征

5、HFpEF—钠尿肽
①标准:BNP>35pg/mL和/或NT-proBNP>125pg/mL
②BNP/NT-proBNP的价值在于除外心力衰竭
●急性:BNP<100pg/mL或NT-proBNP<300pg/mL
●慢性:BNP<35pg/mL或NT-proBNP<125pg/mL
③拟诊断心力衰竭时,则采用大于或者等于上述界值。
④在HFpEF的心力衰竭患者中,BNP/NT-proBNP可以升高不明显。
6、HFpEF—临床评估
①判断心脏病的性质及程度
●病史、症状及体征
●常规检查:超声心动图、心电图、生物学标记物、X线胸片
●特殊检查:心脏核磁共振(CMR)、心脏同位素检查、负荷及经食管超声心动图等
●有创检查:右心导管、冠状动脉造影、心肌活检等
②判断心衰的程度及其他生理功能评价
●峰值运动氧耗量(VO2max):减少:<25ml/(kg·min);降低:<14ml/(kg·min)
●HYHA分级:III,IV级为心功能不全
●6分钟步行试:<300m为明显受限
7、HFpEF—心脏结构及功能受损
①心脏结构受损(超声评估)
●左房容积指数(left atrial volume index ,LAVI)>34 mL/m ²
●左室质量指数(left ventricular mass index ,LVMI)≥115 g/m² (男性)与 ≥95 g/m² (女性)等
②心脏舒张功能受损(超声评估)
●E/e’≥13
●平均室间隔侧及侧壁侧e’均<9 cm/s
●整体长轴应变(GLS)减低
●三尖瓣返流峰值流速(TRV)增加等
8、HFpEF—负荷实验或有创评估
①负荷实验(超声评估心脏收缩与舒张功能)
●如半卧位踏车运动,观察静息与负荷状态下E/e’,TRV,GLS,每搏输出量与心排量等指标变化
②有创评估
●肺毛细血管楔压(pulmonary capillary wedge pressure, PCWP ≥15 mmHg)
●左室舒张末压(left ventricular end diastolic pressure,LVEDP≥16 mmHg)等
9、HFpEF—舒张功能负荷试验
●适用于静息状态下舒张功能轻度异常伴LV充盈压正常,但却出现难以解释的劳力性呼吸困难患者
●方法:仰卧踏车运动方案、多巴酚丁胺负荷试验
●标准:负荷后E/e’>10,DT缩短>50ms
●局限性:临床资料缺乏;伴随病变:如局限性LV功能异常、二尖瓣疾病、房颤
10、HFpEF—有创评估
介入法
●左心室舒缓时间常数(Ƭ)>48ms或
●左心室舒张末期压力(LVEDP)>16mmHg或
●平均肺毛细血管楔嵌压( Mpcw)>12mmHg或
●舒张期左心室僵硬系数(b)>0.27
●心室舒张期僵硬度(dP/dV)
●左心室顺应性(dV/dP)
1、HFpEF—超声诊断价值
①明确病因
②左室收缩功能评估
③左室舒张功能评估
2、HFpEF—超声明确病因
①观察心脏结构大小(排除先天性心脏病等)
②各节段室壁厚度及运动幅度(高血压,心肌病及冠心病等)
③瓣膜情况等(瓣膜病等)
④心包情况(缩窄性心包炎)
3、HFpEF—左室收缩功能评估

注:LVEDVI (LV end-diastolic volume index) ,左心室舒张末容积指数;
LVESVI ( LV end-systolic volume index),左心室收缩末容积指数.


4、左室收缩功能指标的正常值范围

5、HFpEF—左室舒张功能评估指标

6、多普勒超声指标正常值范围

7、HFpEF—左室舒张功能指标参考值范围

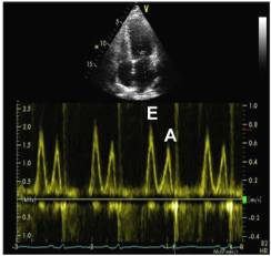
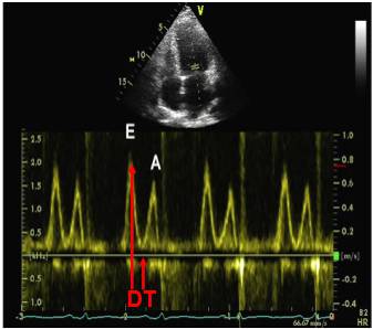
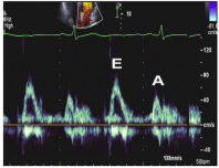
8、二尖瓣口舒张期血流频谱指标1


●Valsalva 动作E/A比值 (1.3—0.6):E/A比值减少≥50%对提示LV充盈压增高具有高度特异性,但是变化幅度较小并不提示舒张功能正常。
●当二尖瓣口血流及二尖瓣环速度测量仍不能确定病人的舒张功能时,Valsava动作还是可以作为一种保留的检查手段。
9、二尖瓣口舒张期血流频谱指标2


10、二尖瓣环运动速度指标



左室舒张功能受损
①室间隔侧e’< 7 cm/s;
②侧壁侧e’< 10 cm/s;
③平均E/e’> 14
11、肺静脉血流频谱指标


●肺静脉血流频谱:S峰、D峰、S/D比值及Ar峰
●在LVEF小于40%时,与LA顺应性减低与LA平均压增高、增加有关
12、三尖瓣收缩期返流峰值流速—TR


●PA压力增高:TR压差+RA压
●PA平均压的准确评估
13、左室舒张功能指标分级范围

14、彩色M型血流传播速度—VP

VP=39cm/s(正常值>50cm/s)
15、二尖瓣血流E波与二尖瓣环e’波开始时间差值TE-e’


16、左房增大—左房容积指数(LAVI)


LAVI(ml/㎡):
●正常值范围:≤28ml/㎡
●轻度受损:29-33ml/㎡
●中度受损:34-39ml/㎡
●重度受损:≥40ml/㎡
17、HFpEF—临床超声报告
①LV充盈压
②左室舒张功能评估
18、HFpEF—LV充盈压

19、特殊患者左心室充盈压的估测
①心房颤动:10个心动周期的多普勒超声心动图测值能提供精确信息E/e’>11
②窦性心动过速:E/e’>10(E、A、肺静脉不适用)
③限制性心肌病:二尖瓣口、肺静脉血流及组织多普勒参数:DT缩短140ms、E/A>2.5、E/e’升高>15
④肥厚性心肌病:与E/A、DT无关联;E/e’≥10,Ar-A间期≥30ms
⑤肺动脉高压:E/e’升高,但室间隔E/e’不适用于非心脏病变引起的肺动脉高压患者
20、HFpEF—舒张功能异常分级评估

21、HFpEF—左室舒张功能评估



22、射血分数正常患者出现心力衰竭症状的其他原因
①心包疾病:缩窄性心包炎
●室间隔e’>7cm/s,
●侧壁e’低于室间隔e’
●肝静脉扩张以及呼气时舒张期血流反向
②二尖瓣狭窄、LA肿瘤、三房心等
③二尖瓣反流