

在2016年心力衰竭国际学院济南站活动中,来自山东大学齐鲁医院心内科的提蕴教授带来了题为“淀粉样变心肌病”的精彩报告

基本情况: 患者葛**,男,71岁
主诉:左膝关节疼痛10年余,加重2月
入院时间:于2016.7.11入住我院骨外科
既往史:肾囊肿病史10余年,否认冠心病、高血压、糖尿病等病史
个人史:无毒物及放射性物质接触史。无吸烟史;饮酒史多年,每天约2两白酒
家族史:否认家族性遗传病史及传染病史
▶体温:36℃
▶血压:106/62mmHg
▶脉搏:96次/分
▶心率:96次/分
▶颈静脉充盈
▶肺部体征:双肺未及干湿性啰音
▶心脏体征:心律齐,未闻及明显病理性杂音
▶其他阳性体征:双下肢凹陷性水肿
双侧膝关节骨性关节炎(左侧重)
【实验室检查】—常规化验

凝血系列、CRP、ESR、甲状腺功能、风湿系列 、ANCA及 抗心磷脂抗体均未见异常
【辅助检查】—心电图

肢体导联QRS低电压 ;V1-V2 R波递增不良;T波改变
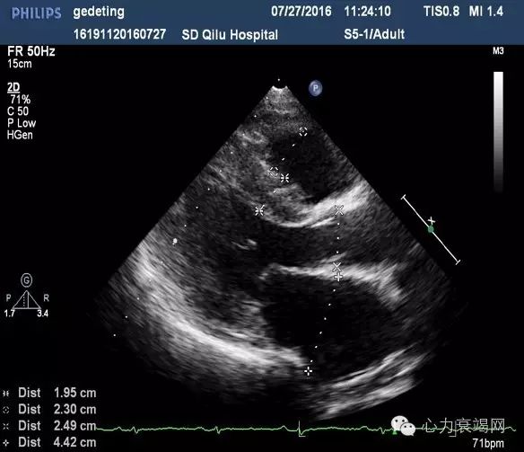
【辅助检查】—心脏超声

IVS 15mm,LVPW 14mm
LVEF 37%
肺动脉高压(中度)
E/e’=21舒张功能减低
提示:心肌病变(病因请结合临床)
▶患者心功能差,存在手术禁忌,经我科会诊后于2016.7.16转入心内科继续治疗
▶患者否认高血压病史,心脏超声无左室流出道梗阻,且心电图示肢体导联低电压,病人左室肥厚的原因?



IVS 15mm,LVPW 14mm,左室侧壁15mm 心尖部13mm;左室心肌回声不均匀;LVEF 35% ,双房扩大,肺动脉高压(中度)E/e’=21 舒张功能减低
提示:心肌病变淀粉样变心肌病待排?
▶继续完善蛋白电泳、体液免疫、血尿轻链、骨髓穿刺活检、骨髓流式细胞学、心脏磁共振、冠脉CTA等检查
【实验室检查】——蛋白电泳

血蛋白电泳示:λ轻链弱阳性
【实验室检查】——体液免疫 血尿轻链

尿κ及λ轻链均升高,λ轻链升高明显
【辅助检查】——骨髓细胞学

骨髓细胞学:三系增生骨髓象
【辅助检查】——骨髓流式细胞学 骨髓活检

骨髓流式细胞学:符合浆细胞肿瘤表型
骨髓活检:浆细胞肿瘤
【辅助检查】——心脏磁共振

双房增大,室间隔及左室下壁增厚,室间隔心肌、左室中远段心内膜
及内膜下心肌异常强化,心肌淀粉样变可能;
少量胸腔积液
【辅助检查】——腹部皮下脂肪活检

腹部皮下脂肪活检结果示:刚果红染色阳性,皮下及血管壁内可见淀粉样物质沉积
【辅助检查】——冠状动脉血管CTA

左室后支、后降支远段肌桥;
左前降支中段浅肌桥;
对角支及钝缘支远段肌桥;
左右心房扩大
【辅助检查】——动态心电图

窦性心律,偶发房性早搏,有时成对;短阵房速,偶发多源室性早搏有时成对,ST-T改变
综上所述
考虑诊断:
1、淀粉样变心肌病
心功能II级(NYHA分级)
2、双膝关节骨性关节炎

建议:
完善重要脏器功能评估
首选采用以硼替佐米为主的 联合方案诱导治疗
▶淀粉样变性是由于蛋白折叠异常而导致不可溶的纤维性淀粉样物质沉积于器官或组织的细胞外区,导致相应器官或组织功能障碍为特征的一组疾病,可累及心脏、肾脏、肝脏等
▶淀粉样变心肌病是指淀粉样物质在心脏中浸润沉积所引起的心肌疾病
▶该病发病机制不详,可能与免疫、遗传、炎症等因素有关,任何年龄发病,多发于中老年,男性发病率高于女性
根据淀粉样物质类型可分为5种类型
1.原发性或免疫球蛋白性,即免疫球蛋白轻链型,可合并多发性骨髓瘤
2.继发性免疫球蛋白性,与慢性感染、肿瘤、结核、痛风等有关。淀粉样物质为一种非免疫球蛋白,即AA蛋白,主要来源于α球蛋白,少数来源于C蛋白,肾、肝、脾等脏器易受累,心脏受累较少
3.家族性心肌淀粉样变,为常染色体显性遗传病,与血浆甲状腺素转运蛋白有关,以前称为前白蛋白(血清蛋白电泳较白蛋白更靠近阳极)。甲状腺素转运蛋白主要在肝脏合成,极微量合成于脉络丛和视网膜。血清中,甲状腺素转运蛋白转运甲状腺素和视黄醇(与视黄醇绑定蛋白一起)。野生型和突变的甲状腺素转运蛋白均可形成致淀粉样物质。TTR基因突变引起甲状腺素转运蛋白结果改变后更易形成致淀粉样物质
4.老年系统性淀粉样变(SSA),25%的80岁以上人群存在SSA,主要累及心房
5.血透相关的淀粉样变,主要为β2微球蛋白在关节和骨骼处异常沉积所致,少数沉积在心脏
1.淀粉样变心肌病常见的四大心血管异常表现为限制性心肌病、充血性心力衰竭、心律失常和体位性低血压
2.限制型心肌病:最常见。表现为右心功能不全和周围性水肿,无夜间阵发性呼吸困难和端坐呼吸
3.充血性心力衰竭:患者常有心悸、气促,两肺底湿啰音系由心肌收缩功能减退所致,心衰症状可进行性加重予常规治疗多不能奏效
4.体位性低血压:约10%患者可出现体位性低血压,多由血管和自主神经淀粉样变性所致,并与肾上腺淀粉样变性可能有关
5.心律失常很常见:检出率约50%~85%,病变累及传导系统者,多表现为束支传导阻滞、高度房室传导阻滞以及发作性窦性静止
6.此外,可检获阵发性室上性心动过速、房颤、频发性室性期前收缩,甚至室性心动过速及心室颤动
7.心绞痛:淀粉样变性累及冠状动脉者可引起心绞痛,约80%的病人胸前导联出现病理性Q波或R波递增不良
心电图、心脏彩超、心脏磁共振为诊断淀粉样变心肌病的主要辅助检查,确诊依靠心肌活检
【心电图表现 】

可能是淀粉样物质浸润干扰心室壁内电传导所致
心电图提示I度房室传导阻滞(PR 间期为286 ms)、肢体导联低电压(<5 mm)、Ⅱ、Ⅲ、aVF和V1~4导联存在病理性Q波。
【超声心动图检查 】

▶左右心室腔偏小,左心室后壁及心室间隔增厚,心肌回声呈毛玻璃样,室壁运动僵直,双心房扩大
▶心房壁、房间隔及心脏瓣膜也不同程度的增厚
▶舒张功能指标减低
【心肌MRI 】
磁共振检查对诊断全身各组织器官淀粉样变性极具价值,受累器官信号明显增高而皮下脂肪则明显衰减,心肌淀粉样变有限的应用报道显示MRI在显示和测量右室壁厚度方面优于超声
【淀粉样变心肌病确诊有赖于心内膜心肌活检】
由于心肌的浸润为弥漫性,心肌活检的敏感性可达100%

在光镜下,淀粉样物质呈无定形的均匀嗜伊红性物质(箭头所示),刚果红染色阳性

在光镜下,淀粉样物质呈无定形的均匀嗜伊红性物质(箭头所示),刚果红染色阳性
淀粉样物质在刚果红染色偏振光下呈现苹果绿色
对无条件做心内膜心肌活检的病人行肾脏、直肠黏膜、腹部皮下脂肪活检亦有助于明确诊断
【肥厚型心肌病】
家族遗传性肥厚型心肌病的心电图表现可有病理性Q波,但心电图应为高电压表现,常见ST段压低和T波倒置。超声心动图最常表现为心肌非对称性肥厚,室间隔/后壁厚度比至少>1.3,心肌回声可增强,不呈毛玻璃样浸润性改变,LVEF常明显增加,部分病例存在流出道梗阻,少见情况下可表现为左室心尖或心腔中部心肌明显肥厚。据统计淀粉样变心肌病误诊为肥厚型心肌病的比例可达58.9%
【冠状动脉粥样硬化性心脏病】
常有冠心病危险因素和家族史,冠脉CTA或冠脉造影结果异常,超声心动图检查可有节段性室壁运动异常

▶预后不良,无特异有效的治疗方法,主要是对症治疗
▶多主张应用烷化剂(如马法兰)和泼尼松治疗原发性淀粉样变。马法兰可抑制B细胞活性,降低类淀粉样物前体血清浓度。有研究表明,硼替佐米(万珂)可阻断异常M蛋白形成通路,治疗淀粉样变有效率达60%。目前,马法兰与造血干细胞移植术是非常有希望的治疗方法。心脏移植为最后的姑息治疗措施
▶尽管心肌淀粉样变均累及左室和右室,但许多患者常以右心充血性心力衰竭为主要表现,而左心衰竭表现相对较轻
▶原发性淀粉样变心肌病对传统心衰治疗药物反应差并因常合并低血压因此心脏淀粉样变心衰患者中ACEI/ARB必须慎用,因为其诱发或恶化低血压的风险
▶β受体阻滞剂未获定论,但β受体阻滞剂可导致心输出量降低,且并不能逆转心室重构
▶洋地黄和钙离子拮抗剂都可与淀粉样变纤维结合,前者易致心律失常,后者因负性肌力作用易使心力衰竭恶化,也应禁用或慎用
▶利尿治疗为基本措施,但应谨慎,前负荷降低会降低心室灌注压(限制性病理机制),进而降低心输出量,导致低血压
▶可应用醛固酮受体拮抗性利尿剂及长效硝酸酯减轻前负荷对症治疗
继发于慢性感染疾病的心肌淀粉样变心脏表现较轻,治疗原发疾病为主。对房室传导阻滞者如有危及生命者,应安装埋藏式起搏器
▶移植手术肝脏移植手术能防止疾病的进展,并可能逆转淀粉样物质在某些组织中的沉积;但当心肌严重浸润时肝、心联合移植是惟一可能有效的方法
▶因病人对强心、利尿反应差,一旦发生心力衰竭,一般只能存活1~4年,平均14个月
▶该病预后与确诊时患者的心功能水平相关,纽约心功能Ⅲ/Ⅳ级患者预后较差,平均中位生存期仅6个月
▶主要死亡原因为心力衰竭,少数死于严重的心律失常,个别病人可发生猝死