

在第14期全国心力衰竭骨干研讨班(护理)暨心力衰竭国际学院北京站,来自国家心血管病中心—阜外医院HFCU的王越教授带来了题为“床旁超滤治疗护理”的病例讨论

病例 患者男性 50岁
◆主因胸闷、憋气及水肿33年,加重2周入院
◆33年前出现午后发热,后间断出现胸闷、浮肿,当地医院检查发现“心包积液、胸腔积液”行抗感染、利尿治疗可缓解
◆14年前症状加重,于协和医院诊断“缩窄性心包炎,结核性可能性大”,行心包剥脱术治疗,术后抗结核治疗半年,可从事一般工作
1年前再次出现胸闷、憋气、双下肢水肿,逐渐加重
◆1月前行第二次心包剥脱术,术后可平卧,水肿症状明显缓解,活动耐力仍差
◆近2周再次出现水肿,逐渐加重,累及双下肢、双上肢、腹壁,不能平卧,口服及静脉利尿剂效果均不佳,来诊
入院诊断
◆缩窄性心包炎
—心包剥脱术后
— 三尖瓣中重度关闭不全
—心脏扩大
— 心功能Ⅳ级
◆心律失常
— 持续性心房颤动
— 腹腔积液
— 贫血
— 低蛋白血症
— 低钾低钠血症
— 陈旧性肺结核
体格检查及辅助检查
◆入院时面色晦暗,端坐呼吸
◆BP 127/74mmHg P 108次/分
R 20次/分 Sa02 98%
◆ECG 房颤心律◆NT-proBNP 3094 pg/ml
◆低钾低钠低蛋白血症
◆颈静脉怒张,双肺可闻及湿罗音,腹部
膨隆、张力高,双下肢重度可凹性水肿
出入量
超滤治疗前
◆完善实验室检查(血常规、电解质、肾功能、凝血指标)

◆心脏超声检查:
双房及右室增大 ,三尖瓣中量返流,右心功能减低
左室 39mm,LVEF 56%
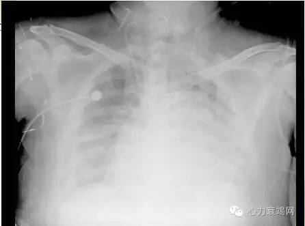
◆胸片:

两肺淤血,双侧少量胸腔积液,
右侧为著,心影增大
◆获取基线体重 105kg
◆监测血压、心率、呼吸、经皮血氧饱和度

◆配合医生完成颈内静脉穿刺置管,选12Fr双腔中心静脉导管
血滤插管必须回路通畅无明显阻力,固定结实,不易脱落
预冲
◆预冲液:肝素钠5000单位(0.8ml)加入0.9%NS 500ml
◆在预冲界面按运行键开始预冲
◆调血泵速度30ml/min,超滤速度200ml/h
◆预冲10分钟后,将静脉端管路接至动脉端管路三通上,继续运行20分钟
◆当预冲量达到结束预冲量时(默认值为100ml),血泵超滤泵停转,声光报警和屏幕提示点击“结束预冲”
进入治疗界面
超滤治疗实施
◆初始血泵流量30ml/min
◆初始超滤速度200ml/h
(根据病情、患者反应、液体负荷状态
脱水计划调整)
◆同时给予补蛋白,营养支持治疗
◆2h后,呼吸困难开始缓解
◆4h后,症状明显减轻
◆当日超滤1780ml,胸闷症状明显好转,卧位床头逐渐降低
◆期间BP稳定在110~120/70~90mmHg左右
HR稳定在90~100次/min
抗凝剂治疗—肝素钠
◆在血液进入管路前启动抗凝治疗
◆负荷量应用于APTT特别低,比如40秒或以下:
普通肝素钠用静脉推入
(肝素钠0.8ml加0.9%NS至5ml,1000u/ml)
◆肝素泵:NS 50ml+肝素钠1万单位(1.6ml)
= 200U/ml
◆初始维持量2~3ml/h
◆维持APTT 65~85秒, 4小时检查一次
APTT大于100秒时,暂停肝素应用
如患者出血倾向大,可适当减少肝素给药速率,降低
APTT数值,但滤器应用寿命将缩短
▶问题:
◆患者持续房颤,长期口服华法林
▶对策:
◆超滤治疗期间暂停华法林口服
◆停止超滤时皮下注射低分子肝素



▶问题:
第5日,患者出现TMP压力报警,110mmHg短时间内升至250mmHg
▶对策:
◆增加血流速:30ml/min至50ml/min
◆降低目标脱水量至150ml/h
◆测量APTT 56秒,增加肝素抗凝剂量
维持超滤4小时后TMP 350mmHg给予回血
跨膜压(TMP)报警

跨膜压(中空纤维膜两侧压力差)
= (滤器压+静脉压)/2 - 废液压 正常范围0~300mmHg
◆滤器正在阻塞中
TMP增加的幅度(比最初数值)增加150mmHg
◆TMP太高: +350mmHg
◆TMP过度: +450mmHg(滤膜最高可接受的跨膜压)
◆当跨膜压达到或超过450mmHg,提示滤器凝血
▶问题:
◆第7日,患者出现血压低 91/54mmHg
▶对策:
◆降低目标脱水量至100ml/h
◆监测血压、心率,3h后BP 104/79mmHg
▶问题:
◆第9日,患者出现动脉压力过低报警 -250mmHg
▶对策:
◆确认A管道有无受压或扭结
◆生理盐水冲A端,排除插管阻塞
◆针头贴靠血管壁,更换V端为引血端
◆压力在高水平稳定住,3h后达350mmHg给予回血
出入量

持续12日超滤治疗
◆共入量 21341ml,平均每日入量 1778ml
◆尿量 14890ml,平均每日尿量 1249ml
◆超滤量 46568ml,平均每日超滤量 3880ml
◆总负平衡 40117ml,平均每日负平衡 3343ml
病人能平卧,静息时无呼吸困难,心功能稳定,
LVEF 60%
化验指标的变化:血钾

化验指标的变化:血肌酐

化验指标的变化:血小板总数


