

在2016年心力衰竭国际学院福州站活动中,来自福建医科大学附属第一医院的张廷星教授带来了题为“超滤治疗难治性心衰 ”的病例分享。
年龄:77岁 性别:女性
入院时间: 2016.09.18
主诉:反复活动后气促1年余,加重1天
现病史: 1年前无明显诱因出现反复活动后气促,伴浮肿,尿少,多次住我院治疗,诊断为“三尖瓣脱垂 、心功能不全 、心房颤动”,予强心、利尿、抗凝、放腹水等治疗,气促症状缓解出院;出院后规律服用“螺内酯片、布美他尼片、地高辛、达比加群”; 入院前1天“受凉”后出现咳嗽、咳白痰并感气促加剧,休息时即感气喘,伴全身浮肿、腹胀、纳差,无端坐呼吸、夜间阵发性呼吸困难
既往史:
“双下肢静脉曲张”病史10余年。
个人史、婚育史:无殊。
家族史:无家族及遗传病史。
体格检查
生命体征:T36.3℃,P72次/分,R24次/分,BP104/56mmHg,
体格检查:神清,双侧颈静脉怒张,双下肺呼吸音低,未及干湿性啰音,心界向两侧扩大,心率104次/分,心律绝对不齐,第一心音强弱不等,三尖瓣区可闻及3/6级收缩期杂音,未闻及心包摩擦音,腹膨隆,肝肋下4指,脾Ⅱ度大;移动性浊音阳性,双下肢见静脉曲张,双下肢重度水肿。
辅助检查
ECG:房颤,完全性右束支传导阻滞

心脏彩超:
右心功能不全;
三尖瓣关闭不全伴重度反流(先天性三尖瓣发育不良?)
右心扩大,室壁运动轻度减弱,中度肺动脉高压,下腔静脉增宽,左房扩大,左室壁增厚;左室舒张功能减退,充盈压增高,LVEF值正常;心包积液。

血常规:WBC:9.61×109/L↑,NE:92%↑,Hb:84g/L↓,PLT:171×109/L。
生化:
K 3.20mmol/l↓, Na 134.6mmol/l, CL 94.0mmol/l, Ca 2.18mmol/l, ALB 36.4g/L↓ , BUN 8.60mmol/l↑, 胱抑素C-GFR25.17↓ ml/min, Cr152.0↑ umol/L,UA 638.0↑ umol/L
凝血全套:
PT 17.5↑,INR-PT 1.5↑,APTT 50.5s↑,Fib 2.64g/L,TT >180.0s↑
BNP:1044pg/ml↑;TNI:0.025ug/L↑
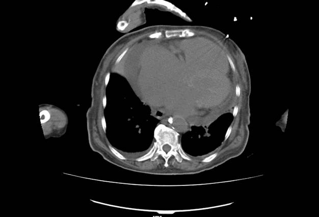
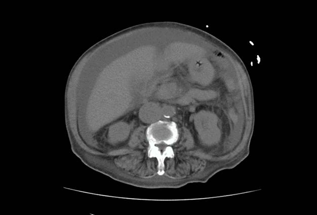
胸部+全腹平扫CT


1、双肺炎症性改变,双侧胸腔积液
2、心影增大,心包积液
3、动脉硬化
4、大量腹水,胆囊壁增厚,
5、下腔静脉增宽
◆1. 心脏瓣膜病:
三尖瓣脱垂伴重度治疗经过返流
心力衰竭(心功能IV级)
多浆膜腔积液(腹水、胸腔积液、心包积液)
◆2.心律失常:心房颤动
◆3.肺部感染
◆4.电解质紊乱:低钾血症
◆5.肾功能不全(心肾综合征?)
◆6.中度贫血
◆7.双下肢静脉曲张
◆入院后予强化利尿:从间断静脉推注到利尿合剂持续泵人,利尿剂用量需达400mg/天以上才能维持出超约1000ml/天
◆试用小剂量多巴胺增加肾血流,尿量无明显增加
◆于09-22行腹腔穿刺置管放腹水,适当补充白蛋白
(放腹水后利尿剂用量减小,出超维持1000-2000ml/天,出超量主要为腹水)
◆纠正电解质紊乱:补钾
◆暂停达比加群,改低分子肝素2500u qd抗凝,监测凝血功能
◆头孢噻肟抗感染

◆住院10天后患者仍有气喘,浮肿腹胀明显
◆继续利尿?——效果不佳、电解质紊乱、肾功能恶化
◆大量放腹水——电解质、蛋白丢失
超滤治疗优点
◆血泵速度:0~50ml/min
◆超滤量:0~600ml/h
◆体外循环管路总容量65ml
◆不会造成电解质和酸碱平衡紊乱
◆股静脉置管
◆抗凝方案:低分子肝素皮下注射
◆超滤方案:流速25ml/h,超滤250ml/h
治疗效果
超滤共持续21小时,超滤总量3626ml
◆浮肿明显消退
◆气喘缓解
◆腹胀改善
◆Pro-BNP从超滤前的10000pg/ml降至2310pg/ml
浮肿情况对比

超滤对血流动力学的影响


超滤对肾功能、电解质的影响

◆操作简便,可在床旁进行。
◆超滤速度可随时调节,过程可控。
◆疗效显著,可明显减轻患者水钠潴留。
◆对血流动力学影响小。
◆对肾功能、电解质无影响。
◆此例患者合并肝肾功能不全、凝血功能异常(药物性),停口服抗凝药改低分子肝素皮下注射,监测至凝血功能基本正常后行超滤,未出现出血或栓塞事件,监测血小板计算正常,超滤治疗总体安全。
专家简介

女,副主任医师,擅长高血压、冠心病、心力衰竭等心血管疾病。