
在2017年心力衰竭国际学院南京站活动中,来自东南大学附属中大医院的马根山教授为我们带来了题为“缺血性心衰血运重建”的精彩报告。

一、定义
◆由于冠状动脉疾病引起心肌变性、和纤维化,并导致严重左室功能障碍[LVEF≦35%-40%]的一种疾病
◆慢性、进行性
◆不包括冠心病并发症引起的心力衰竭
如室壁瘤、乳头肌功能不全、室间隔穿孔等
◆≠心肌病
◆有研究根据冠脉病变程度对心衰患者预后的预测价值。定义为符合以下条件之一的心力衰竭
▷既往有心梗或血运重建病史或
▷双支或三支血管狭窄≧75%或
▷左主干或前降支近段狭窄≧75%
◆若不符合。需考虑其他致心衰原因
◆特点:病变重。预后差[1]
(二)流行病学及预后
◆约2/3慢性心衰由缺血性心肌病引起
◆心肌梗死后2年心力衰竭的发病率约为10%
◆6.5年为40%以上
◆与不合并心衰的冠心病患者相比
▷临床合并症更多
▷出血及再次心肌梗死的发生率更高
▷治疗欠充分
▷死亡率更高[2]
Prognosis in chronic CAD
Influence of LV Ejection Fraction


二、血运重建前的评估
(一)血运重建前的评估-临床因素
临床因素
◆临床表现(ACS或SAP)
◆心绞痛的程度(无症状或按CCS分级)
◆心衰的程度
◆有无接受指南推荐的药物治疗(GDMT)
◆有无其他影响预后的因素如糖尿病、肾脏功能不全等
◆是否合并不适于血运重建的其他疾病
(二)血运重建前的评估-冠脉病变[3]

(三)血运重建前的评估-存活心肌[3]\u000b

超声心动图
◆主要用于检测存活心肌的收缩功能储备
◆小剂量多巴酚丁胺负荷超声心动图(DSE)已成为识别存活心肌(冬眠心肌)的重要方法。
◆静脉注射低剂量多巴酚丁胺(5~10μg·kg-1·min-1)后功能障碍心肌收缩能力增强,提示存在收缩功能储备(反映心肌存活)。
◆而应用高剂量多巴酚丁胺(20~40μg·kg-1·min-1)后出现新的室壁运动异常,提示存在可诱导的心肌缺血。
◆心肌声学造影(Myocardial Contrast Echocardiography, MCE)也被推荐用于评价存活心肌和可逆心肌缺血。

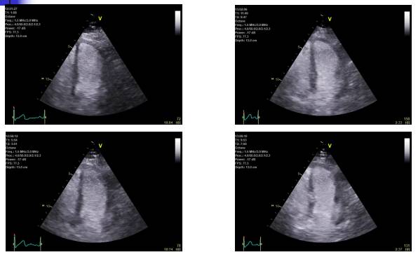
前壁心肌梗死后,多巴胺负荷试验,分别是基础状态、负荷高峰、恢复期5分钟、10分钟

心脏核磁共振成像(MRI)
◆具有大视野、任意角度、良好的空间分辨力、高度的组织定性及没有离子辐射暴露等特点,是评价心室容积、功能及室壁运动的“金标准”。
◆对比剂(钆)增强的心肌灌注扫描及延迟强化(Late Gadolinium Enhancement, LGE),可用于评价心肌缺血、识别存活心肌、诊断心肌瘢痕或纤维化。


单光子发射计算机断层显像( SPECT)
◆201铊(201TI)-SPECT、99m锝(99m Tc)甲氧基异丁基异腈(MIBI)-SPECT和99m锝(99m Tc)替曲膦(TF)-SPECT,三者均是基于细胞膜完整性来识别存活心肌。
◆目前临床主要应用两种显像模式:静态—再分布显像及运动—再分布—再注射显像。

正电子发射断层显像(PET)
◆通过代谢显像(心肌的葡萄糖代谢和脂肪酸代谢)结合灌注显像评价心肌的代谢/血流灌注是否匹配来评价存活心肌
◆若功能异常心肌节段血流灌注减低,而糖代谢相对增加,即代谢/灌注不匹配,则提示为“冬眠心肌”;若功能异常心肌节段血流灌注和糖代谢均保留,则提示为“顿抑心肌”;若功能异常心肌节段血流灌注及代谢均减低,则提示为瘢痕组织。

18F-FDG PET心肌代谢显像所示:下壁心肌代谢减低。血流-代谢匹配:心肌瘢痕或心肌不可逆损伤。

三、血运重建的获益、风险及方式选择
(一)血运重建的获益[4]
◆左室功能的改善
2004年meta分析:
▷29项研究。758例患者
▷有存活心肌:术后LVEF平均增加约8%(37% Vs 45%)
▷无存活心肌:术后LVEF无明显变化(36% Vs 37%)
◆左室舒张末径超过7.0cm的患者,即使有相当数量的存活心肌,术后左室功能仍无改善。且死亡率更高
◆生存率的改善
▷多数观察性研究发展,在有存活心肌的缺血性心肌病患者中,与单纯药物治疗相比,血运重建改善生存率和左室功能
▷有研究认为,当存活心肌〉10%时,早期血运重建的获益更大
▷但观察性研究有局限性
▷行血运重建患者的选择偏倚
▷阴性结果不被发表
▷未给予标准药物治疗
6-year follow up after CABG vs OMT \u000bwith 3VD and a LVEF 35% to 50% (CASS)

You’ve just seen three cases of complex coronary anatomy with different clinical substrates who for one reason or another were considered poor surgical candidates. They are now referred for high risk PCI, but what is the definition of high risk PCI? With an ever-aging population, we encounter high risk cases involving patient, technical and clinical characteristics every day.
For consideration of a percutaneous LVSD, the three characteristics that stand out from this list are: 1) depressed LV function (both by LVEF and hemodynamics); 2) a large area of myocardium at risk, which invokes the Jeopardy score calculation first identified by Robert Califf in 1985; and 3) cardiogenic shock. For these cases, a pLVSD may be helpful.
◆生存率的改善[5]
2002年meta分析
▷24项非随机研究,3088例患者
▷平均LVEF32%
▷重点比较血运重建与单纯药物治疗的效果
▷结果:行血运重建后,与单纯药物治疗相比。有存活心肌的患者年死亡率降低80%(3.2%VS16%);无存活心肌的患者年死亡率无明是差异(7.7%VS6.2)
Myocardial Viability and Improved Survival

Myocardial Viability and Improved Survival

◆STICH(Surgical Treatment for lschemic Heart Failure)研究[6]
▷在缺血性心肌病患者中(LVEF≦35%)
▷比较CABG+药物和单纯药物治疗
▷首项前瞻性多中心随机对照研究
◆主要终点:全因死亡
◆次要终点:1)心源性死亡;2)全因死亡+因心脏原因住院
STICH

6-year follow up after CABG vs OMT \u000bwith 3VD and a LVEF <35% (STITCH)[7][8]

(二)血运重建的风险
◆CABG术后的短期风险较高
◆一项前瞻性研究纳入1990-1997年行CABG的患者8600余例,LVEF>40%的患者院内死亡率低于2%,LVEF 20%-40%的患者为4%,<20%的患者为8%
◆克利夫兰医疗中心对1990-1999年间行CABG的14000多例患者进行回顾性分析,结果显示左室功能严重受损(LVEF<30%)患者院内死亡率为3.2%。

缺血性心肌病患者是PCI术的高危患者
◆成功率显著低于心室功能正常者
◆处理病变中无再流或慢血流增加
◆并发症发生率和住院期间的死亡率显著增加
◆心功能不全对介入治疗远期预后产生不良影响
◆术者的操作技能与风险评估至关重要
(三)是否行血运重建术?
◆可将药物治疗作为初始治疗-基石
◆规律用药仍有心绞痛症状-重新评估、血运重建
◆临床症状、冠脉病变程度、存活心肌、风险分层
◆个体化、结合指南
(四)PCI VS CABG
◆上述研究多数采用了CABG
◆缺血性心肌病患者中CABG VS PCI、PCI VS单纯药物治疗的数据有限,尚无RCT,结论不统一。

PCI与CABG的比较
◆在裸金属支架时代,两种血运重建方式在提高左心室射血分数方面差异无统计学意义 ;PCI 组在30d 主要不良心脏事件发生率及住院时间上优势明显,接受再次血运重建的患者较多 ,在30 d至1年内的主要不良心脏事件发生率较高。
◆随着药物洗脱支架(DES)的出现,支架内再狭窄率显著降低,IHF患者预后也得到明显改善。

More Data Supporting Equivalent Outcomes between CABG vs PCI Outcomes[9]

Revascularization in Patients with Multivessel Coronary Artery Disease and Severe Left Ventricular Systolic Dysfunction
Everolimus-Eluting Stents Versus Coronary Artery Bypass Graft Surgery
◆登记注册研究
◆4616例LVEF≤35%的患者,进行倾向性评分匹配
◆2126例纳入分析,EES和CABG组各1063例
◆短期随访(30天)和长期随访(中位2.9年)
PCI Vs CABG[10]
◆短期随访:PCI与CABG相比
▷死亡、心梗、再次血运重建无差异
▷卒中风险更低(HR、0.05;95%CI,0.01-0.39,P=0.004)
◆长期随访,PCI与CABG相比
▷死亡风险相似(HR、1.01;95%CI,0.01-1.28,P=0.91)
▷再次血运重建风险更高(HR、2.54;95%CI,1.88-3.44,P<0.004)
▷心肌梗死风险更高(HR、2.16;95%CI,1.42-3.28,P=0.0003)
▷卒中风险低(HR、0.57;95%CI,0.33-0.97,P=0.04)
(四)PCI VS CABG
◆心脏团队--内、外科医师和心衰医师
◆SYNTAX评分,STS评分
◆对于外科手术风险高(如STS预测手术死亡率≥5%),或不适于行外科手术且冠脉解剖合适的患者,可考虑行PCI术
◆慢性HF-REF,LVEF ≤ 35%,有心衰症状,无心绞痛症状或症状轻微,无论左心室收缩末容积大小,如有存活心肌可考虑行CABG(Ⅱa,B)。如存在巨大左心室室壁瘤,行CABG时应行左心室室壁瘤切除术(I,C)。
◆如有存活心肌,冠状动脉解剖状况适合,也可以考虑PCI治疗(Ⅱb,C)。
◆无存活心肌证据,不推荐CABG和PCI治疗(Ⅲ,B)。
中国经皮冠状动脉介入治疗指南(2016)

2016 ESC急性与慢性心力衰竭诊断与治疗指南



参考文献
[1]elker GM, et al. JACC 2002;39:210
[2]Suleiman M, et al. JACC 2006;47:962-968
[3]Patel MR, et al. J Am Coll Cardiol.2013;61:2207
[4]Bax JJ,et al. Heart 2004;90:Suppl 5:v26-33
[5]Allman KC, et al. JACC 2002;39:1151-1158
[6]Vetazqurz EJ,et al.N Engl J Med 2011;364:1607-1616
[7]Velazquez EJ et al NEJM 2011
[8]Velazquez EJ et al ATS 2013
[9]Morice MC et al. Circulation 2014
[10]Bangalore s, et al. Circulation 2016;133:2132-2140
专家简介

马根山教授
●主任医师,博士研究生导师、东南大学附属中大医院心血管内科主任、东南大学心血管病研究所副所长
●现任美国心脏病学学会委员、中华医学会心血管分会冠脉介入心脏病学组委员、中国医师协会心力衰竭专业委员会副主任委员、江苏省医学会心血管病分会副主任委员、江苏省中西医结合心血管学会副主任委员、南京市中西医结合学会常务理事
●长期从事心血管病临床医疗工作,对危重病人的抢救有丰富的经验。擅长心脏电生理检查、心脏起搏器置入和冠心病介入治疗,已独立完成和指导完成冠状动脉球囊成型术和支架术3000余例,组织和主持国际性冠心病血运重建学术会议5次。