
在2017年心力衰竭国际学院武汉站活动中,来自武汉亚洲心脏病医院的吴明祥教授为我们带来了题为“超滤治疗在心力衰竭中的应用”的精彩报告。
什么是超滤


心衰为什么需要超滤

心力衰竭:全球患病率约2%;中国发表的数据为1.3%

美国
约500万,年新增55万,年死亡50万。最主要的住院原因(65岁以上人群),住院100万例/年,单病种医保支出最大,年花费约370亿美元
中国
患病率为0.9%( 35~74岁),30天死亡率5.4%
据晚近部分地区的调查,心衰患病率可能已达到1.3%,现症患者约有800万至1千万,中国可能已经成为拥有全球最大的心衰患者群的国家。
心力衰竭的机制

90%心力衰竭住院及再次住院原因是液体潴留

利尿剂是减少心衰液体潴留的基石

利尿剂不能充分解决心力衰竭的液体滞留

随着袢利尿剂剂量加大,死亡率在增加

随着袢利尿剂剂量加大,死亡率在增加
◆利尿剂抵抗(35%)
◆电解质紊乱
◆损害肾功能,降低肾小球滤过率
◆神经内分泌激活(RAAS、SNS)
◆增加心肌组织醛固酮的摄取
◆间接降低心排量
◆增加血管阻抗
◆与利尿治疗相关的致残或死亡
◆……
没有随机对照长期临床试验证明利尿剂在心衰中的有效性和安全性

超滤治疗心衰的优势、安全性及循证证据

超滤是清除钠水潴留的金标准

超滤治疗对于心衰患者体重的影响

超滤治疗对于心衰患者液量的影响

超滤的血液动力学作用

对于再住院率的影响

对于死亡率的影响

超滤治疗的安全性

低血容量和低血压
低血压发生率20%(透析机或血液滤过治疗心力衰竭的时代)
(1)血浆再充盈率(PRR)概念
超滤直接从血浆中清除体液,同时组织间隙的液体向血管内回流
(2)影响因素:血浆胶体渗透压和组织静水压
通常成年人的PRR在500ml/h以上
(3)UNLOAD研究证实超滤速度小于500ml/h,
超滤治疗组 与药物对照组低血压事件发生率没有差别
(4)超滤速度和PRR的动态平衡决定了血浆容量的变化
心力衰竭的超滤治疗宜采取连续缓慢的超滤方案,且超滤速度≤PRR

对肾功能的影响
(1)CARRESS-HF研究显示超滤治疗组,96小时的肌酐水平较基线升高, 1个月后回到基线值
(2)UNLOAD试验、ULTRADISCO等研究认为超滤对肾功能无不利影响
(3)荟萃分析显示,超滤组治疗后肌酐浓度无明显改变
(4)改善利尿剂抵抗


电解质和酸碱平衡
(1)等渗清除钠、水
(2)阻挡大分子物质通过
(3)血浆钾、钠、氯、碳酸氢、pH无明显变化

凝血与出血风险
与此相关的出血并发症可能是超滤唯一的安全顾虑。使用普通肝素抗凝,调整aPTT靶值在全身肝素化要求的范围内,UNLOAD研究,超滤组出血发生率与药物对照组相似。
心衰超滤治疗的临床研究


超滤的适应症、禁忌症、时机、终点

美国适应症


欧洲适应症

中国心力衰竭诊治指南2014

心力衰竭超滤治疗建议
(1)心力衰竭伴利尿剂抵抗或利尿剂缓解淤血症状效果不满意的患者。
(2)心力衰竭伴明显液体潴留的患者,即有下肢或身体下垂部位凹陷性水肿 同时具备以下2项或以上的患者:劳力性呼吸困难、阵发性夜间呼吸困难或端坐呼吸;肺部湿罗音;淤血性肝肿大或腹水;颈静脉怒张>10cm;X线胸片示肺淤血、肺水肿或胸水。
(3)因近期液体负荷明显增加,导致心力衰竭症状加重的患者。
禁忌症
(1)收缩压≤90mmHg,且末梢循环不良;
(2)肝素抗凝禁忌证;
(3)严重二尖瓣或主动脉瓣狭窄;
(4)急性右心室心肌梗死;
(5)需要透析治疗者;
(6)全身性感染,有发热、全身中毒症状、白细胞升高等表现。
时机

建议早期使用
(1)RAPID-CHF试验
入院24小时内
结果发现:体重下降与液体清除方面,超滤治疗优于利尿剂
(2)UNLOAD研究
早期超滤
结果发现:超滤治疗体重降低显著,超滤治疗90天再住院率更低、 低血钾发生率更少;出院时肌酐升高类似

非“挽救性”
CARRESS-HF研究
◆入选:急性失代偿心衰伴肾功能恶化的患者
◆设计:阶梯药物治疗或血液超滤治疗组
◆主要终点:96h患者体重和血肌酐水平的变化
◆结果:
(1)两种治疗策略在体重减轻方面作用相似
(2)超滤组肌酐明显升高
(3)死亡率和心衰住院率方面无差别
分析:针对心肾综合征这一特定的患者人群,无论采取哪种治疗策略,总体预后都很差,1/3的患者在60天因心衰死亡或再次住院,实际上,达到CARRESS-HF研究药物阶梯治疗的每日3-5L尿量不太现实。
终点参考指标
◆淤血症状和水肿的缓解程度
◆超滤量
◆CVP
(24小时总超滤量:左心衰不超过3000ml; 右心衰5000ml)
病例介绍及我们的经验

超滤治疗一例双瓣置换+起搏器植入术后
重度心衰患者
◆年 龄: 75岁 性 别:男性
◆入院时间:2016.12.24
◆主 诉:起搏器植入术后8年,憋气11月,浮肿2月

病 史
现病史:患者2008年前因“心房颤动 心动过缓”在外院植入圣犹达单腔起搏器。2016.01.09患者开始出现胸闷、气促症状。2016.01.18因原起搏器电极断裂,在外院剪断起搏器电极后重新植入单腔起搏器(圣犹达5056 )。术后出现囊袋积液,于2016.02.05取出左锁骨下起搏器,于2016.02.08在右侧锁骨下植入起搏器及电极。2016.02.22患者出现喘气不适来我院,给予维护心功能等治疗,并于2016.03.04行左侧永久起搏器囊袋清创及电极拔除术。2016.10月开始患者逐渐出现轻微憋气症状,并逐渐出现双下肢浮肿,伴腹胀、纳差、端坐位呼吸。外院给予大剂量利尿剂(呋塞米、托拉塞米、托伐普坦等),间断抽胸水、腹水效果不佳。
既往史:1994年在阜外医院行主动脉瓣、二尖瓣置换术,术后长期口服华法林。2个月前因头昏、乏力在外院诊断为“脑出血”,复查CT出血已吸收。有高血压、糖尿病、慢性肾功能不全病史。\u000b

入院查体
T:36.5℃,R:18次/分,P:65次/分,BP:140/70mmHg,神清,慢性病容,半卧位,颈软,颈静脉怒张,双肺呼吸音清晰,双下肺呼吸音减低,双下肺可闻及湿性罗音,心律齐,可闻及机械瓣音,未闻及杂音。腹膨隆,质软,无压痛及反跳痛,肝脾肋下未触及,移动浊音阳性,双下肢中度水肿。骶尾部可见0.5*0.5cm皮肤破溃已结痂,及5*6cm压红,压之不褪色。 \u000b

辅助检查
◆NTproBNP 10541pg/ml;CTn-I 正常;INR 2.64
◆血常规:PLT 99 10^9/L,HB 104.5g/L
◆肝功能:TB 25.5umol/l,DB 5.8umol/l,ALB 36
◆肾功能:Cr 215umol/l,GFR 25ml/min;
◆D二聚体、血脂、甲状腺功能正常。
◆尿常规正常 \u000b

心电图


心脏彩超


腹部B超


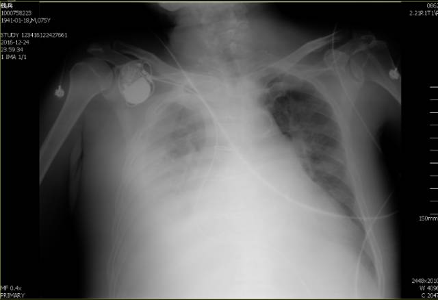
胸片


诊断
1、慢性心力衰竭(全心衰,右心衰为主)
2、重度肺动脉高压
2、病态窦房结综合征 心房颤动 单腔起搏器植入术后
3、心脏瓣膜病 二尖瓣+主动脉瓣机械瓣置换术后
4、2型糖尿病
5、高血压病3级 极高危组
6、肾功能不全

治疗情况
◆2016.2.24在我院住院诊治,给予利尿(呋塞米 20mg 口服 2次/日+间断呋塞米静推)、并行胸腔穿刺抽液(共2100ml)。2个月前患者逐渐出现轻微憋气症状,并逐渐出现双下肢浮肿,伴腹胀、纳差,在外院给予大剂量利尿剂(呋塞米、托拉塞米、托伐普坦等),效果不佳。
◆于2016.12.26开始超滤治疗,采用右股静脉置管,停用华法令,给予普通肝素抗凝,控制体内APTT60-100秒。血泵流量20-25ml/min,超滤速度200-300ml/h。
▷第一次超滤12小时,超滤量为2508ml。
▷第二次超滤46小时,超滤量约9880ml。
▷第三次超滤21小时,超滤量约5523ml。
◆连续超滤治疗5天,整个超滤过程顺利,超滤机器持续运转79小时,总超滤量为17911ml,日均超滤量为5441ml,日均出入负平衡达3834ml,至此患者心衰症状明显缓解,液体潴留现象显著消退,经决定暂停超滤治疗观察。



超滤治疗前后变化

治疗体会
◆对于严重水肿、利尿剂抵抗患者,超滤是纠正液体潴留、缓解水肿的唯一选择;
◆与利尿剂不同,超滤治疗不影响电解质平衡;
◆对于心肾综合征,超滤对肾功能有所改善;
◆心衰专用超滤设备在改善液体潴留的同时,血流动力学可保持稳定;
◆规范的治疗流程是保证成功的关键。
我们的经验

规范治疗才能保证超滤顺利实施


超滤治疗目前的困惑
◆超滤作为治疗CHF的新方法,临床研究显示了有希望的治疗前景。对于有明显的容量超负荷的患者,体外超滤能可控可预测地清除过剩的体液,能比较快速缓解呼吸困难等充血症状,消除水肿,缩短住院时间。对于超滤治疗的远期疗效,也显示了降低3个月再住院率的可喜苗头。
◆仍有诸多问题有待回答:如超滤的最佳指征和超滤治疗的最佳时机,针对心力衰竭病因的异质性,什么类型病人获益最大?超滤治疗对心力衰竭的远期预后影响需要更多、更大规模临床试验来回答。

吴明祥教授
●武汉亚洲心脏病医院副主任医师
●在急性心肌梗死早期诊断、重症急性心肌梗死(包括心源性休克)、重症爆发性心肌炎、心力衰竭、主动脉夹层、肺栓塞、重症感染及多器官功能衰竭等重症心血管疾病的救治方面有较深入的研究。