

在2017年心力衰竭国际学院郑州站活动中,来自河南省人民医院的齐大屯教授带来了题为“ 治疗慢性心衰急性加重病例分享”的精彩报告。

◆入院时间: 2017年2月23日
既往史
◆18年前患有“二型糖尿病”,应用胰岛素甘舒霖30R,血糖控制可。
◆主诉:间断胸闷、气喘18年,再发加重3天
◆现病史:
患者18 年前无诱因出现胸闷、气喘伴咳嗽、咳白色粘痰,于我院诊断为“扩心病”,此后上述症状间断发作,反复入院治疗,3天前患者症状再次出现,伴恶心、呕吐,遂再次急诊至我院。
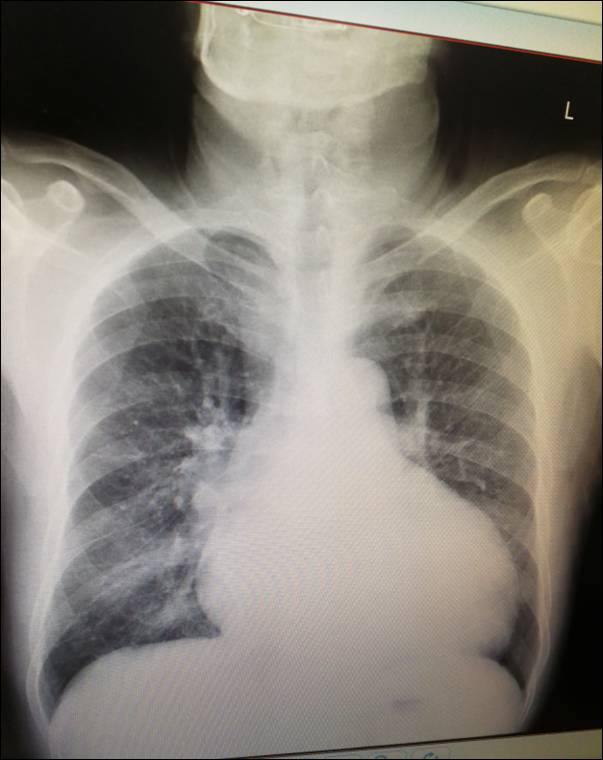
◆入院查体:T36.6℃, P 110次/分,R 22 次/分,BP 96/68mmHg。口唇无紫绀,端坐呼吸、呼吸音粗,双肺底可闻及湿啰音。心率110次/分,节律不齐,可闻及早搏,二尖瓣听诊区可闻及4/6 级收缩期杂音。双下肢无浮肿。
◆2.23
◆血常规:Wbc 8.98 *10^9、N 82.3%↑、RBC 3.5 *10^9、Hb 119g/l、HCT 34.4%、PLT 184*10^9
◆生化:ALb37g/L↓、ALT 19U/L、AST 16U/L、总胆红素 47umol/l、肌酐 77μmol/L↑、钾 4mmol/l 、钠 130mmol/l、氯 91mmol/l、钙 2.24mmol/l、NT-ProBNP 5580ng/L↑
◆心肌酶:CK:20U/L 、CKMB 16U/L、LDH:455 U/L
◆凝血四项:PT:13.6S、APTT:35.8s,D-Di :0.79mg/L
◆ 心电图(9.24) :心率失常,窦性性心动过速,偶发室早,偶发房早,完全左束支传导阻滞,ST-T改变。
心电图

ECT



◆1. 扩张型心肌病 心力衰竭 NYHA Ⅲ级
◆2.心律失常 偶发房性、室性早搏
◆3.2型糖尿病
◆4.肺部感染
◆1.抗炎(左氧氟沙星),化痰(特布他林+布地奈德雾化吸入)
◆ 2.利尿(呋塞米20mg Bid静推+口服、螺内酯20mg Bid口服),强心(地高辛),改善心肌重构(福辛普利),延缓心功能恶化(卡维地洛)、控制心律(胺碘酮),控制血糖(甘舒霖)
新的正性肌力药 - 左西孟旦
[1]

心肌收缩机制动态图示
◆Ca2+与TN-C结合时,TN-I的活性被抑制,原肌凝蛋白构型改变而开放肌动蛋白和肌凝蛋白的活性部位而发生收缩
◆Ca2+在肌质网钙ATP酶作用下返回肌质网时肌肉舒张

左西孟旦机制-----Ca2+增敏作用

左西孟旦与Tnc结合,增加Tnc与Ca2+复合物的构象稳定性;促进横桥与细肌丝的结合,增强心肌收缩力。
2014中国心衰指南推荐
[2]

应用方案

不良反应和禁忌症
◆常见不良反应
—— 头痛、低血压、低血钾、心动过速
◆主要禁忌
——显著影响心室充盈或/和射血功能的严重阻塞性心脏疾病;
—— 严重的肝、肾(肌酐清除率<30ml/min)功能损伤的患者;
——严重低血压和心动过速患者;
—— 有尖端扭转型室速病史的患者。
改善心脏供血,强心给予左西孟旦
体重:60kg, 用量:维持剂量0.1μg/kg/min
◆入院时间: 2017年4月6日
◆患者近一周来再次出现胸闷、气喘,遂再次入。
◆入院查体:T36.5℃, P 80次/分,R 20次/分,BP 100/75mmHg。口唇无紫绀、呼吸运动正常,双肺底未可闻及湿啰音。心率80次/分,节律不齐,可闻及早搏,二尖瓣听诊区可闻及4/6 级收缩期杂音。双下肢无浮肿。
◆4.7
◆血常规:Wbc 6.81 *10^9、N 65.9%↑、RBC 3.9 *10^9、Hb 124g/l、HCT 37.7%、PLT 225*10^9
◆生化:ALb39.9g/L↓、ALT 16U/L、AST 16U/L、总胆红素 19.9umol/l、肌酐 66μmol/L↑、钾 3.52mmol/l 、钠 137mmol/l、氯 97mmol/l、钙 2.47mmol/l、GLU、10.67mmol/l 、NT-ProBNP 4190ng/L↑
◆凝血四项:PT:12.6S、APTT:32.20s,D-Di :0.33mg/L
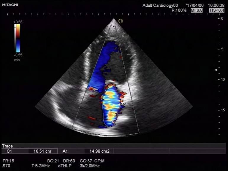
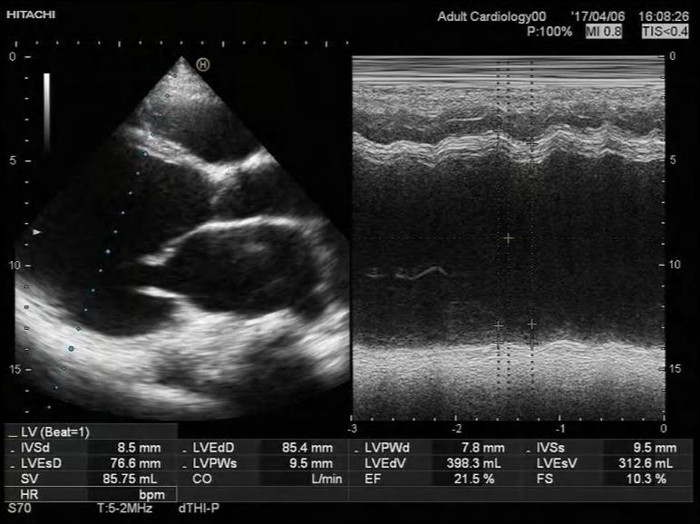
2017-4-7心超检查报告:
符合扩张型心肌病声像图改变:
◆1、左室壁运动弥漫性减弱 左心及右房大 ,EF 21%,左室缩末内径 76mm,舒末内径85mm。
◆ 2、二尖瓣前瓣瓣尖轻微对合错位并二尖瓣重度关闭不全(瓣环扩张所致)
◆3、 三尖瓣中度反流、主动脉瓣微量反流 左室收缩舒张功能减退 肺动脉高压(中度)




◆利尿(呋塞米20mg Bid口服、螺内酯20mg Bid口服),
◆强心(地高辛),改善心肌重构(福辛普利)
◆延缓心功能恶化(卡维地洛)、控制血糖(甘舒霖)
◆改善心脏供血,强心给予左西孟旦
体重:60kg, 用量:维持剂量0.1μg/kg/min
注意事项
1、左西孟旦兼具正性肌力和扩管作用,对心衰伴高血压病人效果显著;
2. 左西孟旦能增加冠脉血流,舒张体循环、肺循环,更 好的改善患者的呼吸困难,降低心衰患者短期病死率
[1]Int J Cardiol. 2011 Jul 23. [Epub ahead of print]
[2]CSC中国心衰诊疗指南2014
专家简介

齐大屯
硕士,毕业于郑州大学医学院临床医学7年制。主要从事冠心病的诊断与治疗工作。2013年12月-2014年12月在美国Lankenau医院进修,师从世界知名心内科专家严干新教授,主要从事心脏基础及临床学习。国内外学术刊物上发表论文近10篇,获省厅级科技进步奖2项。