

在深圳心力衰竭国际发展论坛暨心力衰竭治疗研讨会•深圳站活动中,来自广东省人民医院的周成斌的教授为我们带来了题为“ECMO在重症心衰及心源性休克当中的应用进展用”的精彩报告。

◆全球心衰患者已高达 2250 万人,正以每年 200 万人的速度逐年递增
◆缺血性心脏病是我国心力衰竭的最主要病因
◆普通人群,每 3-4 人中约 1例在其一生中发生心衰
◆心衰发生率 1-2/1000人·年,随年龄增加而急剧增加,80岁以上患病率增至约10%
◆首次心衰入院后1年死亡率高达26%-38%


心脏泵功能急性衰竭,导致全身供血不足,包含临床和血流动力学指标
◆临床:
周围灌注不足的症状,如皮肤湿冷、远端脉搏弱、精神状态萎靡、尿量减少
◆血流动力学指标:
收缩压<90 mmHg至少30min(或为了维持收缩压≥90 mmHg,需要血管收缩药或IABP)
肺毛细血管嵌压(PCWP)>15 mmHg
心脏指数<2.2 L/min/m2)
◆给氧、气管插管、机械通气
◆血管升压药/强心药,建立静脉、动脉通路,监测和补液
◆积极地病因学治疗,或急诊手术,或介入治疗
◆IABP或ECMO支持,等待决策、治疗、康复







◆心脏术后不能脱离体外循环
◆术后严重低心排
◆心脏移植后的过渡
◆心脏术后合并氧合功能不良

【参考指标】
◆心脏指数 <2L/m2/min 3 hrs
◆代谢性酸中毒 BE>-5mmoL 3 hrs
◆MAP
——新生儿 <30mmHg
——婴幼儿 <40mmHg
——儿童 <50mmHg
——成人 <60mmHg
◆少尿 <0.5ml/kg/hr
◆术后 难脱机者(外科畸形矫治成功)
◆大量血管活性药效果不佳


◆重症心衰患者的心脏介入治疗
◆难以纠正的心源性休克
◆CPR后不能恢复有效自主循环(ECPR)
◆终末期心脏病的移植前等待




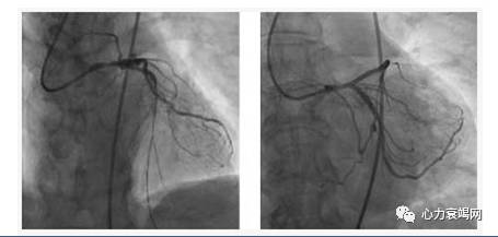
◆75岁男性,诊断:不稳定型心绞痛,冠心病三支病变(CTO),慢性左心衰(EF 23%),心功能Ⅳ级,2型糖尿病,高血压
◆实验室检查: 脑利钠肽前体:3781Pg/mL,高敏肌钙蛋白T 34.24pg/Ml
PCI前,在局麻下建立左侧股动静脉VA-ECMO,股动脉插管16Fr,股静脉插管20Fr,使用成人ECMO套包,流量2L/min
◆对于高风险PCI,预测心源性休克或心跳骤停可能发生(量化指征?),预先建立ECMO
◆严密监测植入ECMO的肢体远端血运
◆加强术后抗生素使用,预防感染
◆PCI成功后,血流动力学稳定情况下尽快撤除ECMO,避免长时间体外转流的一系列并发症

[1]










重症心衰救治组合


◆ECMO对重症心衰、心源性休克有积极地救治作用
◆ECMO是短期机械循环辅助装置,为临床决策、治疗提供时机
◆ECMO需要多学科合作
参考文献
[1]Catheterization and cardiovascular intervention 2015
专家简介

医学博士、体外循环副主任
中华医学会胸心血管外科分会体外循环学组委员
广东省优生优育协会先心病专业委员会委员
胸心外科硕士研究生导师
曾赴美国、德国、日本访问学习
特长:对先心病、瓣膜病、冠心病、大血管疾病手术中的体外循环和围术期脏器保护具有丰富的临床经验,掌握严重心脏衰竭、呼吸衰竭的体外生命支持技术。