

在深圳心力衰竭国际发展论坛暨心力衰竭治疗研讨会•深圳站活动中,来自华中科技大学附属协和医院心内科的程翔教授为我们带来了题为“心力衰竭的免疫调节治疗”的精彩报告。

中国心衰患者和高危人群数量庞大
[1]

中国心力衰竭诊断和治疗指南2014RASI+ β 受体阻滞剂构成目前心衰治疗的”金三角”

心力衰竭免疫激活的临床证据
促炎/抗炎因子失衡 Torre-Amione G, et al. J Am Coll Cardiol 1996, 27:1201-120
抗心肌抗体产生 Iwata M, et al. J Am Coll Cardiol 2001, 37:418-424
免疫细胞/非免疫细胞活化 Yndestad A, et al. Cardiovasc Res 2003, 60:141-146
心力衰竭时免疫炎症细胞因子网络失衡
[2]

慢性心衰免疫炎症激活的潜在原因
[3]

炎症介质影响心衰左室重构的机制
[4]

心力衰竭中炎症介质介导的有害作用

心力衰竭的免疫调节策略
[5]

为什么选择TNF-α作为治疗靶点?
[6]
◆SOLVD研究发现,在左室收缩功能不全的患者中血清TNF-α水平<6.5pg/ml与≥6.5pg/ml者相比预后更好
◆VEST研究发现,循环中炎症细胞因子如TNF-α、IL-6以及细胞因子受体如可溶性TNF受体水平是进展性心衰患者死亡的独立预测因子
◆动物实验发现,外源性给予TNF-α可以诱导心肌细胞凋亡、促进左室重构并增加死亡率
RENEWAL研究:依那西普(Etanercept)对心衰患者的住院率和病死率无明显改善
[7]

RENEWAL研究得出阴性结果的可能原因

ATTACH研究:大剂量英夫利昔单抗(Infliximab)治疗增加心衰患者死亡和住院的复合终点发生率
[8]

阴性结果——我们的解释?
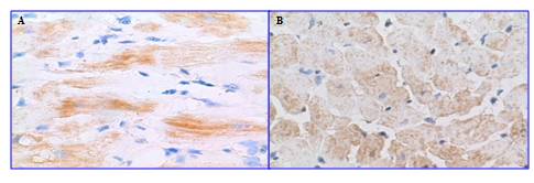
[9]

◆我们通过免疫组织化学染色发现,AMI后大鼠心肌细胞自身可以产生和分泌TNF-α。英夫利昔单抗可靶向结合表达TNF-α的心肌细胞,形成抗原-抗体复合物,通过激活补体溶解心肌细胞,故大剂量(10mg/ kg)英夫利昔单抗治疗反而增加心衰患者死亡和住院复合终点发生率
◆依那西普仅中和循环中的TNF-α,但不与心肌组织局部表达的TNF-α结合,所以RENEWAL研究得出阴性结果
己酮可可碱明显改善心衰患者的NYHA心功能分级和左室射血分数

已酮可可碱:争议尚存
◆尽管在这些研究中发现,心力衰竭患者心功能的改善伴随着血浆NT-Pro BNP、TNF-α和Fas水平的下降,但己酮可可碱是一种非特异性的磷酸二酯酶抑制剂,它对心脏的有益作用可能与该药的免疫调节作用并不相关,具体机制有待进一步研究
◆目前完成的临床试验样本量均较小,随访时间较短,有待长期、大规模、随机、双盲的临床研究进一步证实疗效
他汀的多效性——抗炎作用
除调节血脂之外的多种作用——多效性:
◆保护内皮功能
◆稳定粥样硬化斑块
◆抗炎症效应
◆抗氧化作用
◆抗栓作用
◆抑制心肾移植后的移植物排斥反应
GISSI-HF研究:瑞舒伐他汀对全因死亡率和心血管原因住院的联合终点无显著影响
[10]

CORONA研究:瑞舒伐他汀不减少心血管死亡、非致死性心肌梗死和非致死性卒中的联合终点事件
[11]

CORONA研究:瑞舒伐他汀显著降低因心血管原因住院和心力衰竭恶化住院次

数
hs-CRP≥2mg/L亚组:瑞舒伐他汀显著降低总死亡率、冠脉终点、心衰恶化住院、全因死亡/心衰住院
[12]

静脉输注免疫球蛋白(IVIG)后心衰患者炎症因子/抗炎症因子水平的变化
[13]

静脉输注免疫球蛋白(IVIG)显著改善心衰患者LVEF,降低NT-Pro ANP

经过急诊PCI的STEMI患者给予静注免疫球蛋白治疗未能改善左室重构或功能
[14]

干扰素β显著改善肠道病毒或腺病毒持续存在相关的心衰患者LVEF及心功能分级
[15]

BICC研究:干扰素β治疗降低病毒持续存在相关的心衰患者病毒负荷、并显著改善心功能
[16]
◆研究目的:干扰素β-1b(IFNβ-1b)治疗与腺病毒、肠道病毒、细小病毒持续存在相关的扩张型心肌病心衰患者的疗效
◆治疗分组:143例扩张型心肌病患者按随机为IFNβ-1b高剂量组(隔天皮下注射800万IU)、IFNβ-1b低剂量组(隔天皮下注射400万IU)和安慰剂组,共治疗24周
◆研究结果:与安慰剂组相比,IFNβ-1b能显著降低病毒负荷的一级终点。IFNβ-1b组患者12周时NYHA心功能分级和24周时的生活质量均显著改善,但目标参数如超声心动图、血流动力学指标和6min步行试验均无明显改善
基于装置的非特异性免疫调节(IMT)治疗
◆处理程序:基于装置的非特异性免疫调节治疗(又称为Celacade免疫调节治疗)是指通过应用一种医学设备VC7000A自体血液处理系统,在体外将血液样本暴露于生理化学应激原中,再将处理过的血样
注射回同一患者体内的疗法
◆治疗机理:诱导受试者体内促炎细胞因子(如TNF-α、IL-1β)合成减少、抗炎细胞因子(如IL-10)合成增加,纠正心衰患者体内炎症介质网络的失衡
ACCLAIM研究:IMT明显改善既往无心肌梗死病史和轻度(NYHA心功能Ⅱ级)心衰患者预后
[17]

免疫吸附治疗(IA)/免疫吸附后免疫球蛋白替代疗法( IA/IgG )
[18]

间断重复IA/IgG疗法可能有利于巩固疗效
[19]

免疫吸附治疗潜在获益人群的筛选策略
[20]



针对炎症免疫机制的心力衰竭患者的随机临床研究(一)
[21]

针对炎症免疫机制的心力衰竭患者的随机临床研究(二)

针对炎症免疫机制的心力衰竭患者的随机临床研究(三)

总结:炎症可能是心衰潜在的治疗靶点

◆炎症可能是心衰潜在的治疗靶点,抗炎症治疗在谨慎严格筛选的特定心衰人群中可能获益
◆未来的研究需要进一步探索如何应用生物标志物、临床参数或分子
生物学手段来识别可能对靶向抗炎或免疫调节治疗有效的特定心力衰竭人群,摸索最佳治疗方案和治疗剂量
◆针对不同病因和不同阶段的心力衰竭来设计特异性的抗炎治疗方案
◆在传统治疗手段效果不佳或已给予最优化药物治疗病情仍在进展的心力衰竭患者中,抗炎症靶向治疗和免疫调节治疗依然是一种富有前景和希望的新策略
最新荟萃分析:他汀治疗显著减少非致死心衰住院,但不减少心衰死亡
[22]

最新荟萃分析:他汀治疗显著减少非致死心衰住院

最新荟萃分析:他汀治疗显著减少非致死心衰住院或死亡的复合终点

参考文献
[1]中华心血管病杂志.2014
中华内分泌代谢杂志.2012;28(8):614-618
中国心血管病报告2007
Diabetes Care 2004;27:1047-1053风
[2]Gullestad L, et al. Expert Opin Investig Drugs, 2005, 14(5): 557-566
[3]Yndestad A, et al. Curr Cardiol Rep, 2007,9(3): 236-241.
[4]Oikonomou E, et al. Hellenic J Cardiol ,2011; 52(1): 30-40.
[5]Gullestad L, et al. Expert Opin Investig Drugs, 2005, 14(5): 557-566
[6]Expert Opin. Investig. Drugs (2005) 14(5):557-566
[7]Mann DL, et al. Circulation, 2004, 109(13): 1594-1602
[8]Chung ES, et al.Circulation,2003, 107(25): 3133-3140.
[9]程翔. 心力衰竭的免疫调节治疗. 心脏病学实践2013.人民卫生出版社. P377-383
[10]Gissi HF Investigators, et al. Lancet 2008; 372(9645): 1231-9.
[11]Kjekshus J, et al. NEJM 2007; 357(22): 2248-61
[12]McMurray JJ, et al. Circulation 2009; 120(22): 2188-96.
[13]Gullestad L, et al. Circulation, 2001, 103(2): 220-225.
[14]Gullestad L, et al. Int J Cardiol, 2013,168(1): 212-218
[15]Kuhl U, et al. Circulation, 2003, 107(22): 2793-2798
[16]AHA 2008: Betaferon in Chronic Viral Cardiomyopathy (BICC) Tri
[17]Torre-Amione G, et al. Lancet, 2008; 371(9608): 228-236.
[18]Ikeda U, et al. Current Cardiology Reviews, 2008, 4, 219-222.
Felix SB, et al. Expert Rev Cardiovasc Ther 2015; 13(2): 145-152.
[19]Reinthaler M, et al. J Clin Apher, 2014 Oct 27. doi: 10.1002/jca.21364
[20]Ameling S, et al. Eur Heart J, 2013; 34(9): 666-675.
[21]Aukrust P, et al. Anti-inflammatory trials in chronic heart failure. Heart failure monitor 2006; 5(1): 2-9.
[22]Preiss D, et al. European heart journal 2015 Jun; 36(24):1536-46.
专家简介

主任医师、教授、博士生导师
华中科技大学同济医学院附属协和医院心内科副主任。
哈佛大学访问学者。国家杰出青年基金获得者,教育部新世纪优秀人才,中华医学会心血管病学分会青委会秘书长,中国病理生理学会心血管专业委员会青委会主委,国际心脏研究会(ISHR)中国分会执委会青委会主委,湖北省医学会心血管病学分会委员。《临床心血管病杂志》常务编委,《中华心力衰竭和心肌病杂志》编委。
致力于心血管疾病免疫学发病机理研究。主持国家自然科学基金七项,教育部新世纪优秀人才支持计划一项,获科研经费1000余万元。在Nat Genet, JClin Invest及J Am Coll Cardiol等国际权威期刊以第一作者或通讯作者(含共同)发表SCI收录论文40余篇,SCI杂志他引1000余次。获省科技进步一等奖一项,参编《心脏病学》、《心血管病免疫学》等专著,获国家发明专利一项。擅长冠心病介入治疗、血脂异常和心力衰竭的诊治。