

患者资料
男性
41岁
司机
反复阵发性心悸、憋气2年,加重2月余
现病史
1.患者2年来无明显诱因出现阵发性心悸,伴憋气、出汗,发作不频繁,2月来每天均有发作,需高枕卧位,有时需端坐呼吸,无下肢浮肿。
2.11天前就诊当地医院,心脏彩超提示:LA51mm,LV57mm,RA52mm,RV25mm,EF49%。全心扩大,二尖瓣少中量返流,脑利钠肽前体1756.00pg/ml。心电图示:房颤心律。
3.予低分子肝素、米力农、阿司匹林、呋塞米、螺内酯、美托洛尔缓释片、氯化钾缓释片治疗,心悸、憋气症状较前好转,为进一步明确诊治,于2017-3-21日入住HFCU病区。
既往史和家族史
否认高血压、糖尿病、冠心病史。
饮酒史20年,每天500g。
否认有家族性遗传病史。
体格检查
1.P:65次/分,Bp:92/71mmHg
2.双肺呼吸音清,未闻及干湿罗音
3.心界向左下扩大,心率72次/分,快慢不一,强弱不等,各瓣膜听诊区未闻及杂音
4.肝剑突下2横指可触及,质韧,无压痛,表面光滑,边缘钝
5.双下肢不肿。
化验指标

动态心电图

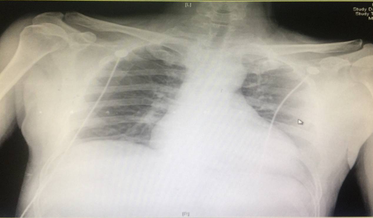
胸片

心脏彩超

冠脉CTA

睡眠呼吸监测

入院诊断
心力衰竭(待查)
酒精性心肌病(可能性大)
心脏扩大
心律失常
心房颤动【心房纤颤】
心功能Ⅲ级(NYHA分级)
2型糖尿病(待查)
肝功能异常
血红蛋白增高
高尿酸血症
酒精性心肌病定义
长期过量饮酒或间断酗酒导致心肌呈现酷似扩张型心肌病的表现,称为酒精性心肌病(Alcoholic Cardio-mypathy ACM)。1995年世界卫生组织及国际心脏病学会联合会(WHO/ISFC)工作组专家委员会关于心肌病定义和分类的报告中,将酒精性心肌病列为特异性心肌病中的过敏性和中毒性反应所致的心肌病。
酒精性心肌病流行病学研究
[1][2]
一般认为,每天摄入纯酒精量125ml(即啤酒4瓶或白酒150g),持续10年以上。
每天摄入150g酒精5年以上。
有报道说每天饮用>90g酒精,1周最少4天并持续>5年的人就有可能发展出无症状的ACM。在达到一定剂量的酒精摄入水平上,ACM的症状严重程度主要与服用酒精的持续时间相关。但是饮酒剂量和ACM的发病发展也存在很明显的个体差异。
[3]
在酒精性心肌病的形成过程中,细胞凋亡起到重要作用。Caspase-3酶和Bax蛋白在新生心肌细胞培养时急性暴露在乙醇(血浆酒精浓度0.5g/L和1g/ L)24h后水平升高。

[4]
肿瘤坏死因子 α ( tumor necrosisfactor α,TNF-α) 具有调节机体细胞生长和稳定组织的作用。肿瘤坏死因子受体 1 介导的细胞信号转导通路具有诱导细胞死亡的作用。有研究发现,TNF-α 水平的升高与 ACM 具有相关性。
[5]
乙醇代谢 后会产生有毒的代谢产物,主要是乙醛 和脂肪 酸乙酯 ,其通过激活多种信号 转导途径 来改 变 细胞 功能 。

心肌重构是长期大量饮酒的一个代偿结果

ACM 在镜下主要表现为肥大的心肌纤维排列紊乱、溶解和坏死,心肌细胞横纹肌消失,胞核皱缩变小,肌纤维空泡、水肿、透明样变性。
氧自由基是一种重要的细胞毒性因子
[8][9]

[10]
长期大量摄入酒精可使心肌组织中氧自由基的产生与清除失衡,引起心肌氧化应激反应,导致心肌细胞损伤。氧化应激可能是 ACM 的始动因素或中间环节。
神经体液方面,酒精及其代谢物可促进儿茶酚胺释放,兴奋交感神经,刺激冠状动脉上的 α-肾上腺素能受体引起冠状动脉痉挛,造成心肌缺血。
酒精可以使心肌细胞对脂肪酸的利用障碍,心肌细胞内三酰甘油、磷脂酰乙醇、脂肪酸乙酰酯等堆积,造成心肌不可逆损伤。

一、X线检查 心影普遍增大,合并心力衰竭时可有肺淤血、肺水肿甚至胸腔积液。
二、心电图 最常见的为左室肥厚伴ST-T异常,亦可见低电压、心房颤动、室性早搏、房性早搏、AVB等。
三、超声心动图 主要为左室重量增加,早期室间隔及左室后壁轻度增厚,不伴有收缩功能减退,左室舒张内径正常,出现心力衰竭时,各房房室收缩和舒张内径均增加,室壁运动减弱,左室射血分数减低。超声心动图对早期诊断及判断预后有重要价值。
[11][12][13]
1.长期大量饮酒,一般指纯酒精125ml/d或白酒约150g/d或啤酒约4瓶/d以上,持续6~10年,出现心脏扩大和心衰的临床表现,辅助检查示心室扩大、心功能减低、肺瘀血征,既往无其他心脏病病史,早期患者戒酒后(6个月),心肌病的临床表现可以逆转;
2.也有报道提出每天摄入80g酒精5年以上,出现心脏病的症状和体征;
3.每天饮用>90g酒精,1周最少4天并持续>5年的人就有可能发展出无症状的ACM等。
1.扩张型心肌病 酒精性心肌病与扩张型心肌病酷似,有学者将两者组织学及临床进行比较,结果显示:DCM的部分患者系心肌炎演变而来,故其心肌细胞肥大、纤维化程度以及细胞核等改变均较ACM明显。
2、维生素B1缺乏性心脏病 ACM多为收缩功能减低致低心排状态,而后者则为高心排状态,临床可鉴别。

[14][15]
◆一般认为在该病各个阶段戒酒均可能使病情获得不同程度的改善。因此,对ACM的预防和早期诊断及干预至关重要。
◆但Nicolás等学者研究,观察酒精摄入量的控制程度对左室射血分数(LVEF)的影响,在第一年年底,完全戒酒的患者LVEF提高了13.1%,而酒精摄入量控制在20-60g/d的患者,LVEF提高了12.2%,二者无显著差异,但那些摄入酒精仍超过80g/d 的患者LVEF平均下降了3.8%。
◆因此,尽管对完全戒酒的建议有一定程度的共识, 但仍有待解决的是适度饮酒是否足以改善这些病人的预后。
病例特点
◆患者男性,41岁,司机
◆主诉:反复阵发性心悸、憋气2年,加重2月余。
◆个人史:饮酒20年,每天500g。
◆查体: P:65次/分,Bp:92/71mmHg,双肺呼吸音清,未闻及干湿罗音,心界向左下扩大,心率72次/分,快慢不一,强弱不等,各瓣膜听诊区未闻及杂音,肝剑突下2横指可触及,质韧,无压痛,表面光滑,边缘顿,双下肢不肿。
◆辅助检查:NT-PROBNP 562Pg/ml. ALT 146 IU/L AST 74 IU/L,HGB183g/l。
◆心电图:心房颤动,低电压。
◆胸片示: 两肺轻淤血,左室增大。
◆心脏彩超:LA44mm,LV60mm,RV21mm,EF51%,左心增大,二尖瓣少中量返流。
腹部彩超:肝弥漫性病变。
◆HOLTER:持续房颤。
出 院诊断:
◆酒精性心肌病
心脏扩大
二尖瓣轻中度关闭不全
心律失常
心房颤动【心房纤颤】
心力衰竭
心功能Ⅲ级(NYHA分级)
◆肝功能异常
◆血红蛋白增高
◆高尿酸血症
治 疗
| 药物名称 | 服药计量 | 服药方式 | 服药频率 |
| 托拉塞米片 | 20mg | 口服 | 每日一次 |
| 氯化钾缓释片 | 1g | 口服 | 每日三次 |
| 琥珀酸美托洛尔缓释片 | 71.25mg | 口服 | 每日一次 |
| 盐酸胺碘酮片 | 200mg | 口服 | 每日三次 |
| 达比加群酯胶囊 | 110mg | 口服 | 每日两次 |
| 多烯磷脂酰胆碱胶囊 | 456mg | 口服 | 每日三次 |
| 泮托拉唑钠肠溶胶囊 | 40mg | 口服 | 每日一次 |
| 盐酸曲美他嗪片 | 20mg | 口服 | 每日三次 |
| 辅酶Q10片 | 10mg | 口服 | 每日三次 |
| 复合维生素B片 | 2片 | 口服 | 每日三次 |
| 劳拉西泮片 | 0.5mg | 口服 | 每晚一次 |
[1]陈灏珠,主编,内科学,北京,人民卫生出版社,第四版,1996:312
[2] Mariann R Piano. Alcoholic Cardiomyopathy: Incidence Clinical Characteristics,and Pathophysiology〔 J〕. Chest,2002,121(5)∶1638-5
[3]Molkentin, JD,Dorn,GW Cytoplasmic signaling pathways that regulate cardiac hypertrophy〔 J〕.Annual Review Of Physiology,2001,63: 391.
[4]Sharma R,A1-Nasser FO,Anker SD. The importance of tumor nec-rosis factor and lipoproteins in the pathogenesis of chronic heartfailure[J]. Heart Fail onit,2001,2( 2) : 42-47.
[5]Ren J,Wold LE.Mechanism of alcoholic heart disease『J].Ther Adv Cardiovasc Dis,2008,2(6):497-506.
[6]Guo R.Ren J.Alcohol dehydrogenase accentuates ethano1 induced
myocardial dysfunction and mitochondrial damage in mice:role of mitochondrial death pathway[J].PLo S One,2010,5(1):e8757
[7]毛华,杜峰,乔更生,等.不同剂量酒精对大鼠心肌组织的影响[J]. 实用临床医药杂志,2011,15( 9) : 8-11
[8]Andican G,Gelisgen R,Unal E,et al. Oxidative stress and nitric ox-ide in rats with alcohol-induced acute pancreatitis.[J]. World J Gas-troenterol,2005,11(15):2340-2345.
[9]Li SY,Li Q,Shen JJ,et al. Attenuation of acetaldenyde induced cellinjury by overexpression of aldehyde dehydrogenase-2(ALDH2)transgene in human cardiac myocytes role of MAP kinase signaling[J]. Mol Cell Cardiol,2006,40(2):283-294.
[10]程燕1,孙尧1,张浩良1,关战军2,氧化应激在酒精性心肌病大鼠中的作用,中国医科大学学报 第 38 卷 第8 期 2009 年 8 月
[11]王吉耀.内科学[M].第6版.北京:人民卫生出版社,2005:341.
[12]Gonzalo GM, Marta CM, Maria GD, et al. Alcoholic cardiomyopathy[J] World Journal of Cardiology 2014,6(8): 771-781 .
[13]Mariann R Piano. Alcoholic Cardiomyopathy: Incidence Clinical Characteristics,and Pathophysiology〔 J〕. Chest,2002,121(5)∶1638-50
[14]为民,井 玲,刘怡希,酒精性心肌病,中国实用内学杂志, 2012,32(7);508-510
[15] Nicolás JM, Antúnez E, Thomas AP, et al.. Ethanol acutely decreases calcium transients in cultured human myotubes. Alcohol Clin Exp Res. 1998;22:1086–1092
作者简介

吴润红
主治医师,云南省医学会心电生理和起搏分会青年委员会委员,中国控制吸烟协会心脑血管疾病控烟专业委员会委员,2003年毕业于大理学院,2003年至今在云南省老年病医院从事内科工作,2008年1月至2008年12月在中国科学院阜外医院心内科进修学习,2016年12月至2017年5月在中国科学院阜外医院心力衰竭中心进修学习及专科培训。