

病例介绍
◆姓名:梁XX
◆年龄:44岁
◆性别:男
◆病案号:
主诉:间断发热4月余,活动后胸闷气短3月余
现病史
◆4月前受冷后间断出现发热、咳嗽、咳黄痰
◆曾出现黑便,外院胃镜提示“胃出血”
◆3个月前起逐渐出现胸闷、气短,伴纳差、双下肢水肿,夜间平卧位呼吸困难
◆外院超声:LA 37mm,LV 42mm,EF 69%,室间隔12.7mm,后壁13.6mm,舒张功能减低
◆冠脉CT:未见明显狭窄
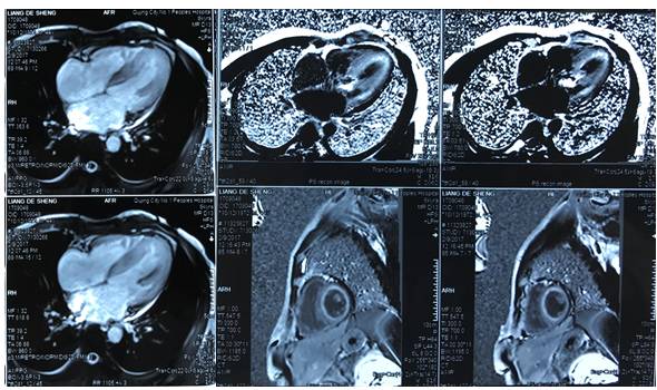
◆心脏MRI:左室心内膜下心肌灌注缺损,延迟强化可见左室心肌、室间隔内外膜下及肌壁间弥漫强化
◆外院予呋塞米40mg Qd口服利尿及地高辛、比索洛尔、培哚普利、螺内酯、万爽力等药物口服治疗
◆患者出院后心衰症状逐渐加重
◆至我院急诊,测血压80/40mmHg,予多巴胺200ug/min升压并予利尿治疗,并转入心衰病房
既往史及个人史
◆否认肝炎、结核、手术、过敏史
◆否认高血压、高脂血症、糖尿病等
◆吸烟20支/日×20年,已戒5年,偶尔饮酒
◆患者父亲死于肺癌,母亲、兄弟姐妹、子女、配偶均体健
查体
◆T 36.5℃,P 70次/分,R 18次/分,BP 90/52mmHg
◆神志清,精神可
◆颜面眼睑无水肿,巩膜无黄染,舌体宽大,颈静脉无怒张
◆心脏浊音界不大,心律齐,无病理性杂音或附加心音
◆腹软无压痛,肝脾不大
◆双下肢无水肿
辅助检查
◆血常规:WBC 9.81×109/L,N 67.8%,Hb 150g/L,Plt 194×109/L;
◆血生化:Alb 48.3g/L,ALT 29U/L,TBil 36.37umol/L,Cr 94.14umol/L,K 3.54mmol/L;
◆尿常规:pH 5.0,比重1.017,潜血、蛋白均阴性;
◆尿微量白蛋白58.20mg/L↑;
◆心肺五项:NT-proBNP 10464pg/ml,D-Dimer 2.17ug/ml,cTnI 0.010ng/ml;
◆动脉血气:pH 7.46,pO2 74mmHg,pCO2 41mmHg,HCO3 28.7mmol/L,BE 4.9mmol/L,Lac 1.0mmol/L;
◆甲功5项(-)
超声心动图
◆LA 37mm,LV 36mm,LVEF 60%,室间隔厚度14mm,后壁厚度13mm
◆心肌回声增粗,呈毛玻璃样改变,舒张受限
心包腔少量积液
◆二尖瓣环运动速率明显减低
◆限制型心肌病样表现
心电图

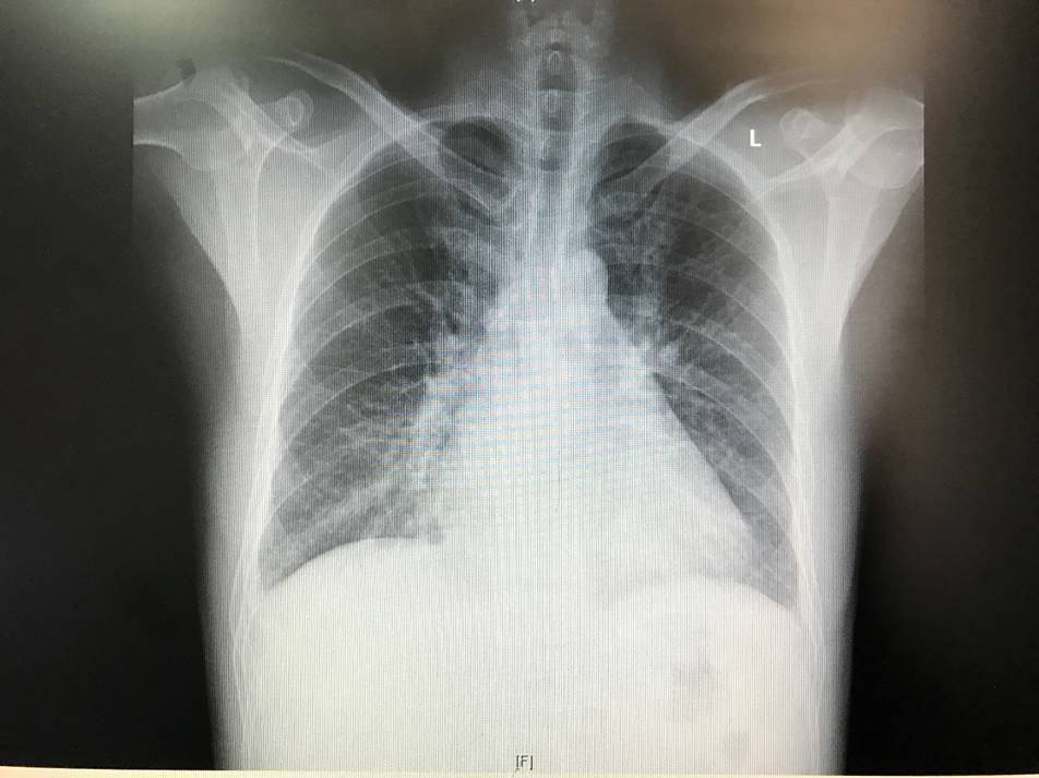
胸片

心脏MRI

腹壁活检
脂肪细胞间、结缔组织内可见少量淀粉样物质沉积,刚果红染色(+)

心肌活检

诊断
◆心脏淀粉样变性
◆心功能IV级(NYHA分级)
定义
◆由于细胞外空间被无分枝、纤维状的蛋白质性“淀粉样物质”占据导致的浸润性心肌病
◆“淀粉样物质”主要由错误折叠的蛋白质、糖蛋白以及血清淀粉样物质P等组成。
◆目前已知30余种蛋白质可在人体内沉积形成淀粉样物质,累及心脏的主要为单
克隆轻链蛋白、 突变型或野生型 TTR、ANP等
淀粉样变的发病机制
[1]

可累及心脏的淀粉样变
[2]

流行病学
[3]
◆尚缺乏准确数据
◆系统性淀粉样变患病率在十万分之一以下
◆Olmsted County 研究,美国 ,AL 3-5/1,000,000
◆英国10/1,000,000
◆瑞典 非遗传相关淀粉样变 8.29/1,000,000,其中AL 3.2/1,000,000
◆英国NAC1989-2012(National Amyloidosis Center)
—AL占68%,AA占12%,wtATTR占3.2%,mATTR占6.6%
—AL比重稳定;AA逐年减少,wtATTR则有所上升
◆AL无明显性别差异
◆mATTR男性略多于女性
◆wtATTR集中于男性(15:1)
临床表现与体征
◆一般状况:乏力、体重下降
◆心脏表现
—限制性心肌病表现:水肿、浆膜腔积液、肝大
—不明原因的心肌肥厚
—冠脉微循环受累:不典型心绞痛
◆心外表现
—肾脏:蛋白尿、肾功能不全
—周围神经系统:感觉异常,疼痛
—自主神经系统:体位性低血压,早饱,腹泻、便秘
—软组织:舌体肥大,眶周紫斑,指甲萎缩,下颌下腺肿大
—腕管综合征
辅助检查
◆评估心脏及多系统受累状况
—血常规、肝功能、肌酐、尿蛋白定量、BNP…
◆无创检查
—心动超声、心电图
—心脏MRI、SPECT显像…
◆有创检查
—组织活检:牙龈、腹壁、腓肠神经、心肌
◆怀疑轻链淀粉样变
—骨髓穿刺/活检
—骨骼影像学检查
心电图表现
◆低电压
◆电轴异常
◆约50%患者出现典型心电图表现

超声心动图
◆左室壁向心性增厚,常伴有右室增厚
◆心肌回声增强
◆瓣膜增厚
◆起搏器植入术后患者出现更严重的三尖瓣反流
◆舒张功能障碍
斑点追踪技术 Speckle tracking
◆心尖纵向收缩接近正常,心底部纵向收缩最差
◆牛眼征

心脏MRI
◆心房扩张,心室增厚
◆镓造影剂延迟强化:弥漫或片状分布,与冠脉分布无关联,心内膜下,心房心室均可见
◆T1 mapping技术:心脏细胞外容积(excellular volume)扩大
◆可评估淀粉样变负担,对预后判断有价值

核素显像
◆ATTR摄取99Tm-PYP(pyrophosphate,焦磷酸盐),而AL几乎不摄取
◆可用于ATTR与AL的鉴别

组织活检
[4]
◆70-80%患者脂肪活检结果呈阳性
◆几乎所有心肌淀粉样变患者心肌活检呈阳性•组织较小,对病理检查者技术要求较高
◆免疫组化可能出现误导性结果,对淀粉样物质前体的鉴定需通过质谱仪及基因分析
◆刚果红染色呈粉红色,在偏振光下呈特异的亮绿色
刚果红染色(肾活检)

病情评估
◆AL Mayo分期
◆NTproBNP ≥332 pg/ml或cTnT ≥0·035 ng/ml (or cTnI ≥0·1 ng/ml),均不满足为I期,满足一项为II期,均满足为III期

治疗
治疗心衰及其合并症
控制前体蛋白的形成
抗心衰治疗的特点
◆袢利尿剂:需注意低血压
◆ACEI/ARB与β阻滞剂:易出现低血压
◆地高辛:可与淀粉样物质结合,增加中毒风险
◆米多君:可用于体位性低血压治疗
◆ICD一级预防:尚无明确生存获益证据
AL-化学治疗
◆AL约占所有淀粉样变的70%,约5-10%合并MM,5-10%MM合并AL
◆进展快,心衰出现后无治疗平均生存期仅6个月
◆传统的马法兰+地塞米松方案心脏毒性较强
◆显著心脏受累患者 (NTproBNP >5000 ng/l)自体干细胞移植死亡率50-57%
◆硼替左米(万珂)心脏毒性较小
【疗效评估】
◆CR 血轻链比例恢复正常
◆PR 血轻链水平下降50%
◆心脏对治疗有反应:NTproBNP 水平下降>30% 并>300 ng/l (基线≥650 ng/l ),NYHA3或4级患者心功能好转2级以上
◆心脏损害进展:NTproBNP 升高>30%并>300 ng/l ,或心肌钙蛋白增长≥33%,或EF下降 ≥10%
◆CR或PR患者生存期可延长至8-10年
ATTR-肝移植
◆心肌浸润比AL更严重,但预后好于AL
◆肝移植后4年内生活质量稳定,但4年后显著低于未移植者
◆移植后野生型TTR蛋白可继续与已沉积的mTTR结合
◆小规模研究中,心脏-肝脏联合移植可获得长期无病生存
淀粉样变患者的心脏移植治疗
◆目前缺少大规模研究
◆Mayo诊所:23名AL患者行心脏移植,其中完成自体干细胞移植者平均生存期为6.3年,7名完全缓解者平均生存期为10.8年
◆部分类型的mTTR及wtTTR患者心脏受累较晚出现,可行单独心脏移植
药物研究进展
◆减少前体蛋白
—针对轻链蛋白的单克隆抗体
—TTR四聚体稳定剂:二氟尼柳、Tafamidis
—siRNA降低TTR的表达
◆针对血清淀粉样物质P
—CPHPC
—单克隆抗体
参考文献
[1]Ana M. D. et al, TTR Amyloidosis—Structural Features Leading to Protein Aggregation and Their Implications on Therapeutic Strategies,Journal of Structural Biology 130, 290–299 (2000)
[2]Ashutosh D. W. etal, Systemic amyloidosis, Lancet 2016; 387: 2641–54
[3]Rodney H. Falk et al, AL (Light-Chain) Cardiac Amyloidosis: A Review of Diagnosis and Therapy , J Am Coll Cardiol 2016;68:1323–41
[4]Rodney H. Falk, et al, Chapter 65, Braunwald’s Heart Disease, 9th edition, 1563
作者简介

赵志勇
汉族,1985年出生,临床医学博士。2004年考入北京协和医学院临床医学(八年制)专业并取得临床医学博士学位。2012年至中国医学科学院阜外医院内科参加工作。2017年1月至2017年4月在阜外医院心衰诊治中心心衰监护病房参加临床轮转工作与学习。在心衰病房工作期间,在中心主任和上级医师的指导下,积极参与重症患者的诊疗,掌握了急慢性心力衰竭患者的诊疗原则,同时在临床实践中学习了诸如扩张型心肌病、围产期心肌病、心肌淀粉样变、肥厚型心肌病、限制性心肌病等多种心肌病变的诊疗知识。