

在深圳心力衰竭国际发展论坛暨心力衰竭治疗研讨会•深圳站活动中,来自西安交通大学第一附属医院心血管内科的卢群医师 为我们带来了题为“急性心肌梗死合并心源性休克的综合救治一例”的精彩报告。

主诉
◆发作性胸闷2月,加重1小时
现病史
◆2月前,活动时感胸闷,位于心前区,呈压榨样,范围约手掌大小,无胸痛、发汗、恶心、呕吐,无头痛、头晕、黑矇、晕厥,无肢体放射痛,无气短、心悸、发热、寒战、咳嗽、咳痰、咯血,持续约20-30分钟休息后好转,未治疗。后上述症状多次发作,多发作于活动和饮酒时,休息后好转,未治疗。
◆1小时(2016-11-27 18:00)前于吃饭时(饮酒2两)上述症状较前明显加重,程度剧烈,难以忍受,伴大汗淋漓、恶心、头晕、濒死感,无呕吐、晕厥,无发热、寒战,无咳嗽、咳痰、咯血,持续不缓解,急送我院急诊科,行心电图检查示:Ⅰ、AVL导联ST段抬高0.1-0.2mv,Ⅱ、Ⅲ、AVF导联ST段压低0.3mv、T波倒置,胸前导联R波递增不良,急请我科住院总医师会诊,以“急性心肌梗死”收入院。自此次疾病加重以来,食欲、睡眠一般,大小便无改变,体重无改变。
既往史、个人史、家族史
发现“甲状腺功能减低”2周,服用优甲乐 100ug/日;
否认“高血压”、“糖尿病”;
否认肝炎、结核病史;
10年前,外院行胃大部切除术,术中曾输血(具体不能提供);
否认外伤史;
否认食物、药物过敏史;
吸烟30年,20-40支/日;
饮酒20年,每日饮酒量不固定;
否认家族性遗传病史。
入院查体
◆T:35.6℃,P:62次/分,R:19次/分,Bp:73/62mmHg
体重:80kg
◆发育正常,急性病容,烦躁不安,肢体湿冷,下肢皮肤可见花斑。
◆双肺呼吸音粗,两肺底未闻及干、湿啰音,无胸膜摩擦音。
◆心前区无隆起,心尖搏动位于左侧第5肋间锁骨中线内0.5处,心浊音界不大。心率62次/分,心音低钝,律齐,A2>P2,各瓣膜听诊区未闻及杂音。无脉搏短绌。
◆腹软,全腹无压痛及反跳痛,肝、脾肋下未触及。肠鸣音3~4次/分。
◆双下肢无明显水肿。
心电图

初步诊断
冠状动脉粥样硬化性心脏病
急性前间壁、侧壁心肌梗死
心源性休克
心功能Ⅳ级(killip分级)
客观评定D
甲状腺功能减低
19:15 入CCU:
立即术前准备,联系导管室!
◆阿司匹林 300mg、替格瑞洛 180mg和立普妥20mg口服,
◆静推昂丹司琼8mg、兰索拉唑30mg
19:30上台
19:37造影:严重的左主干病变!
A. 继续右冠造影?
B. PCI治疗?
C.立即IABP植入?
D. ECMO治疗?

19:46 IABP成功植入
19:53 开始PCI

20:06 球扩后植入1枚支架

20:16 最后结果

病情变化
1、低血压:腔内压67/62mmHg(IABP保护下,多巴胺 8ug/kg.min,间断静脉注射,2小时使用总量 200mg;去甲肾上腺素 16ug/min,2小时使用总量 8mg,肾上腺素 2mg);
2、低氧血症:SPO276%(无创呼吸机辅助呼吸,氧浓度100%);
3、心律失常:室性心动过速;
4、酸中毒:乳酸6.4mmol/L,PH7.322;
5、无尿。
心电图

血气分析

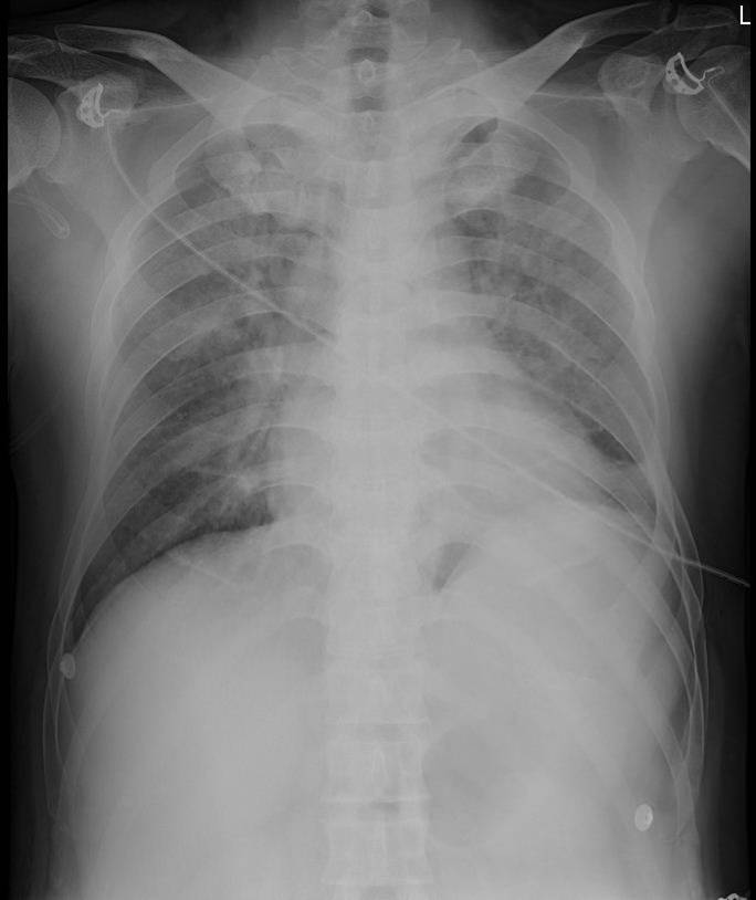
胸片(2016.11.27)
1.两肺大片状渗出影,考虑两肺肺水肿可能;
2.心影大。

目前诊断

◆冠状动脉粥样硬化性心脏病
◆ 急性广泛前壁心肌梗死
◆ 心源性休克
◆ 心律失常
◆ 室性早搏
◆ 非持续性室性心动过速
◆ 心功能Ⅳ级(killip分级)
◆ 客观评定D
目前有ECMO(体外膜肺氧和)指征!
22:15 清醒状态下VA-ECMO术
◆22:21 血压回升至102/56mmHg,氧饱和度100%,可见清亮尿液。
◆23:30 左下肢感觉障碍,皮温降低、花斑、足背动脉搏动未触及;

23:55 ECMO下肢分流术
保证下肢供血

病情变化及治疗策略
(2016-11-28)
◆倍他乐克 47.5mg/日;
◆贝那普利 10mg/日;
◆呋塞米 20mg/日;
◆螺内酯 20mg/日;
◆立普妥 20mg/晚;
◆拜阿司匹林 100mg/日;
◆波立维 75mg/日;
◆逐渐停用多巴胺和去甲肾上腺素;肝素持续泵入;红细胞2U;血浆400ml;白蛋白20g;预防感染;
◆血压回升110-120/70mmHg;
◆出入量平衡

(2016-11-30)
◆倍他乐克 95mg/日;
◆贝那普利 20mg/日;
◆呋塞米 20mg/日;
◆螺内酯 20mg/日;
◆立普妥 20mg/晚;
◆拜阿司匹林100mg/日;
◆波立维 75mg/日;
◆肝素持续泵入;红细胞2U;血浆400ml;白蛋白20g;预防感染;
◆血压回升120-140/70-90mmHg;
◆出入量平衡(入量:4105ml,出量:5250ml)。
心电图

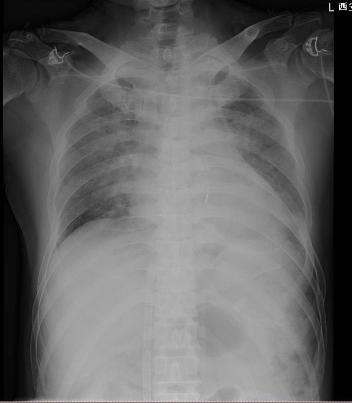
胸片(2016-11-29)
◆双肺渗出,考虑肺水肿,心影大,较2016-11-27片相比,心影较前稍增大;
◆心影处可见一线样高密度影,请结合临床。

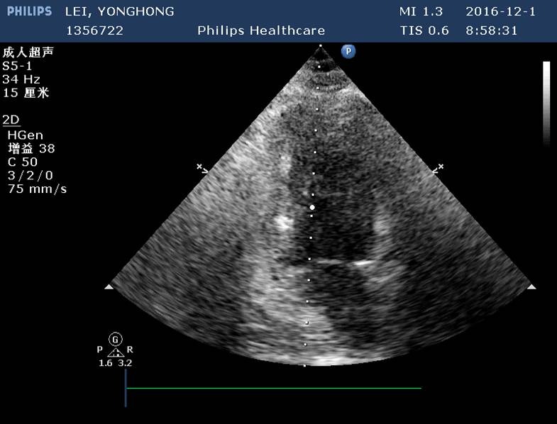
心动超声

左室壁节段性运动异常(室间隔心尖段、心尖部、前壁心尖段);
左室整体收缩功能正常(较前明显改善),EF62%
其他辅助检查的变化趋势


(2016-12-1)
◆ECMO 保护下行CAG+PCI干预RCA;
◆拔出ECMO,继续IABP保护,2天后撤出IABP;

出院医嘱
(12-04)
◆拜阿司匹林 100mg/日;
◆替格瑞洛 180mg/日;
◆倍他乐克 95mg/日,逐步增加为190mg/日;
◆贝那普利 20mg/日;
◆呋塞米 20mg/日;
螺内酯 20mg/日;
◆立普妥 20mg/晚;
出院6个月随访(2017-6-2)

LV53/32mm;
LVEF67%;
NT-ProBNP215pg/ml
讨论一
通过心电图早期识别急性左主干闭塞至关重要
广泛性ST段压低
◆aVR导联ST段抬高
◆前壁(前侧壁)心肌缺血
6+2现象
◆aVR和V1导联ST段抬高,且STaVR>STV1;
同时合并≥6个导联ST段压低
讨论二
血运重建至关重要!!!

讨论三
器械支持治疗保驾护航

ECMO用于循环支持的适应症
◆急性的、严重的、对常规治疗无反应,预计2-4周内能恢复或改善的急性心肺功能衰竭。
◆心源性休克、爆发性心肌炎
◆重症肺炎、大面积肺栓塞
ECMO不能治疗疾病,只是争取治疗时间
讨论四
尽早启用抗心脏重构药物,密切随访

急性心肌梗死后的慢性心力衰竭与机体“交感神经-肾上腺髓质激素” /“肾素-血管紧张素-醛固酮”系统的激活密切相关,构成“黄金三角”的三类药物则分别通过拮抗以上两种系统的激活和作用,延缓甚至逆转心衰
专家简介

卢群
助理研究员,主治医师
主持了西安交通大学培植项目,TGF-β1/Smad信号通路在醛固酮致心肌纤维化中的作用机制研究;
主持了陕西省科技惠民计划项目,镇巴县慢性心力衰竭患者的规范化管理体系建设与应用。参与了国家科技惠民计、咸阳市地方病、出生缺陷等防控体系建设及陕西省科技统筹创新工程计划项目;
主持了国家自然科学基金面上项目,血管周围脂肪组织炎症致动脉粥样硬化发生与发展的分子机制研究;
参与了国家863项目,2012CB517804、心血管疾病分子分型与个体化诊疗。