

病理解剖
◆心包为包裹心脏及大血管根部的纤维浆膜囊状结构,外层叫纤维心包,由致密结缔组织构成,内层为浆膜心包。分为脏、壁两层。壁层衬于纤维心包的内面,脏层附于心肌层外面,即心外膜
◆心包腔在心尖、心前区及膈面范围较大
◆能容纳较大量的积液
◆保护作用,限制心脏过分扩张,有助心房充盈

正常时心包腔有10-50ml淡黄色液体,起润滑作用

心包积液
◆心包腔内液体量增加,超过50ml,即为心包积液
◆心包积液只是一个临床表现,病因复杂
病因学
[1]


常见病因
[2]
不同经济地域患者病因构成比明显不同
【发达国家】
◆特发性(50%)
◆肿瘤性(10-25%)
◆医源性(15-20%)
◆感染性(15-30%)
◆结缔组织病(5-15%)
◆结核性占比较低
【发展中国家】
◆感染性,其中结核性甚至可高达60%
◆肿瘤性
◆动脉瘤破裂
我国的调查显示:肿瘤性及结核性心包积液占近70%(分别为38.6%、28.6%),其它包括结缔组织病、甲状腺功能减退、心肌梗死后游离壁破裂、介入操作的医源性也较常见
心包积液的分类
[3]

心包积液临床表现
◆乏力、发烧、心前区疼痛
◆食管受压致吞咽困难;气管受压致咳嗽;肺受压致呼吸困难;膈神经受压致嗝逆;喉返神经受压致声嘶;邻近腹腔脏器受压出现恶心或腹胀感
◆慢性心包积液常能参加日常工作而无自觉不适,可逐渐出现症状
◆当心包积液突然急剧增长时,心包的适应性扩张低于积液的增加,表现为限制性的心包积液,才有可能出现心包堵塞
大量心包积液的临床表现
[3]

体征
◆心界普大
◆心尖搏动减弱或消失
◆心音遥远
◆心脏摩擦音
◆心包叩击音
◆左肺受压征(Ewart征)
◆心脏压塞征
◆脉搏细弱、脉压减少、奇脉

病理基础和血流动力学改变
因积液量及增长速度不同
◆1.少量积液或缓慢增长的大量积液
---心包腔压力轻度升高
◆2.短时内迅速增长的少量积液或超过心包代偿的大量积液
---心包压急速升高
血流动力学:心包积液→心包腔压力上升→右心回流受阻→心室舒张充盈受限→心充盈量急剧下降→心排量减少→收缩压下降休克、脉压差缩小、奇脉(吸气时回流量少,血压明显下降)
辅助检查
超声心动图
♦少量:左室后壁与心包分开<10mm,积液<100ml
♦中等量:左室后壁与心包分开10-20mm,积液100-500ml
♦大量:左室后壁与心包分开>20mm,积液>500ml查

一般X线表现
♦1.积液<300ml:心影无明显改变
♦2.积液>300ml:
(1)当心包积液量大300-500ml,心影开始向两侧增大,并有上腔静脉影增宽及心膈角变钝的表现
(2)当心包积液超过1000ml,心影明显增大呈“烧瓶状”或“球形”,各心弓界限不清,心膈角变锐
(3)肺纹理正常或减少,肺野清晰
(4)短期内几次X线片出现心影迅速扩大
(5)上纵隔影短缩
(6)心脏搏动减弱或消失

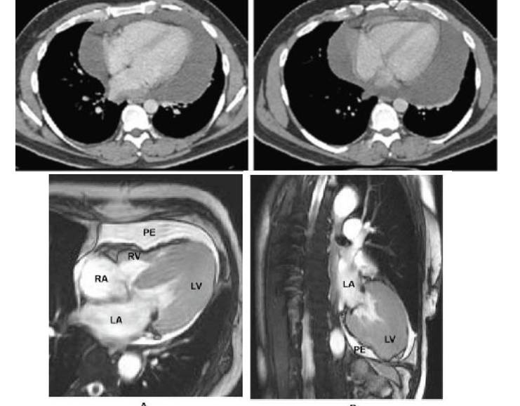
CT与MRI:可对积液的量及性质做出判定
♦1.少量积液:<100ml,舒张期心包厚度5-15mm,位于左室后壁及右房侧壁
♦2.中量积液:100-500ml,心包厚度15-24mm,位于右室前及心尖下外方
♦3.大量积液:>500ml,心包厚度>25mm,形成包绕心包的异常密度带
♦4.MR信号:炎性渗出含蛋白成分高—不均匀高信号
T1WI血性积液—中等或高信号
肿瘤—不均匀的混杂信号

多种检查的应用比较
[4]

心包积液的诊断
♦凡是患者有呼吸困难、心动过速、心影增大及静脉淤血现象而未能找到通常引起心力衰竭的心脏病时
♦目前确诊心包积液比较容易,但难确诊病因

心包积液分类管理的简化流程

心包积液治疗
心包积液治疗原则
♦(一)原发疾病的治疗
心包积液的病程和预后主要取决于原发病因
♦(二)心包积液的处理
1 心包穿刺术--判定积液性质;缓解心包压塞症状;注入抗菌素或化疗药物
2 心包切开术—大量心包积液,达到持续引流的作用
♦(三)心包积液伴心包压塞的处理
1 改善血流动力学--快速静滴生理盐水、右旋糖酐等扩容;应用多巴胺等正性肌力药增强心肌收缩力、维持血压
2 降低心包腔内压力—行心包穿刺或心包切开
心包积液推荐治疗
♦1.病因治疗
心包积液的病程和预后主要取决于原发病因
♦2.内科药物保守治疗
心包炎性疼痛(阿司匹林/NSAIDs/秋水仙碱)
♦3. 介入性心包诊疗技术或外科手术治疗
——经皮(超声、X线、ECG)引导心包穿刺引流术、心包内镜穿刺活检术、球囊心包切开术、心包腔内药物灌洗治疗
——经胸心包开窗术及心包剥离术、心包-腹腔分流术等

心包病因治疗
♦感染性:病毒/细菌(结核性)/真菌
♦肿瘤性:原发/继发
♦自身免疫性:SLE/甲状腺功能减退症
♦代谢性:尿毒症性
♦医源性或外伤性
♦药物相关等
↓↓↓↓↓↓
病因治疗是上述心包积液患者的重要干预措施
心包炎性疼痛治疗
[5][6][7]
♦首发急性心包炎患者
一线用药阿司匹林以及NSAIDs用于特发性或病毒性急性心包炎缓解症状、抑制炎性反应
——用法:阿司匹林750-1000mg q8h;布洛芬600mg q8h,口服治疗时间为1-2周,每周减量1/3-1/2,联合胃肠道保护剂(米索前列醇或奥美拉拉唑)
♦COPE、CORP-2、COPPS、COPPS-2等研究显示:
秋水仙碱已成为治疗急性心包炎、预防复发性心包炎、心包切开综合征的联合一线用药。秋水仙碱作为NSAIDs的辅助用药,可明显降低急性心包炎症状持续时间、复发性心包炎复发时间以及发生率,其早期干预可降低心脏手术后心包切开综合征、心房颤动的发生率
——用法:0.5mg qd(体重<70kg)或0.5mg bid(≥70kg)治疗一个月(心脏手术后一级预防)或3个月(急性心包炎二级预防)
——COPE、CORP-2、COPPS、COPPS-2等研究只纳入特发性、结缔组织病、心肌损伤综合征等所致心包积液,未纳入结核、肿瘤患者
[8][9][10]
♦糖皮质激素在治疗急性心包炎性疼痛方面仍有争议
目前推荐糖皮质激素用于非甾体类抗炎药和秋水仙碱禁忌或治疗失败的急性心包炎患者二线用药(排除感染或存在特殊适应证,如自身免疫性疾病、尿毒症性心包炎)
——用法:小剂量激素口服法(0.2-0.5mg/kg/d)替代既往高剂量(1.0mg/kg/d),症状完全缓解以及炎性指标(如C反应蛋白)降至参考范围后可考虑逐渐减量,同时给予补充钙和维生素D或双磷酸盐预防骨质疏松
心包穿刺引流术
【指征】
心包填塞时挽救生命的治疗
UCG舒张期积液深度>20mm的患者,或积液较少但目前未明确病因者
【禁忌症】
不能纠正的凝血性疾病、抗凝治疗、血小板<50*109/L、穿刺部位的感染、积液量少、后壁或局限的积液
心包填塞情况下心包穿刺
[11]
♦原则首先区分血流动力学是否稳定、是否存在急诊穿刺疾病,根据综合评分系统评估是否行早期穿刺,根据不同疾病与临床状态采取合适的引流术式
♦综合评分系统根据病原学、临床表现、影像学进行分步积分综合评定
♦心包穿刺引流根据不同血流动力学状况可分紧急、早期、推迟
【紧急】不需要进行综合评分,主要包括动脉夹层、心肌梗死后游离壁破裂、医源性操作或新近的胸部创伤、不稳定败血症出现经皮途径不能处理的多房脓性积液等导致严重血流动力学不稳定情况
【早期】综合评分≥6分;排除穿刺禁忌症后在12-24小时进行穿刺引流以协助诊断治疗
【延迟】综合评分<6分;采取临床症状、超声心动图随访,内科综合处理后未见缓解(不超过12-48小时)

心包腔内药物灌洗治疗
♦心包腔内药物灌洗治疗主要包括心包腔内纤维溶解治疗、心包腔内药物灌注治疗等
♦一般适用于恶性心包积液、感染性心包积液
♦可减少恶性心包积液复发、加快心包积液引流、降低心包缩窄的发生风险
外科手术治疗
经胸心包开窗术及心包剥离术、心包-腹腔分流术
♦心脏填塞
♦药物治疗无效的有症状的中到大量心包积液
♦怀疑未知的细菌或肿瘤病因学
心包积液的预后
♦取决于原发疾病
♦与早期心包填塞、再发心包积液及远期心包缩窄等并发症相关
♦并发大量心包积液是基础疾病预后不佳的重要独立预测因素
[12]
♦平均随访28个月,46%的患者死于基础疾病相关并发症,未发现与心包疾病直接相关性死亡
♦6个月病死率:肿瘤性预后不佳,可高达80.3%;非恶性心包积液达18.2%
♦结核性心包积液的预后与明确诊断的时期、抗结核治疗是否合理、预防缩窄性心包炎有关
♦特发性心包积液耐受性以及预后相对良好,指南提出每3-6个月心超监测随访观察,在诊断性心包穿刺活检及其他相关检查排除继发性因素后,进行早期心包切除术是根治本病的重要手段

总结
♦病因诊断:包含病史、基础疾病理化检查、介入性心包诊断技术,结合动态随访
♦处理:病因治疗、内科药物保守治疗、介入性/外科心包治疗技术
♦预后:与原发疾病相关;与早期心包填塞、再发心包积液及远期心包缩窄等并发症相关
参考文献
[1]European Heart Journal (2015) 36, 2921–2964
[2]Circulation, 2010, 121(7), 916-928.Herz, 2012, 37(2), 183-187
[3]QJM, 2014, 107(5), 363-368.
[4]J Am Soc Echocardiogr 2013;26:965-1012.
[5]J Am CollCardiol, 2004, 43(6), 1042-1046. Circulation,2005, 112(13), 2012-2016.
[6]EurHeart J, 2010,31(22), 2749-2754. JAMA, 2014, 312(10), 1016-1023.
[7]Lancet, 2014, 383(9936), 2232-2237.
[8]Circulation,2005, 112(13), 2012-2016.
[9]N EnglJ Med, 2014,371(12), 1121-1130.
[10]Circulation, 2008,118(6), 667-671.
[11]EurHeart J, 2014, 35(34), 2279-2284.
[12]Clin. Cardiol. 2008, 31, 11, 531–537
作者简介

唐晓芳
医学博士 ,中国医学科院阜外心内主治医师 。从事心血管内科专业工作,擅长冠心病、高血压急重症慢性力衰竭等内危抢救与治疗。参编写著作3部。目前主持一项国自然青年科学基金,参与 国家 “十二五” 课题一项、三国自然面上目“十二五” 课题一项、三国自然面上目“十二五” 课题一项、三国自然面上目3项,第一作者发表 中英文论文10余篇。