

在2017年心力衰竭国际学院北京站活动中,来自上海瑞金医院的王芳医师为我们带来了题为“心力衰竭病案”的精彩病例。

♦患者,男性,58岁
♦发作性心悸胸闷1年余,加重伴发热、咳痰1周。
♦患者于1年前(2014-7)出现心悸胸闷,当时无气急,无发热咳嗽等症状,上述症状呈持续性,当地医院行心电图示“心房颤动”,于2014-8行房颤消融术,术后出院。
♦2015-2患者因房颤复发再次住院治疗,给予可达龙 复律治疗,转复为窦性心律,出院后口服“可达龙”治疗。
♦2015-3患者因上述症状复发,于我院住院,行CAG示冠脉大致正常,当时考虑房扑房颤,给予患者口服“达比加群”治疗,上述症状仍有间断发作,自服“康忻1.25mg qd”治疗。
♦ 约入院前1周(2015-8)患者出现发热,体温达39℃,伴咳嗽咳痰气急,夜间阵发性呼吸困难。于当地医院行胸片示“左下肺感染”,给予 “头孢呋辛、环丙沙星”等治疗,热退,仍时有心悸气急,为求进一步诊治入住我院。
♦有高血压病10余年,血压最高达180/100mmHg,现服“安博维(厄贝沙坦)、络活喜(氨氯地平)”治疗,血压控制尚可。
♦否认糖尿病病史,否认吸烟史,否认家族遗传病史。
入院查体:体温 36.3℃,脉搏 86次/分,呼吸 20 次/分,血压 116 /94mmHg,神志清,精神可,咽部轻度充血,两肺呼吸音粗,可及少量湿性啰音,心率102次/分,律绝对不齐,第一心音强弱不等,心尖区可闻及2/6级收缩期杂音,余瓣膜听诊区未闻及病理性杂音。腹部平软,无压痛及反跳痛,肝脾肋下未触及。双下肢浮肿(+)。
【血常规】白细胞计数 6.40×109/L 中性粒细胞% 60.8% 红细胞计数 4.59×1012/L 血红蛋白 130↓g/L 血小板计数 303×109/L
【心肌蛋白】谷草转氨酶 20IU/L 乳酸脱氢酶 156IU/L 肌酸激酶 46IU/L CK-MB质量 1.0ng/mL 肌红蛋白定量 18.8ng/mL 肌钙蛋白I 0.01ng/mL
【生化】糖 6.28↑mmol/L 前白蛋白 216mg/L 谷丙转氨酶 31IU/L 谷草转氨酶 21IU/L 碱性磷酸酶 71IU/L γ-谷氨酰转肽酶 77↑IU/L 总胆红素 11.7μmol/L 直接胆红素 2.6μmol/L 总蛋白 63g/L 白蛋白 32↓g/L 尿素 6.4mmol/L 肌酐 74μmol/L 尿酸 329μmol/L 钠 141mmol/L 钾 3.64mmol/L 氯 107mmol/L 二氧化碳 27.0mmol/L 钙 2.18mmol/L 磷 1.14mmol/L 甘油三酯 1.39mmol/L 胆固醇 5.44mmol/L 高密度脂蛋白 0.81mmol/L 低密度脂蛋白 3.71mmol/L
【氨基末端B型利钠肽前体 】2760.0↑pg/mL
【糖化血红蛋白(HbA1C) 】6.5↑%
【尿六联蛋白】尿视黄醇结合蛋白 < 0.07mg/L 尿液肌酐 18.31mmol/L 尿免疫球蛋白G 1.56↑mg/dl 尿转铁蛋白 0.63↑mg/dl 尿微量白蛋白 3.87↑mg/dl 尿α1微球蛋白 1.81↑mg/dl NAG活性 15.90↑U/L 尿白蛋白比肌酐 2.11
【甲功五项】游离三碘甲腺原氨酸(FT3) 4.02pmol/L 游离甲状腺素(FT4) 15.92pmol/L 促甲状腺素(TSH) 0.0776↓μIU/mL 甲状腺球蛋白抗体(TGAb) 5.74↑IU/mL 甲状腺过氧化物酶抗体(TPOAb) 0.36IU/mL
【C反应蛋白(高敏)(hsCRP) 】28.29↑mg/L。
2015-9-2【心脏超声】:
一、M型主要测值(单位mm):
| 名称 | 测量值 正常 | 参考值 |
| 主动脉根部内径 | 42 | 20-37 |
| 左房内径 | 53 | 9-40 |
| 左室舒张末期内径 | 56 | 35-56 |
| 左室收缩末期内径 | 42 | 20-37 |
| 室间隔厚度 | 12 | 6-11 |
| 左室后壁厚度 | 11 | 6-11 |
二、二维超声心动图描述:
1.左房、左室增大。主动脉根部及升主动脉近端增宽
2.左室壁增厚,以室间隔增厚最明显,最厚处16-17mm。静息状态下左室壁收缩活动轻度减轻,心尖部收缩活动明显减弱,左室腔内较多疏松条索状回声。3.各心瓣膜未见明显增厚,开放不受限。
4. 心尖四腔观单平面Simpson法估计左室射血分数32%。
三、彩色多普勒超声描述:
房、室间隔水平未见明显分流。
.二尖瓣轻度反流。
.主动脉瓣中度反流。
轻度三尖瓣反流。
四、左心功能测定:
| 名称 | 测量值 | 名称 | 测量值 |
| 左室舒张末期容量(ml) | 157 | 左室收缩末期容量(ml) | 80 |
| 左室射血分数(%) | 49 | 左室短轴缩短率(%) | 25 |
| 每搏输出量(ml) | 77 |
诊断意见:
左室壁收缩活动异常,提示心肌致密化不全。
左心增大伴轻度二尖瓣关闭不全
主动脉增宽伴中度主动脉瓣关闭不全
轻度三尖瓣关闭不全

心尖切面观示静息状态下收缩活动普遍减弱;左室乳头肌水平以下,心肌组织疏松。彩色多普勒可见在疏松心肌组织中低速血流信号,窦状隐窝与心腔相通。
胸部正位片
左下肺感染。
颈动脉血管
超声:双侧颈动脉粥样斑块形成。

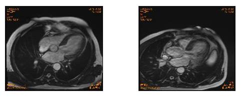
2015-9-13【心脏MR】
影像描述:左心增大(左房28cm2),室间隔略增厚,左室前壁、侧壁心尖段、心尖部室腔内见交错排列的肌小梁结构,厚度增加,肌小梁/左室壁厚度约为1.5。升主动脉根部直径约4.9cm。
左心功能测定:左室舒张末期容量175ml,左室收缩末期容量123ml,左室射血分数30%。
诊断意见:左室致密化不全,心功能下降,左心增大,主动脉瓣中度关闭不全,二尖瓣、三尖瓣轻度关闭不全,升主动脉增宽。

心脏MRI:
左室乳头肌水平至心尖部丰富网格状影
1、心肌致密化不全
2、慢性心功能不全 心功能II-III级
3、心律失常(房颤,完全性左束支传导阻滞)
4、高血压病3级,极高危
5、肺部感染
1、口服药物:
| 药物 | 剂量 | 服药途径 |
| 达比加群 | 150mg | bid |
| 康忻 | 2.5mg | qd |
| 洛汀新 | 10mg | qd |
| 安体舒通 | 20mg | qd |
2、静滴药物:
| 药物名称 | 剂量 | 途径 | 频率 |
| NS 250ml+头孢呋辛 | 1.5g | 静滴 | bid |
| NS 100ml+氨溴索 | 60mg | 静滴 | qd |
| 拜复乐 | 400mg | 静滴 | qd |
| 泽通 | 10mg | 静推 | bid 后续改为托拉塞米口服 |
植入 CRT-D

患者无胸闷,无气急等不适主诉。每天走路60分钟,无活动后不适症状。
查体:神志清,精神可,两肺呼吸音清,心率70次/分,律齐。心尖区可闻及2/6级收缩期杂音,余瓣膜听诊区未闻及病理性杂音。腹部平软,无压痛及反跳痛,肝脾肋下未触及。双下肢无浮肿。
2015-12-11【心脏超声】:
一、M型主要测值(单位mm):
| 名称 | 测量值 正常 | 参考值 |
| 主动脉根部内径 | 42 | 20-37 |
| 左房内径 | 44 | 9-40 |
| 左室舒张末期内径 | 55 | 35-56 |
| 左室收缩末期内径 | 41 | 20-37 |
| 室间隔厚度 | 12 | 6-11 |
| 左室后壁厚度 | 10 | 6-11 |
二、二维超声心动图描述:
1.左房、右房偏大。主动脉根部及升主动脉近端增宽。
2.左室壁增厚,以室间隔最明显,最厚处约16-17mm。静息状态下左室壁收缩活动轻度减弱,下壁基底部及心尖部活动明显减弱,左室腔内见较多疏松条索状回声。
3.各心瓣膜未见明显增厚,开放不受限。
4. 心尖四腔观单平面Simpson法估计左室射血分数37%。
三、彩色多普勒超声描述:
房、室间隔水平未见明显分流。
二尖瓣轻度反流。
主动脉瓣轻中度反流。
.轻度三尖瓣反流。
四、左心功能测定:
| 名称 | 测量值 | 名称 | 测量值 |
| 左室舒张末期容量(ml) 1 | 147 | 左室收缩末期容量(ml) | 74 |
| 左室射血分数(%) | 50 | 左室短轴缩短率(%) | 26 |
| 每搏输出量(ml) | 74 |
诊断意见:
♦左室壁收缩活动异常,提示心肌致密化不全。
♦左房增大,左室肥厚
♦主动脉增宽伴轻中度主动脉瓣关闭不全
2015-12-30【动态心电图】
最高心室率:162次/分
最低心室率:57次/分
平均心室率:78次/分
多元性室早:2934次,室早连发:4次
主导心律为房颤+VVI起搏心律,起搏心律占97.57%,
起搏感知过度1次/23小时,
自身下传的QRS可见室内传导阻滞。
3个月随访药物治疗
| 药物名称 | 剂量 | 频率 |
| 达比加群 | 150mg | bid |
| 康忻 | 10mg | qd |
| 洛汀新 | 20mg | qd |
| 托拉塞米 | 5mg | qd |
| 安体舒通 | 20mg | qd |
2016-4-7【心脏超声】
一、M型主要测值(单位mm):
| 名称 | 测量值 正常 | 参考值 |
| 主动脉根部内径 | 42 | 20-37 |
| 左房内径 | 44 | 9-40 |
| 左室舒张末期内径 | 48 | 35-56 |
| 左室收缩末期内径 | 32 | 20-37 |
| 室间隔厚度 | 12 | 6-11 |
| 左室后壁厚度 | 10 | 6-11 |
二、二维超声心动图描述:
1.左房、右房偏大。主动脉根部及升主动脉近端增宽。
2.左室壁增厚,以室间隔最明显,最厚处约15-16mm。静息状态下左室壁收缩活动正常,心尖部活动轻度减弱,左室腔内见较多疏松条索状回声。
3.各心瓣膜未见明显增厚,开放不受限。
4. 心尖四腔观单平面Simpson法估计左室射血分数60%。
三、彩色多普勒超声描述:
房、室间隔水平未见明显分流。
二尖瓣轻度反流。
主动脉瓣轻中度反流。
.左室内疏松组织内见血流信号。
四、左心功能测定:
| 名称 | 测量值 | 名称 | 测量值 |
| 左室舒张末期容量(ml) | 106 | 左室收缩末期容量(ml) | 41 |
| 左室射血分数(%) | 62 | 左室短轴缩短率(%) | 33 |
| 每搏输出量(ml) | 65 |
诊断意见:
左室壁心肌组织异常,提示心肌致密化不全。
左房增大,左室肥厚
主动脉增宽伴轻中度主动脉瓣关闭不全
7个月随访药物治疗
| 药物名称 | 剂量 | 频率 |
| 达比加群 | 150mg | bid |
| 康忻 | 10mg | qd |
| 洛汀新 | 20mg | qd |
入院前数天因室速CRT-D放电一次,后患者自觉胸闷不缓解入院,第二天突发意识丧失,呼之不应,经头颅CT排除脑出血,神经系统体格检查考虑大面积脑梗,急诊行脑血管造影,并急诊取栓
颈内动脉起始段完全闭塞

发病前1天DIC报告:
APTT 28.6s(27.2-41s)
PT 12.8s(10.0-16.0)
INR 1.09
TT 60.0s↑(14-21s)
Fg 3.9g/L ↑(1.8-3.5)
纤维蛋白降解产物 1.1mg/L( < 5)
D-二聚体定量 0.57mg/L ↑( < 0.55)
♦心肌致密化不全发病率较低
♦治疗主要是针对心力衰竭、心律失常以及血栓栓塞的治疗
♦抗凝治疗意见不一,但是伴有房颤的患者建议抗凝治疗,尽管使用了正规的抗凝药物,仍不能完全避免血栓栓塞事件
♦预后差异大