

限制型心肌病(RCM)是以舒张功能异常为特征,表现为限制性充盈障碍的心肌病。WHO的定义为“以单或双心室充盈受限,舒张期容积缩小为特征,但心室收缩功能及室壁厚度正常或接近正常。可出现间质的纤维增生。
11月26日,在2017全国心力衰竭日“知•心声”主题活动暨心力衰竭国际学院•北京站大会上,北京协和医院朱文玲教授详细分享了限制型心肌病诊疗进展的精彩内容!
定 义
限制型心肌病以左、右心室非扩张性、心室充盈限制舒张功能不全为特征的心肌病,一侧或两侧受累。主要特征有:
心肌僵硬度增加,心室充盈受损,双房增大,双侧心室大小正常,收缩功能正常
全心衰竭,心律失常,传导阻滞常见
病因为继发性和特发性,分为浸润性,累积性,非浸润性和心内膜心肌病
分 型
心肌非浸润性:特发性、家族性心肌病、硬皮病心肌病
浸润性:淀粉样变、结节病
StorageDisease:血色病、Fabry病、糖原累积病、Gaucher病(戈谢病)
心内膜心肌病:心内膜心肌纤维化、高嗜酸性粒细胞综合征、类癌心脏病、放射性心肌病•药物性心肌病(蒽环类毒性作用)
流行病学

一组1230例各种原发性继发性及原因不明的心肌病中限制型心肌病占28例(2.2%)

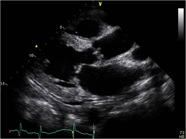
限制型心肌病心脏:左房巨大;左室肥厚

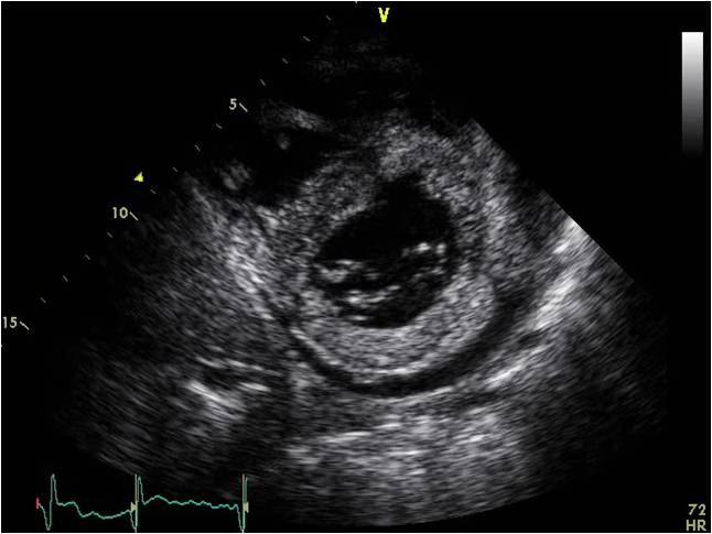
限制型心肌病ECHO:双房大;右室心尖部闭锁

原发性限制型心肌病的组织结构:心肌间质纤维增生成网格状包绕;心肌细胞Masson染色×40;心肌细胞极向紊乱,间质见灶状纤维化病变Masson染色X400;
超微结构:肌节发育不良,呈编织状排列0;肌原纤维稀少,肌节发育不良;不规则的闰盘,及周围不规则排列的肌原纤维
(赵红,孙洋,宋来凤 等。中华心血管病杂志2014,42)
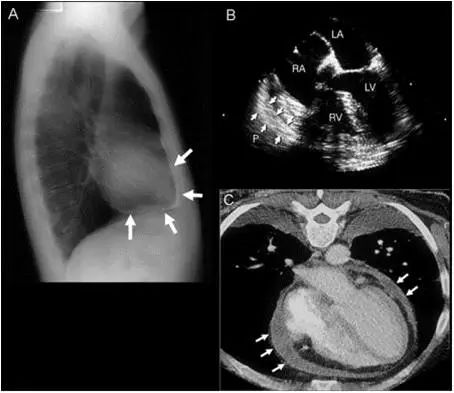
RCM与缩窄性心包炎鉴别

缩窄性心包炎影像学:A:X线; B :TEE;C:CT

缩窄性心包炎二尖瓣血流频谱:吸气时E峰值速度较呼气时减低>25%
缩窄性心包炎压力记录

A图:同步记录左室、右室压力,LV/RV舒张压力曲线呈平方根改变,与限制型心肌病 相同。
B图:同步记录左室及右房压力,LVEDP = RAP,与限制型心肌病不同。


心肌淀粉样变

心肌淀粉样变心电图:肢导低电压,胸前导联R波递增不良

(J Am Coll Cardiol2016;68:1323–41)

心脏淀粉样变 ECHO:LVH,室壁回声增强,可见颗粒状回声,二尖瓣主动脉瓣增厚,少量心包积液。

心脏淀粉样变 ECHO:LVH,室壁回声增强,可见颗粒状回声, 心包积液。

CA左室整体收缩期纵向峰值应变,基部收缩受损,心尖部接近正常(apical sparing)
(Circ Res. 2017;121:819-837)

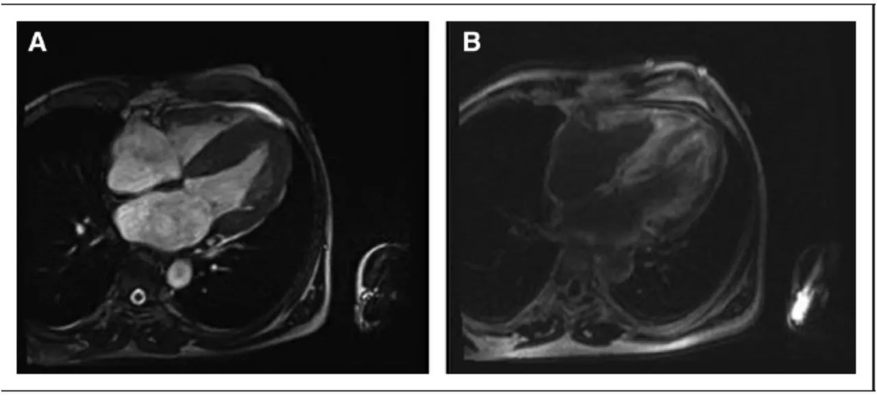
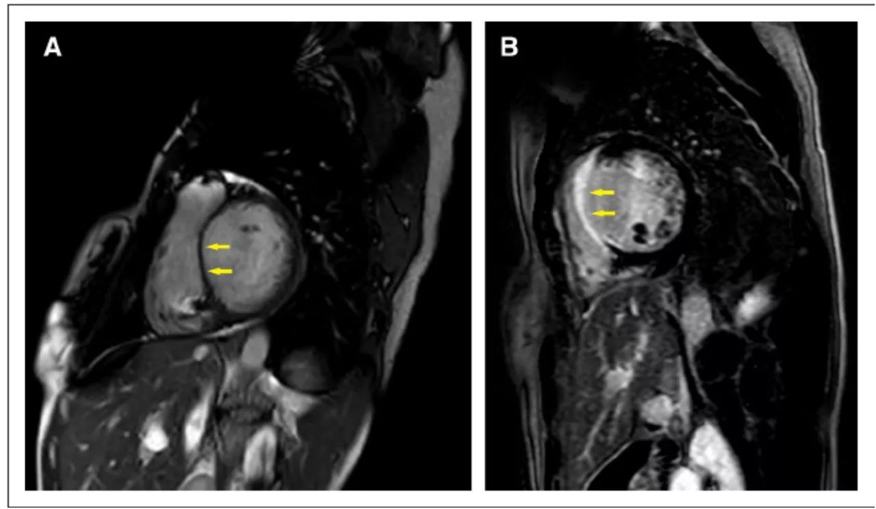
心肌淀粉样变MRI:A 心肌肥厚;B 全层心肌钆延迟显像(LGE)
(Circ Res. 2017;121:819-837)

CMR(CA)
T1 值提示细胞外弥漫淀粉样蛋白和水肿•
T1 mapping 定量心肌细胞外间质淀粉样蛋白的容积,容积增加提示细胞外水肿,淀粉样物质进展,提示LA患者死亡率增加。
(CircRes.2017;121:819-837.)
分 型
免疫球蛋白轻链型(AL):原发性,心脏受累最多
继发性:非免疫球蛋白(AA蛋白)淀粉样物质沉积,心脏受累少见
遗传性ATTR型:淀粉样物质为突变的转甲状腺素蛋白(TTR),第2大类型心脏淀粉样变,常染色体显性遗传病,累及心脏,肾,神经。40岁以后发病
ATTRwt型:过去称老年系统性淀粉样变,淀粉样物质为野生型TTR,多见80岁以上人群,主要累及心脏,病程良性,肺和消化道亚临床累及
血透相关性淀粉样变:β2微球蛋白在关节和骨骼异常沉积,少数累及心脏
累及心脏的淀粉样变:AL型、ATTRm、ATTRwt
诊 断
病理:(心内膜心肌活检,腹壁脂肪,齿龈,直肠,肾,骨髓)刚果红染色阳性,
淀粉样蛋白免疫组化分型(活检组织):
AL型:在淀粉样物质沉积处:轻链阳性/质谱分析确;定轻链
ATTR型:无轻链;TTR基因突变—遗传性淀粉样变(ATTRm);无TTR基因突变—老年系统性淀粉样变(ATTRwt)
心内膜心肌活检

图左:刚果红染色;图右:偏光显微镜下绿色双折光
诊断流程

AL型与ATTR型临床比较
心肌重量 : ATTR型 > AL 型
心电图低电压:ATTR型 少
CMR LGE范围:ATTR型 > AL 型
心衰程度:ATTR型< AL型
TC-99m PYP、SPECT:ATTR型心肌摄取;AL型心肌不摄取

ATTR型淀粉样变 AL型淀粉样变
治 疗
AL型
(一)HF
(二)起搏器/ICD
高度AVB:永久起搏器
ICD预防SCD,经病例总结,ICD一级预防对生存无受益
(三)特异性治疗
自身造血干细胞移植
化疗:硼替佐米,地塞米松,环磷酰胺为一线药
心脏移植:有争议,病程进展及移植心脏复发。年龄<60,无浆细胞恶性疾病及其他脏器受累,可以考虑
家族/遗传性ATTR
(1)肝移植或心、肝移植
(2)药物
TTR四聚体稳定剂:Tafamidis, 二氟尼柳(稳定TTR正常结构,防止淀粉样纤维形成)
RNA抑制剂
淀粉样蛋白降解剂doxycycline(多西环素)
ATTR野生型淀粉样变(老年淀粉样变)
HF:对症治疗
药物:目前正在做临床试验,将来可能有TTR四聚体稳定剂二氟尼柳。
新药展望:姜黄素及绿茶提取物有望用于ATTR型
心肌淀粉样变小结
ECHO结合CMR是诊断CA的重要无创方法, 立足早期诊断,包括心脏纵向应变的应用
apical sparing 的发现
一旦诊断CA,需进行分型, TC-99m PYP SPECT,可确定ATTR型,排除AL型
早期诊断,早期治疗有望改善预后和存活
心脏结节病
定义及临床表现
多系统炎症性疾病,表现为非干酪样肉芽肿,病因不明。主要累及肺、淋巴结、葡萄膜炎和皮肤,心、肝、脾、神经系统、骨髓、肾、骨、关节和肌肉均可受累。
中青年发病
心脏受累(肉芽肿,疤痕组织)
心肌、传导阻滞、心律失常( HF、晕厥、SCD)
其他心脏部位:传导系统、心房、乳头肌、瓣膜、心包、冠状动脉
辅助检查
ECG:AVB,RBBB最为常见,室早,室速,室颤
ECHO:评估左右心室收缩功能,肺动脉高压,应变可能用于早期诊断及预后判断
PET-CT:发现全身多部位病变
CMR:提供心肌炎症、疤痕或纤维化信息

心肌结节病 ECHO:A 前间隔变薄; B 下壁基部瘤样扩张;C 肺动脉高压,右室大 ; D 左室整体收缩期纵向峰值应变(室间隔及心尖部重度减低,其他部位轻度减低)
(CircRes.2017;121:819-837)

心肌结节病MRI(与ECHO同一个病例):A 左室扩大,室间隔变薄;B 局部室间隔全层钆延迟增强(LGE)
(CircRes.2017;121:819-837)

结节病 PET-CT
A.全身多部位FDG高代谢病灶:心脏,支气管周围血管,肝门,盆腔,腹股沟淋巴结,肝脾和骨骼;B. 激素治疗6个月后,高代谢病灶消失

18F-FDG PET:左室侧壁基部摄取
诊断标准
(1)EMB:非干酪样肉芽肿
(2)心外组织结节病病理证据+ ≥1个临床标准
临床标准
2度ABV莫氏II型/3度AVB
LVEF<40% (无其他原因)
ECG:VT
CMR LGE 符合CS
FDG-PET 符合CS
心肌病/传导阻滞 激素治疗有效

结节病诊断标准
(CircRes.2017;121:819-837)
结节病小结
心脏受累可以发生在肺和其他部位受累之前、同时或之后
肺和其他部位经组织病理确诊结节病时,临床心脏受累者不必行EMB,因EMB诊断率20%,而且有风险。
如果心脏受累在前,需筛查肺和其他部位是否受累
家族性限制性心肌病

一个家族5代人中15人患病(12人死亡),其中9人确诊(6例死亡)
儿童时期发病,30-40岁出现症状,50岁病情进展,出现症状后5-10年出现不良预后,常以传导阻滞为首发症状。
特点:心室正常大小,收缩功能正常,舒张功能不全,双室充盈压升高,继而双房大,
ECG:BBB,发展为3度AVB ••右心导管:心室舒张压平方根改变••2例EMB:无特异,除外CA、嗜酸性心内膜心肌纤维化心肌病
尸检:心内膜、心肌、心外膜广泛参差不齐的纤维化
(Br Heart J 1990;63:114-8)


北京协和医院吴炜教授报告
2个家系15例家族性RCM患者的ECG及ECHO表现
青年发病,青中年死亡,6例死于SCD,1例死于心衰
ECG:非特异性、房颤
ECHO:符合RCM
(中国循环杂志 2013,28(3):203-206)
总 结
对RCM病因的认识还是相当不够,大多数RCM是特发性的,应仔细询问家族史和基因的检查,特别以高度AVB起病者
治疗存在很大挑战,CA早诊断,早治疗有望改善生存
新的进展:从遗传和干细胞方面探索病因、自然病程以及有潜力的治疗方法
肌节蛋白病的基因:ACTC,β-MHC, TNNT2, TNNI3,TNNC, DES, MYH, MYL3, LPYAB,肌丝蛋白的肌纤维蛋白Desmin基因
专家简介

朱文玲教授
北京协和医院内科主任医师、博士生导师
◆《北京医学杂志》、《中国心血管病杂志》副主编,多项医学杂志编委
◆国家药监局新药、国家自然科学基金评审专家
◆首都医学发展基金、北京科委科教成果评审专家
◆从事心血管病专业40年,对冠心病、高血压、心力衰竭及超声心动图和血管内超声等有特别研究和造诣
◆作为主要研究者完成很多新药和多中心临床试验
◆发表文章100多篇,著书多部,主编《系统性疾病与心脏》和《心脏疑难病例解析》
◆获多项卫生部、北京市和国家科技进步奖