

“2018深圳心力衰竭国际发展论坛暨心力衰竭国际学院”会议上,来自广东省人民医院的刘媛教授发表《缺血性心力衰竭的治疗策略》的精彩报告。

冠心病
高血压病
心肌病
瓣膜病
糖尿病
……
冠状动脉疾病是心力衰竭的主要原因

心衰的指南:忽略血运重建的细节
血运重建的指南:忽略对心衰的细节

➤ 缺血性心脏病或心力衰竭常合并其他原因导致的心衰:
1.高血压病→左室肥厚(舒张性心衰)→左室扩张EF ↓
2.糖尿病→糖尿病性心肌病(DCM)EF —, ↓
3.瓣膜病→老年性心脏瓣膜病 、AS、AI、MI
4.心肌病→肥厚性心肌病(肌桥)
5.其它:肾衰,睡眠呼吸暂停,肺心病,甲亢心,成人先心病,……
➤ 缺血性心力衰竭有自己的显著特点:
1. 可能针对病因治疗改善预后
2. 通常的其它治疗方法在缺血/非缺血的心力衰竭中有些不同
1、导致心衰的原因中冠脉供血所占比重
2、冠脉供血导致的功能变化的阶段
3、血运重建及其程度对心功能的改善作用

➤ 心肌缺血致心力衰竭的评估
1.所占比重
(1)缺血严重程度:症状,缺血负荷试验(运动或药物),CAG
(2)持续时间
2.阶段:病史,ECG、X-ray、UCG,左室造影
3.改善作用:良好
➤ 心肌坏死致心力衰竭的评估
1. 所占比重:
梗死范围
梗死部位
梗死时间,早期心脏顿抑( expansion),晚期心脏重塑
2. 阶段:病史,ECG,X-ray,UCG,存活心肌判定
3. 改善作用:不同
存活心肌:冬眠心肌、顿抑心肌
机械并发症纠正,室壁瘤,瓣膜
➤ 缺血性心肌病-预后不良
1. 存活心肌的量(冬眠心肌)
2. 心脏解剖和功能恶化程度
3. 代偿和耐受性
一般原则:
预防为主——动脉硬化危险因素
药物基础——抗缺血药物
准确评估——缺血/梗死评估
合理干预——血运重建与其它治疗
A期
B期:血运重建
C期:血运重建(?)
D期:血运重建(??)

范围大 → 得益大
范围小 → 得益小
心尖部,左心室游离壁
对角支.D
边缘支.OM
左室后侧支(大) PL
闭塞:解剖闭塞、功能闭塞
严重狭窄
1. 症状-心绞痛
2. ECG-R波
3. UCG-小剂量多巴酚丁胺负荷试验
4. 同位素心肌灌注显像-再分布(201Tl,99Tc)
5. 心室造影-室壁厚度,运动状况
6. CAG:侧支循环和前向开通
7. MRI
8. PET
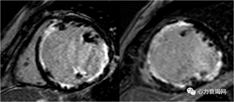
➤ 缺血性心脏病:CMR诊断方面作用
根据典型延迟强化表现提供了心肌梗死CMR影像学依据
提供有价值鉴别诊断信息:排除其他心肌疾病
为进一步病因诊断提供线索

➤ 心肌梗死深度及面积大小:对预后有怎样的影响?

➤ 梗死深度与局部收缩功能

➤ ClinicalSignificance of MRI-Defined Infarct Size

eventfree survival:无事件生存率
终点事件发生在:
30% small infarcts
43% medium infarcts
71% large infarcts
➤ Microvascular obstruction(微血管阻塞)

Noreflow冠状动脉微循环障碍,无复流
➤ 梗死心肌内出血检出

➤ 总结
CMR可以为缺血性心脏病提供有价值诊断信息
CMR更能提供心肌梗死预后相关重要内容:梗死深度及面积大小,MVO,梗死心肌内出血等
CMR是评价缺血性心脏病及其预后的一种有价值的重要手段
尽可能完全血运重建
非完全血运重建适用情况:
心肌阶段无存活心肌:梗死部位
非影响心功能的血管:非优势右冠,AM
无法血运重建的血管:弥漫远端血管
➤ 血运重建的方法选择
已有的循证医学证据中:
改善心功能CABG显著优于PCI
➤ CABG的优势
1.完全血运重建程度高
2.血流量大
3.同时矫正机械并发症
PCI应扬长避短
1.高血压→控制血压,晨间血压
2.糖尿病→控制血糖
3.瓣膜病→手术纠正
4.心肌病→IHSS
5.其它:肾衰,睡眠呼吸暂停,肺心病,甲亢心,成人先心病
IABP: AMI急性期
左心辅助,过渡
干细胞治疗
人工心脏
心脏移植
专家简介

刘媛
广东省人民医院
主任医师,医学硕士,从事心血管临床工作10余年,熟悉心血管系统常见病、多发病的诊治和冠心病、心肌病、瓣膜病等多种疾病所致的心力衰竭方面积累了较丰富的临床经验治疗。