

“2018深圳心力衰竭国际发展论坛暨心力衰竭国际学院”会议上,来自中日友好医院的陈改玲教授发表《高血压与左室舒张功能不全》的精彩报告。

舒张功能不全概述

舒张早期-心室能迅速主动松弛抽吸血液,完成约60-70%的充盈量。
舒张中晚期-在正常心室充盈压(主要指心房平均压)状态下心室能充分被动舒展,接受容纳其余30%-40%的充盈量。
随运动负荷增加,上述充盈量能随之增加。
➤ 快速充盈期心肌纤维恢复至收缩前长度和张力的性能,需要耗能(占心肌能耗15%)。
➤ 该过程的分子机制:
细胞浆内Ca++重吸收回肌浆网,恢复收缩前水平。
肌球-肌动蛋白横桥分离,粗、细肌丝恢复到收缩前位置。
➤ 生理特性体现在等容舒张期心室内压力下降的速(-dp/dt),衡量指标为等容松弛时间常数(tau)。
➤ 舒张中晚期心肌(心室腔)在血流惯性和心房收缩作用下被动伸展(充盈)的性能。
➤ 自横桥分离最大化开始,决定于室壁的理化性质,相关分子机制:
细胞内骨架蛋白(微管、肌丝、细胞浆内蛋白)含量、分布、功能。
细胞外基质(纤维蛋白、胶原纤维)数量、形状、分布。
➤ 宏观解剖与室壁厚薄、纤维化有无、心腔构形、容量等相关。
➤ 生理特性体现在左心室舒张末期容量压力关系(EDPVR),即舒张末心室在单位压力变化下引起的容积改变(dv/dp)。
➤ 衡量指标为心腔僵硬度(dp/dv)。
左室舒张功能不全(LVDD)指左室充盈压改变,心肌主动松弛性及室壁顺应性的下降

➤ 左室充盈压
可用肺毛细血管楔压(PCWP)(间接估测左室舒张压)
平均左房压(LAP)
左室 A 波前压力(LV pre-A pressure)
平均左室舒张压,或左室舒张末压(LVEDP)表示
Diastolic DysfunctionandHypertension.Wilson Nadruz, MD, PhDa,b, Amil M. Shah, MD, MPHa, Scott D.Solomon, MDa,*
舒张功能不全发生率与血压水平

Prehypertension Is Associated With Abnormalities ofCardiac Structure andFunction in the Atherosclerosis Risk inCommunities Study Am J Hypertens. 2015;29(5).

对于LVDD定义有不同的测量方法及标准,所以在高血压患者中LVDD所占比例不同,18%-84%不等。
Diastolic DysfunctionandHypertension.Wilson Nadruz, MD, PhDa,b, Amil M. Shah, MD, MPHa, Scott D.Solomon, MDa,*
DD人群中,大多数患者处于PDD阶段
Redfield、Abhayaratna等发现,即使在这些伴有中度或重度舒张功能障碍,只有少于一半的人群为症状性HF,因此大部分都在舒张功能不全临床前期。
HFpEF在心衰患者中所占比例50%
因此,临床工作中重视PDD筛查
Pre-Clinical Diastolic Dysfunction . J Am Coll Cardiol 2014;63:407–16

舒张功能不全发生、发展



左室质量、左室肥厚与松弛性下降及左室充盈压升高紧密相关。
高血压伴有左室肥厚患者中84%可能会存在LVDD。
11%-20%高血压患者有LVDD不伴有左室肥厚。

患有高血压,周围血管疾病,肾脏疾病功能障碍,COPD,贫血,糖尿病或冠心病的患者进展为症状性心力衰竭的风险较高。
舒张功能不全评估
➤ 右心导管检查:肺毛细血管动脉平均嵌顿压(PCWP)>12mmHg
➤ 左心导管检查:
左室舒张末压(LVEDP)>16mmHg
左心室压力最大下降速率(-dp/dtmax)
➤ 超声心动图








左室充盈压正常时, E/e'<8
E/e' 10 ~ 15时,充盈压可疑↑
E/e' ≥ 15时,充盈压肯定异常

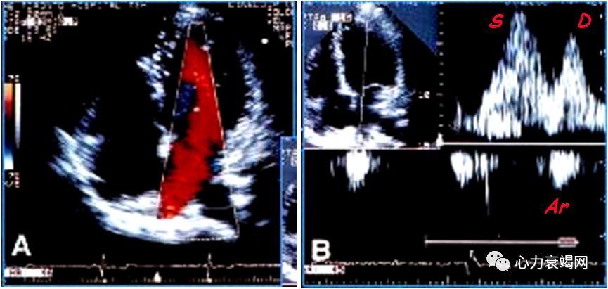
检测前提:窦性心律,连接ECG获得清晰肺静脉血流频谱
检测指标:S/D比值,PV频谱Ar时间


取心尖四腔切面,启动CDFI并调整M型取样线通过二尖瓣口至心尖使之与舒张期充盈血流平行,然后启动M型成像,在窦性心律者显示两个与E和A相关彩色血流,测量舒张早期充盈血流出现彩色混叠颜色变化前缘向心尖方向延伸4cm处的斜率。


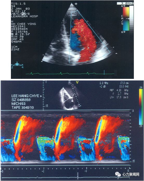
E / Vp>1.5 时 LA 压力增高。
AMI 后E / Vp<1.5者的预后明显好于E/ Vp≥1.5者。
有报道E/ Vp预测AMI 后发生心衰及死亡的价值优于EF。


应进行左室充盈压评估和左室舒张功能不全分级
Recommendations for the Evaluation ofLeft Ventricular Diastolic Function by Echocardiography:An Update from theAmerican Society of Echocardiography and the European Association ofCardiovascular Imaging.

➤ 2014中国心力衰竭诊断和治疗指南

至少2个指标异常和(或)存在房颤,增加左心室舒张功能不全诊断的可能性。
➤ 2016ESC急、慢性心力衰竭诊断和治疗指南

舒张功能不全的防治
DD进展与心血管及非心血管危险因素相关,因此控制风险因素可阻止PDD发展
PDD管理包括两方面:
1)预防发展为PDD;
2)预防PDD进展到HFPEF

血压控制达标( <140 /90 mm Hg)
左室肥厚筛查:ECG、UCG
高血压合并 LVH 的治疗建议
①控制盐摄入量、减低体质量
②明确诊断的高血压合并 LVH 优先推荐有循证医学证据的 ARB
③舒张或收缩功能不全合并心率偏快( 心率 > 75 次 /min) 或者伴心房颤动的高血压合并 LVH患者可联合使用高度心脏选择性、亲脂性高的β 受体阻滞剂;
中华高血压杂志 2016 年 7 月第 24 卷第 7 期 亚洲高血压合并左心室肥厚诊治专家共识
2017美国成人高血压指南



利尿剂
ACEI、ARB、B-B
目标BP<130/80

高血压患者LVDD发生比例高,18%-84%
高血压高危PDD易进展为HEPEF
早期通过UCG等评估舒张功能,早期干预
重视血压控制及靶器官损害指标左室肥厚、心房颤动筛查与管理
陈改玲教授
中日友好医院
副主任医师,临床医学博士,硕士研究生导师。现任中国高血压联盟理事,中国老年医学学会高血压分会委员。中国医学科学院、中国协和医科大学 阜外心血管病医院攻读硕士、博士研究生,研究方向为高血压病基础与临床,于2004年获心血管内科专业博士学位后分配至卫生部中日友好医院心内科,2011年新疆生产建设兵团总医院援疆,2014年赴美国西奈医院心脏中心访问学者。
主要从事心血管内科专业临床、教学及科研工作。临床工作包括心血管疾病的诊治及超声心动诊断,为心内科高血压专业组组长,擅长高血压及其相关疾病的诊治。对高血压、冠心病、血脂代谢紊乱、心律失常、心力衰竭等疾病的诊治具有丰富的临床经验。长期承担北京大学医学部及北京中医药大学本科生及研究生教学任务。研究方向为高血压及相关疾病诊治,主持省部级科研课题“基于转化医学观念下的高血压社区防治模式在兵团偏远散居高血压病患者中的应用研究”,院级科研课题“ G蛋白基因多态性与ACEI降压疗效相关性研究”、“金纳多注射液对大鼠急性心肌梗死后人羊膜间充质干细胞移植的影响”,科技部国家科技支撑计划“冠心病临床辅助决策工具的开发与验证研究”子项目;参加“九五”攻关课题“高血压的治疗研究(FEVER)”、国家自然科学基金“HLA-II类基因与大动脉炎表型关系的研究”、中央保健专项资金科研课题“老年高血压中医证型分布规律与相关因素分析”;参与完成抗高血压药物临床试验10余项、国际多中心合作课题3项。发表学术论文30余篇,作为副主编编著《高血压诊治热点聚焦》,参编(译)医学专著9部。2011年援疆工作荣立三等功,2012年被评为医院创先争优活动先进个人,2013年被评为医院优秀共产党员。