

在2016年中国国际心力衰竭大会暨中国医师协会心力衰竭专业委员会第一届学术年会上,来自中国医学科学院阜外医院心衰病房的刘小宁主治医师给我们带来了“病例讨论--风心病换瓣术后心衰合并II型呼衰一例”精彩报告。
基本信息及主诉
1.患者男性,51岁,身高167cm,体重65kg。
2.主因“发现风心病30年,二尖瓣置换术后4年,胸闷、气促加重3个月”2014年5月27日入院。
现病史
1.30年前发现风心病,当时无明显症状,未诊治。
2.4年前出现间断胸闷、气喘,夜间阵发性呼吸困难,双下肢水肿。我院诊断“风心病、二尖瓣中重度狭窄并少量返流、三尖瓣大量返流、肺动脉高压”,于2010年11月4日行二尖瓣机械瓣置换+三尖瓣成形术。术后药物治疗,日常活动无明显胸闷、气短。
3.2年前出现活动耐量逐渐减低,伴双下肢水肿,反复在当地住院给予利尿治疗,症状可以减轻。
4.3个月前受凉后出现咳嗽、咯黄痰,胸闷、气喘症状加重,夜间不能平卧,伴重度浮肿,当地医院住院给予抗感染及利尿治疗,效果不佳。
5.5天前(2014年5月22日)就诊于我院急诊。
BP 90/60mmHg,HR 131bpm,呼吸 25次/分,T 36.7℃,高枕卧位,双肺呼吸音粗、可闻及湿罗音,心律绝对不齐,全身重度水肿。
心电图:心房颤动,心室率131bpm,电轴右偏,不完全性右束支传导阻滞,右心室肥大。
急诊床旁超声
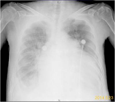
6. 5.23
急诊床旁胸片:两肺淤血,双肺透过度减低;主动脉结不宽;肺动脉段凸出;全心大;心影内可见人工瓣环影;胸骨可见固定钢丝影;双侧肋膈角模糊。
印象:术后改变,心功能不全,肺水肿,双侧胸腔积液。
急诊室化验结果:
7.急诊给予白蛋白(10g×4支) 、利尿及血管活性药物治疗,并予头孢呋辛抗感染治疗,症状无明显缓解。
8.为进一步治疗,2014年05月27 日收住心衰病房。
既往史、个人史及家族史、
既往史:否认慢阻肺病史。
个人史:吸烟30年×10支/日,已戒4年;饮酒10年×100g/日,已戒4年。
家族史:无特殊。
查体
1.T: 36.3 ℃,HR: 148次/分,R: 37 次/分,Bp: 101/49mmhg。
2.患者烦躁、躁动,应答切题,半卧位,口唇紫绀。有颈静脉怒张,双肺呼吸音粗,可闻及湿啰音,心率148 次/分,心律绝对不齐,胸骨左侧IV、V肋间可闻及II/6级收缩期吹风样杂音,心尖部可闻及机械瓣开瓣音。腹部膨隆,无压痛、反跳痛,肠鸣音4次/分,肝脏肋下6cm、剑突下9cm,移动性浊音阳性,肝颈静脉回流征阳性,全身重度浮肿,右腹股沟有红色皮疹,阴囊、阴茎水肿,阴茎有0.5×1.0cm溃疡,病理征阴性。
3.急查动脉血气(1L/min鼻导管):pH 7.30、pCO2 98mmHg、pO2 45mmHg、Lac 0.5mmol/l、BE 16.4mmol/l,SO2 76%。
入院初步诊断
1.风湿性心脏病:
二尖瓣机械瓣置换术后;
三尖瓣成形术后;
三尖瓣中大量返流;
心脏扩大;
心律失常(不完全性右束支传导阻滞、心房颤动);
重度肺动脉高压;
心功能IV级;
2.肺部感染(II型呼吸衰竭);
低蛋白血症;
高钠血症;
双侧胸腔积液;
腹腔积液;
那么问题来了
2010.10.21换瓣术前心脏超声
2010.10换瓣术前

以右心衰为主的全心衰
:
1.严重的右心衰。
2.左心室收缩功能保留,舒张功能受限;快心室率房颤降低心输出量,加重心衰。

1、严重的肝淤血导致肝细胞损害,总蛋白及白蛋白合成减少。
2、严重的胃肠淤血,食欲下降,蛋白质摄入不足,且消化吸收障碍。
3、感染致使消耗增加。
4、水钠潴留,血清水分增加。
5、蛋白丢失?(近期无血滤、无烧伤、无失血、尿蛋白阴性、无蛋白丢失性肠病)
治疗:
1.患者入院时烦躁、躁动,呼吸频率30-40次/分,结合当时血气情况,立即给予气管插管、呼吸机辅助呼吸。
2.同时给予抗感染、利尿、纠正电解质紊乱、控制心室率、血管活性药维持血压、抗凝、保护胃黏膜、营养支持、纠正低蛋白血症、补充血浆等治疗。
3.于6.9拔除气管插管,6.16出院。
控制感染


1.深静脉管端培养6.9、6.14两次阴性
2.血培养6.4、6.8两次粪肠球菌
3.痰培养6.3、6.4、6.6、6.9、6.11五次金黄色葡萄球菌
4.降钙素原(5.28) 1.26ng/ml
(6.09) 0.12ng/ml
5.G-试验(5.29) 33.22pg/ml
(6.02) <10pg/ml
纠正水钠潴留

纠正高钠

纠正低蛋白血症

心衰指标改善

出血情况
5月27日:便潜血阳性。 气管插管后,胃管鼻饲胃肠内营养。
5月31日-6月6日:间断吸出血性黄白痰。
6月2日-6月8日:咽喉壁血泡间断破裂出血,对症局部止血。
6月5日:胃肠减压引出500ml深咖啡样胃内容物,送检潜血阳性,停胃肠内营养,改为静脉营养,胃肠减压,停抗凝药物,加强胃粘膜保护,输注血浆。
6月11日:流食。
6月12日:半流食。便潜血阴性。
6月13日:软食。
既往:2010年外科术后便潜血、胃内容物潜血阳性。

1.6月5日APTT>180s,余均在基础值1.5倍以内。
2.血小板100-200×10^9/L。
3.出血原因:应激、DIC?
II型呼衰的纠正情况



辅助呼吸情况:
5.27 气管插管 呼吸机辅助呼吸 A/C模式
5.29…………………………… SIMV+PS模式
6.5…………………………… PS模式
6.9拔除气管插管, BIPAP呼吸机辅助呼吸
6.11 鼻导管2L/min吸氧
气管插管前后动脉血气变化

1、血液中的CO2能迅速通过血脑屏障,使位于延髓的中枢化学感受器周围H+浓度升高,引起呼吸中枢兴奋,一定水平的pCO2对维持呼吸中枢的兴奋性是必要的。pCO2的降低可出现呼吸暂停。
2、pO2降低、pCO2或H+浓度升高可刺激位于颈动脉体和主动脉体的外周化学感受器,反射性的引起呼吸加深加快。
3、长时间CO2潴留能使中枢化学感受器对CO2的刺激作用发生适应,而外周化学感受器对低O2刺激的适应很慢,这时低O2对外周化学感受器的刺激成为驱动呼吸的主要刺激。此时低O2的改善可引起呼吸暂停。

图示:改变动脉血液pCO2、 pO2、pH三因素之一而不控制另外两个因素时的肺泡通气反应(1mmHg=0.133kPa)
超声心动图指标回顾

左心疾病相关性肺动脉高压
1.定义:左心室收缩功能障碍、左心室舒张功能障碍和(或)左心瓣膜病引起的肺动脉高压。血流动力学标准:mPAP≥25mmHg,PCWP>15mmHg。
2.根据跨肺压差(肺动脉平均压与肺小动脉嵌顿压之差)分为:
跨肺压差小于12mmHg、肺血管阻力小于2.5-3wood单位为被动性;
跨肺压差大于12mmHg、肺血管阻力大于2.5-3wood单位为反应性。
3.被动性肺动脉压力升高继发于左心房压力升高,而反应性肺动脉压力升高由肺动脉结构和功能改变引起[1]。
4.国外数据显示约2/3的慢性心力衰竭患者可能合并肺动脉高压[2]。收缩性和舒张性心力衰竭引起PH的发生率分别高于60%[3]和70%[4]。
Clinical significance of reactive post-capillary pulmonary hypertension in patients with left heart disease


病人治疗前后的对比:


