

在2016年中国国际心力衰竭大会暨中国医师协会心力衰竭专业委员会第一届学术年会上,来自内蒙古自治区人民医院老年重症医学科邬真力教授给我们带来了“心力衰竭及其合并症”精彩报告。

XXX,男性,66岁。
反复呼吸困难5年,加重1天。
患者5年来反复出现呼吸困难,多以活动为诱因,曾多次住院治疗,诊断“扩张型心肌病,心脏扩大,心功能Ⅳ级,心律失常--完全右束支传导阻滞”。间断口服“地高辛(0.125mg,qd)、呋塞米(20mg,Bid)、螺内酯(20mg,qd)、氯化钾缓释片(0.5g,Tid)”等药物。入院前1天患者受凉后出现咳嗽、咳痰,感呼吸困难加重,伴有恶心、呕吐、乏力,精神、夜眠差。就诊于我院急诊,给予“碳酸氢钠、胺碘酮、多巴胺”治疗后,转至重症监护病房。
既往否认高血压、糖尿病史。
入院查体:血压90/50mmHg,肢端皮肤湿冷,巩膜黄染,颈静脉怒张,双肺呼吸音粗,双肺底闻及干、湿性啰音。心界双向扩大,心率102次/分,律不齐,心音低钝,肝大,肋缘下三横指,肝颈静脉回流征(+),双下肢轻度凹陷性水肿。
血压监测在80-90/50-60mmHg之间。
24小时尿量800ml。
CVP: 22cmH2O。
脑钠肽>35000pg/ml。
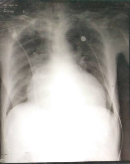
入科后检查

15-06-13:09:54

床旁胸片:15-06-13:11:31






扩张型心肌病
全心增大
心律失常-完全性右束支传导阻滞、阵发性室性心动过速
心功能IV级
水电解质酸碱平衡紊乱
代谢性酸中毒合并呼吸性碱中毒
高钾低氯血症
肾功能不全
肝功能不全
低血压治疗:先后使用多巴胺、多巴酚丁胺(2-10μg/kg.min),之后使用去甲肾上腺素(2-4μg/min),增强心肌收缩力,保证重要脏器供血。
心衰:西地兰、利尿剂。
心律失常:β受体阻滞剂(急诊科胺碘酮)。
抗感染:舒普深3g + 0.9%N.S 50ml (9ml/h泵入)q12h,连续3次痰培养加药敏,降钙素原、白细胞进行性升高。
纠正离子紊乱及营养支持。


室性心动过速治疗:
小剂量β受体阻滞剂;
胺碘酮;
ICD?

ICD适应症:
I类:
心室颤动所致心脏骤停的幸存者或非可逆因素导致的伴有血流动力学不稳定的室性心动过速患者(A);
器质性心脏病的患者伴有自发的血流动力学稳定或不稳定持续性室性心动过速(B);
患者伴有临床原因不明的晕厥症状同时出现血流动力学显著不稳定的室性心动过速或者在心电生理检查时可诱发出心室颤动(B);
非缺血性扩张性心肌病射血分数小于等于35%, NYHAII 或 III级(B)。



肝损伤和肝衰竭:


胆酶分离:指在肝炎发展过程中,由于肝细胞的大量坏死,对胆红素的处理能力进行性下降,因此出现上升;同时转氨酶由于已经维持相当长时间的高水平,从而进行性耗竭,因此出现转氨酶下降、回落。
提示预后差,病死率高。
急性肝损伤治疗:
积极抗心衰,减轻肝脏淤血。
易善复、熊去氧胆酸保肝治疗。





ISTH DIC评分系统(7分诊断DIC):
危险评估:患者是否存在易致DIC的基础疾病(如感染、恶性肿瘤、病理产科、大型手术及创伤等);
凝血功能检验结果评分:
血小板计数(>100*109,0分;<100,1分;<50,2分);
纤维蛋白相关标志物升高(例如可溶性纤维蛋白单体/纤维蛋白降解产物无增加,0分;中度增加,2分;明显增加,4分);
凝血酶原时间延长(<3s,0分;>3s 但<6s,1分;>6s,2分);
纤维蛋白原水平( > 1.0g/l,0分; < 1g/l,1分);
计算分值:≥5分 诊断 DIC,每天重复计算; < 5分未发生或未肯定DIC。
DIC治疗:
积极治疗原发病;
低分子肝素抗凝;
新鲜冰冻血浆、冷沉淀。

患者入院后全身水肿进行性加重,尤以身体低垂部位及双上肢水肿明显。给予间断静脉利尿、补充白蛋白治疗,效果不佳。(毛细血管渗漏综合征)

同样蛋白质的补充也要求以维持适当的循环功能为原则。

本例患者随着病情缓解,毛细血管的渗漏显著改善。