

在2016年中国国际心力衰竭大会暨中国医师协会心力衰竭专业委员会第一届学术年会上,来自浙江大学医学院附属第二医院心内科的陈雯艾副主任医师给我们带来了精彩的病例报告。

一.基本信息
1.女性,66岁,杭州本地居民.于2015.08.03入院。
2.反复晕厥7年,ICD植入后5月,再发晕厥后5天。
3.患者7年来反复出现晕厥,5月前症状再发,每次持续时间数十秒至数分钟,结合心电图、心超、冠脉造影结果,诊断“扩张性心肌病”心电图提示非持续性室速,接受双腔ICD植入术;5天前,患者类似晕厥症状再发,发作前驱有心悸和胸部不适感,无发热,无头痛,无四肢抽搐;
二.体格检查
一般情况稳定;精神状态正常。胸部听诊未闻及明显喘息音和啰音。心界扩大,杂音不明显;四肢无杵状指和水肿。
三.入院时相关数据
1.入院时相关检查
①Echo(last admission):
EF%:30.4%, LVIDd: 6.07cm心超提;示左心室增大伴左心功能不全;
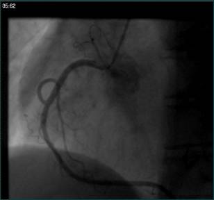
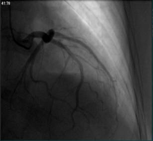
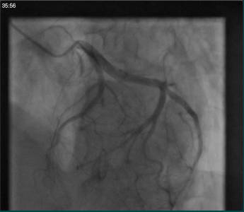
②冠脉造影:
冠脉造影未见明显异常;
③EKG

④Echocardiography



⑤

⑥冠脉造影(2015.03.02)



2.入院前用药情况
阿司匹林 100mg 一次/天
美托洛尔缓释片 47.5mg 一次/天
可达龙 0.1g 一次/天
呋塞米 10mg 一次/天
螺内酯 20mg 一次/天
海捷亚 100mg 一次/天
四.实验室结果
Na:140.0mmol/L,K:3.30mmol/,Cl:102.0mmol/L,
Glu:6.27mmol/L,Ca:2.15mmol/L; Mg:0.92mmol/L;
BUN:5.71mmol/L;Cr:127umol/L;
WBC:5.5×109/L;Hgb132g:L;PLT: 184*109/L;
Pro-BNP:2168pg/ml;Trop I:0.068ng/ml;
五.最初的诊断
①Syncope of unknown origin(cardiac?)
②晕厥待查(心源性?)
③Dilated heart disease,NYHA stage II;
④扩张型心肌病,心功能II级;
⑤Ventricular tachycardia and post ICD implantation;
⑥室性心动过速,ICD植入术后;
治疗:
①持续心电遥控监测;
②美托洛尔缓释片 47.5mg 口服 一次/天;
③可达龙 0.2 口服 一次/天;
④静脉、口服补钾治疗;
六.病情进展和治疗
①患者神志清,自觉心悸伴头晕;
②Bp:60-80/40-60mmHg, HR:120-130bpm;K+:4.80mmol/L;
③胺碘酮 200mg iv st+300mg iv vp
④ICD程控:ICD shock (40J×2次)
⑤体外电复律 (前后位,150J×2次)
EKG~08.05

EKG~08.05 VT

转变到起搏性房性节律

一.考虑射频消融(RFCA)
①单形性室速,根据体表心电图考虑起源于右室流出道(RVOT)可能性较大;
②发作时心室率偏慢(120-130次/分),有血流动力学影响;
③使用CARTO系统行基质标测,在右室流出道位置标得特征性碎裂电位;在该部位起搏标测后予放电消融;
二.CARTO system substrate mapping

三.Atrial pacing

四.RFCA之后的进展
①VT occurrence is decreased;
②frequent PVCs,paired PVCs;
③Recurrent once (20mins)

五.消融后药物治疗
①美托洛尔缓释片(ZOK) 95mg po qd
②胺碘酮 0.1 po tid
③呋塞米 10mg po qd
④螺内酯 20mg po qd
⑤阿斯匹林 100mg po qd
⑥监测电解质,定期补充钾镁
六.症状
乏力、气急、恶心和呕吐、双下肢水肿
七.器官功能不全(2015.09.19)
肝脏功能不全:ALT:3946 U/L;
肾脏功能不全:Cr:168umol/L;
心脏功能不全:CTNI:0.401ng/ml ;Pro-BNP:16241 pg/ml

2015.09.19

2015.09.16

2015.09.19

2015.09.19

2015.09.18

2015.09.17

2015.08.03

2015.09.16
一.治疗
1.
①肝脏和肾脏的保护
②加强利尿
③提高心功能
④维持电解质的稳定
⑤停用抗心律不齐的药物(尤其是胺碘酮)
2.第二次使用RFCA(激动波标测)

3.RVOT Pacing





二.讨论
①ARVD or RVOT-VT?
②ICD or RFCA?
③How to control slow-VT related electrical storm?
④The safety of external conversion on ICD implanted patients?