

在2016年中国国际心力衰竭大会暨中国医师协会心力衰竭专业委员会第一届学术年会上,来自上海市第十人民医院的徐大春教授给我们带来了“张开心力衰竭患者的保驾伞—Parachute左心室减容术”精彩报告。

现病史:
CN001;
男性,57岁;
12月前因急性前壁心肌梗死,急诊于我院行PCI术,前降支置入支架1枚;
既往高血压病史,控制可。
入院诊断:
冠状动脉粥样硬化性心脏病,陈旧前壁心肌梗死,PCI术后,心尖部室壁瘤形成,心功能Ⅱ级;
高血压3级,极高危;
6分钟步行试验距离 427米。
术前心电图:

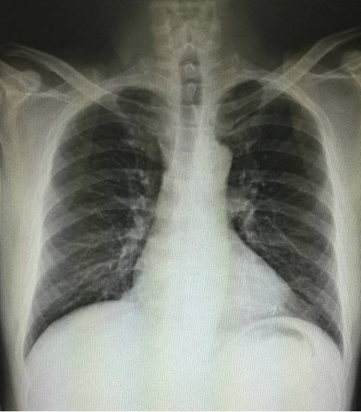
胸片(术前1月):

术前心超:
室间隔及心尖部收缩运动减弱;
心尖部室壁瘤形成;
左室舒张末期内径5.7cm,LVEF为35%;
轻度二尖瓣返流;
左房增大。

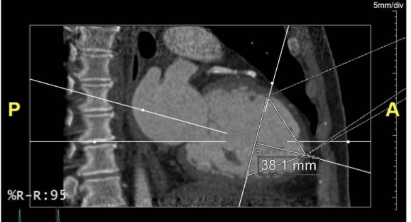
Patient selection-CT:

Height from the apx to implant landing zone: 38.1mm

研究器械
规格型号:

装置选择:


常规消毒、铺巾,双侧股动脉局部麻醉;
穿刺左侧股动脉,置入6F鞘管,行左心室造影;
穿刺右侧股动脉,使用血管缝合系统(Preclose)预先埋缝线;
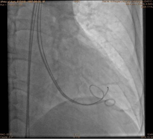
右侧股动脉置入16F鞘管,6FPigtail导管进入左心室,沿猪尾巴置入强生cordis加硬导丝;
沿导丝将16F指引导管置入心尖部;
沿指引导管置入Parachute,左室造影与心超检查位置。

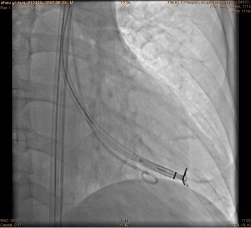
手术过程左心室造影:

手术过程指引导管到达左心室:

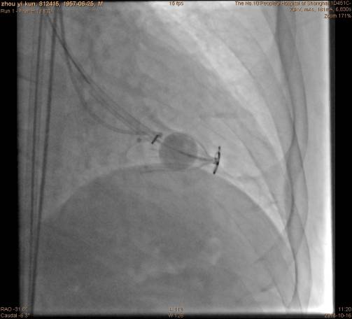
手术过程隔离装置的脚到位:

手术过程充盈球囊:

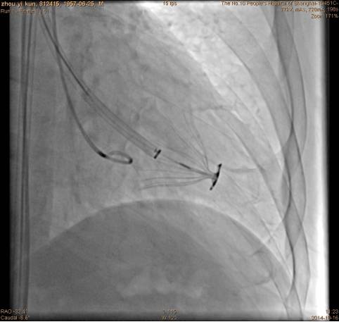
手术过程装置到位后重复左心室造影:

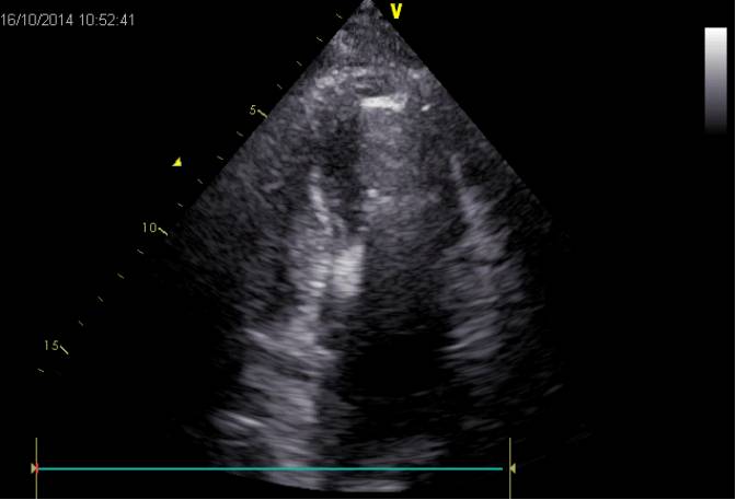
手术过程B超确认:

术后心电图:

手术过程:

背景:

内科:
血管紧张素转换酶抑制剂(ACEI)/血管紧张素Ⅱ受体拮抗剂(ARB);
β受体阻滞剂;
醛固酮受体拮抗剂;
心脏再同步化治疗(CRT);
……
效果仍差,左室重构依旧不可避免!
外科:
创伤大,术者要求较高。

Parachute左心室减容术:
第一例经皮心室重建术于2004年施行,近年来逐渐在国外开展,已有100多例的成功经验,已获得欧洲CE认证;
微创、耗时短、风险相对较小、恢复快。

国外相关研究进展:
2007年12月开始,至今完成1个临床研究,4个在研;
截止2012年12月27日,欧美国家已完成111例的手术,年龄60.7岁,左心室射血分数27.9±7.8%;
手术成功率96%和瓣膜学术联盟(VARC)定义的主要并发症发生率7.2%;
左室射血分数由28.4±8.0%提高至30.4±8.1%(P<0.05),54%患者NYHA分级提高1级以上,32%患者NYHA分级不变,平均6min步行距离由365米提高至390米。
Three-Year Outcomes of the PARACHUTE First-in-Human Study:
多中心、前瞻性、非随机、非对照临床研究;
39例伴有类似左室室壁瘤的缺血性心脏病患者,心功能Ⅱ-Ⅳ级,EF:15-40%之间;
主要终点:6个月的器械并发症,超声与症状改善程度;
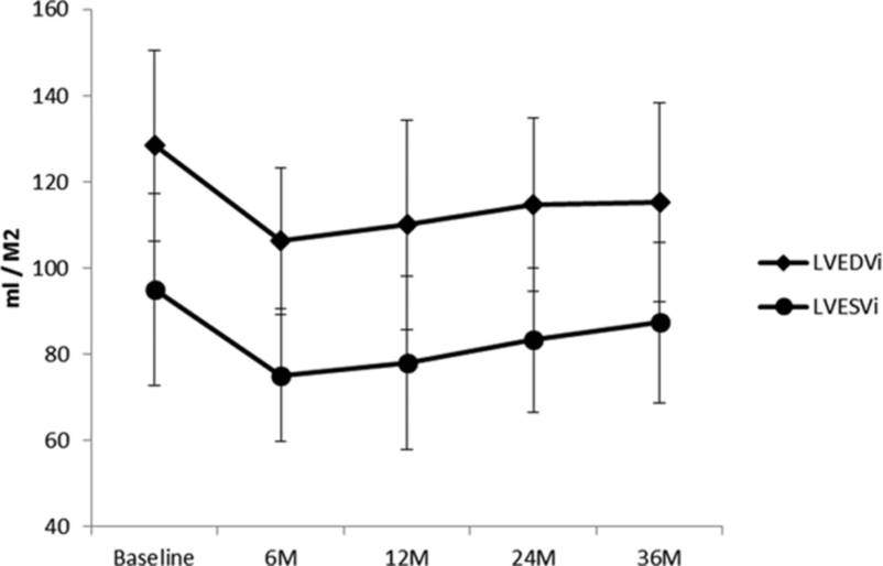
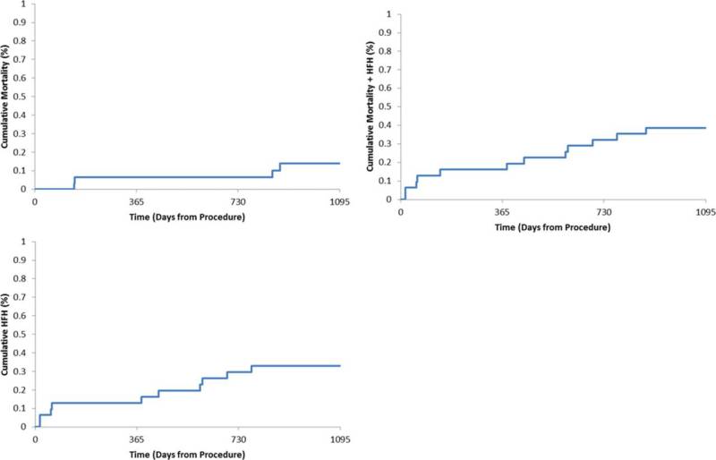
结果:31/34/39成功植入器械,其中23人随访了3年,85%患者有心功能或症状改善,收缩或舒张末期容积指数明显下降,3年内有38.7%患者再入院或死亡事件,仅2人死于心脏原因;
结论:Parachute是安全有效的。
基线特征:

Echocardiagraphic image comparing baseline volume to 2-y follow-up functional volume:

Left ventricular end-diastolic volume index (LVEDVi) and end-systolic volume index (LV ESVi) mean±SD plotted over time:

Kaplan–Meier curves for mortality, heart failure hospitalization (HFH), and the combination of HFH and mortality:

国内研究:

要点:
严格筛选患者,尤其左心室的解剖情况,影像学评价至关重要;
器械选择至关重要;
多学科科室协作:影像科、心脏超声科、心内科、心外科;
1年随访。
随访半年胸片(2015-4-1):

心超随访半年结果(2015-4-2):
左室前壁及心尖部节段性运动异常;
左室饱满;
左室舒张末期内径55mm,LVEF为38%;
轻度二尖瓣返流;
左房增大。