

在2016年中国国际心力衰竭大会暨中国医师协会心力衰竭专业委员会第一届学术年会上,来自中国医学科学院阜外医院心力衰竭诊治中心的黄燕教授给我们带来了“心衰超滤治疗病例讨论”精彩报告。

病例资料
①基本信息
●患者:李某某
●性别:男
●年龄:49岁
●职业:私企老板
●身高:168cm
●体重:105kg
②主因“反复胸闷、憋气及水肿33年,加重2周余”于2015年5月26日入院。
③患者1982年出现午后发热,后间断出现胸闷,浮肿,当地医院检查发现“心包积液、胸腔积液”,给予抗感染、利尿治疗可缓解。
④2001年症状加重,于北京协和医院诊断“缩窄性心包炎,结核性可能性大”,予心包剥脱术治疗,术后服用抗结核治疗半年,病情相对平稳,可从事一般工作。
⑤1年前再次出现胸闷,憋气,双下肢水肿,逐渐加重,于1个月前行第二次心包剥脱术,术后患者能平躺休息,水肿症状明显缓解,但活动耐量仍差。
⑥近2周再次出现水肿,并逐渐加重,累及双下肢、双上肢、腹壁,不能平卧休息,口服及静脉利尿剂均效果不佳,来诊。
⑦既往史:发现丙肝2年。
⑧个人史:吸烟史30年,10支/日,偶尔饮酒。
⑨家族史:父亲患骨结核,死于车祸,母亲死于白血病。
⑩体检: T: 36.2 ℃,R: 20 次/分,BP: 127/74mmHg,半卧位,神志清,慢性病容,颈静脉怒张,双肺呼吸音低,双肺可闻及湿罗音,心界正常,心律绝对不齐, 心率96 次/分,三尖瓣听诊区闻及III/6级SM,腹部膨隆,张力高,肝脾触诊不满意,双下肢重度可凹性水肿。
入院诊断
①缩窄性心包炎:心包剥脱术后、三尖瓣中重度关闭不全、心功能Ⅳ级(NYHA分级)
②心律失常:持续性心房颤动
③腹腔积液
④胸腔积液
⑤贫血
⑥低蛋白血症
辅助检查
1.化验

①血气分析(鼻导管吸氧2L/min):PH 7.47、PCO2 34mmHg、PO2 130mmHg,BE 1.3mmol/L
②BNP 356pg/ml、NT-proBNP 3195pg/ml
③CK-MB 1.69ng/ml、MYO 29.8ng/ml 、TNI 0.001ng/ml
④D-dimer 1.61ng/ml
⑤甲功五项 正常
⑥C-反应蛋白 19.6ng/ml
⑦血沉 19mm/h
⑧尿微量白蛋白 0.90mg/L
2.心电图

3.胸片

4.超声心动

5.腹部超声

6.MRI

治疗思路
①患者是以右心衰为主的全心衰,双房、右室扩大,左室39mm,LVEF 56%。目前症状体征主要是体肺循环淤血、右心及左心排量减少:活动耐力下降,乏力,呼吸困难、不能平卧,颈静脉怒张、肝大,胸腹水,外周水肿。
②患者严重水肿,长期应用大量利尿剂,每天需应用大量静脉利尿剂才能保持出入量平衡,已出现利尿剂抵抗。
利尿剂抵抗定义
①心衰进展和恶化时常需加大利尿剂剂量,最终再大剂量亦无反应时,即出现利尿剂抵抗。(中华心血管病杂志 2007)
②在ADHF患者中,尽管利尿剂剂量递增,但仍无法充分控制水钠潴留时被称为利尿剂抵抗。 (ACC/AHA2001)
利尿剂抵抗治疗策略
治疗策略
①纠正低血压,低蛋白血症,贫血,感染,肾功能不全,低氧,酸中毒,低钠等情况
②避免和纠正低容量状态
③增加襻利尿剂剂量或改变给药方式
④更换或联用不同利尿剂,新型利尿剂(奈西利肽,托伐普坦)
⑤小剂量多巴胺
⑥超滤
入院后出入量及用药情况

①患者已经使用大剂量静脉襻利尿剂、小剂量多巴胺,近期联用新型利尿剂依然利尿效果不满意,患者依然胸闷,不能平卧,故积极考虑给予超滤治疗。
②用12F双腔管经颈内静脉穿刺建立体外循环,30ml/min血泵速度,200-300ml/h超滤速度,开始治疗。
③同时给予补蛋白,营养支持等治疗。
④2小时后,呼吸困难开始缓解,4小时后症状明显减轻。
⑤当日共超滤1780ml,胸闷症状明显好转,卧位床头逐渐降低。
⑥期间血压稳定在110-120/70-90mmHg左右,心率稳定在90-100bpm。
⑦次日再次超滤脱水5068ml。
⑧病人能平卧,静息时无呼吸困难,心功能稳定。
⑨入院第6日开始给予超滤治疗
⑩共超滤治疗12日
⑪血流量 30ml/h
⑫超滤速度 200~300ml/h
⑬血压 93~122/54~91mmHg
⑭血小板 179~228×109/L
后续治疗和转归
1.持续12日超滤治疗
①共入量21,341ml,平均每日入量1,778ml
②尿量14,890ml,平均每日尿量1,240ml
③超滤量46,568ml,平均每日超滤量3,880ml
④总负平衡40,117ml,平均每日负平衡3,343ml
2.停止超滤后第2日,患者病情平稳,转当地医院继续治疗。
超滤过程中检查指标

12日超滤治疗,共入量21,341ml,尿量14,890ml,超滤量46,568ml,总负平衡40,117ml,平均每日负平衡3,343ml
出入量及超滤量



生化指标的变化
1、血HCT,HG,PLT变化

2、血钾变化

3、血钠、肌酐、白蛋白变化

血液及超滤液对比(同一时间)
1.生化对比

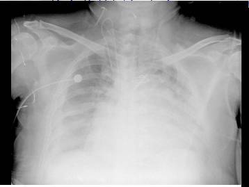
2.超滤前后胸片变化
超滤前

超滤后2日

3.超滤前后水肿情况变化
超滤前

超滤后

超滤前

超滤后

思考
①心衰治疗首先考虑原发病的治疗及诱因的控制
②超滤时机,策略
③长期预后
④后续治疗,几乎无生活质量
⑤定期超滤?